Rabbit VCL Polyclonal Antibody | anti-VCL antibody
VCL Antibody
Phosphate buffered saline, pH 7.4, 150mM NaCl, 0.02% sodium azide and 50% glycerol.
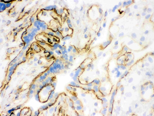
IHC (Immunohiostchemistry)
(AAA326361 at 1/100 staining Mouse muscle tissue by IHC-P. The sample was formaldehyde fixed and a heat mediated antigen retrieval step in citrate buffer was performed. The sample was then blocked and incubated with the antibody for 1.5 hours at 22 degree C. An HRP conjugated goat anti-rabbit antibody was used as the secondary.)
WB (Western Blot)
(Western blot analysis of Hela whole cell lysates, using VCL Antibody. The lane on the left is treated with the antigen-specific peptide.)
Function: Actin filament (F-actin)-binding protein involved in cell-matrix adhesion and cell-cell adhesion. Regulates cell-surface E-cadherin expression and potentiates mechanosensing by the E-cadherin complex. May also play important roles in cell morphology and locomotion.
Subunit Structure: Exhibits self-association properties. Interacts with APBB1IP and NRAP (By similarity). Interacts with TLN1. Interacts with CTNNB1 and this interaction is necessary for its localization to the cell-cell junctions and for its function in regulating cell surface expression of E-cadherin (By similarity). Interacts with SYNM. Interacts with SORBS1 (By similarity). Interacts with CTNNA1 (PubMed:26691986). Binds to ACTN4; this interaction triggers conformational changes (PubMed:15988023).
Post-translational Modifications: Phosphorylated; on serines, threonines and tyrosines. Phosphorylation on Tyr-1133 in activated platelets affects head-tail interactions and cell spreading but has no effect on actin binding nor on localization to focal adhesion plaques (By similarity). Acetylated; mainly by myristic acid but also by a small amount of palmitic acid.
Similarity: Exists in at least two conformations. When in the closed, 'inactive' conformation, extensive interactions between the head and tail domains prevent detectable binding to most of its ligands. It takes on an 'active' conformation after cooperative and simultaneous binding of two different ligands. This activation involves displacement of the head-tail interactions and leads to a significant accumulation of ternary complexes. The active form then binds a number of proteins that have both signaling and structural roles that are essential for cell adhesion.The N-terminal globular head (Vh) comprises of subdomains D1-D4. The C-terminal tail (Vt) binds F-actin and cross-links actin filaments into bundles. In isoform 2 (metavinculin) a 68 residue insertion in the tail domain promotes actin severing instead of bundling. An intramolecular interaction between Vh and Vt masks the F-actin-binding domain located in Vt. The binding of talin and alpha-actinin to the D1 subdomain of vinculin induces a helical bundle conversion of this subdomain, leading to the disruption of the intramolecular interaction and the exposure of the cryptic F-actin-binding domain of Vt. Vt inhibits actin filament barbed end elongation without affecting the critical concentration of actin assembly. Belongs to the vinculin/alpha-catenin family.
NCBI and Uniprot Product Information
Predicted: 124 kDa
Customer Reviews
Loading reviews...
Share Your Experience
Similar Products
Product Notes
The VCL vcl (Catalog #AAA326361) is an Antibody produced from Rabbit and is intended for research purposes only. The product is available for immediate purchase. The VCL Antibody reacts with Human, Mouse, Rat and may cross-react with other species as described in the data sheet. AAA Biotech's VCL can be used in a range of immunoassay formats including, but not limited to, ELISA, IHC (Immunohistochemistry), WB (Western Blot). Researchers should empirically determine the suitability of the VCL vcl for an application not listed in the data sheet. Researchers commonly develop new applications and it is an integral, important part of the investigative research process. It is sometimes possible for the material contained within the vial of "VCL, Polyclonal Antibody" to become dispersed throughout the inside of the vial, particularly around the seal of said vial, during shipment and storage. We always suggest centrifuging these vials to consolidate all of the liquid away from the lid and to the bottom of the vial prior to opening. Please be advised that certain products may require dry ice for shipping and that, if this is the case, an additional dry ice fee may also be required.Precautions
All products in the AAA Biotech catalog are strictly for research-use only, and are absolutely not suitable for use in any sort of medical, therapeutic, prophylactic, in-vivo, or diagnostic capacity. By purchasing a product from AAA Biotech, you are explicitly certifying that said products will be properly tested and used in line with industry standard. AAA Biotech and its authorized distribution partners reserve the right to refuse to fulfill any order if we have any indication that a purchaser may be intending to use a product outside of our accepted criteria.Disclaimer
Though we do strive to guarantee the information represented in this datasheet, AAA Biotech cannot be held responsible for any oversights or imprecisions. AAA Biotech reserves the right to adjust any aspect of this datasheet at any time and without notice. It is the responsibility of the customer to inform AAA Biotech of any product performance issues observed or experienced within 30 days of receipt of said product. To see additional details on this or any of our other policies, please see our Terms & Conditions page.Item has been added to Shopping Cart
If you are ready to order, navigate to Shopping Cart and get ready to checkout.
