Rabbit VDAC1 Polyclonal Antibody | anti-VDAC1 antibody
VDAC1 Antibody
Phosphate buffered saline, pH 7.4, 150mM NaCl, 0.02% sodium azide and 50% glycerol.
WB (Western Blot)
(Western blot analysis of Hela whole cell lysates, using VDAC1 Antibody. The lane on the left is treated with the antigen-specific peptide.)
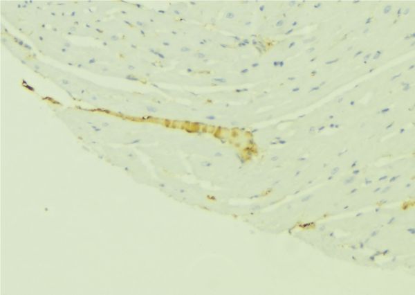
IHC (Immunohistochemistry)
(AAA325922 at 1/100 staining Mouse liver tissue by IHC-P. The sample was formaldehyde fixed and a heat mediated antigen retrieval step in citrate buffer was performed. The sample was then blocked and incubated with the antibody for 1.5 hours at 22 degree C. An HRP conjugated goat anti-rabbit antibody was used as the secondary.)
Function: Forms a channel through the mitochondrial outer membrane and also the plasma membrane. The channel at the outer mitochondrial membrane allows diffusion of small hydrophilic molecules; in the plasma membrane it is involved in cell volume regulation and apoptosis. It adopts an open conformation at low or zero membrane potential and a closed conformation at potentials above 30-40 mV. The open state has a weak anion selectivity whereas the closed state is cation-selective (PubMed:11845315, PubMed:18755977, PubMed:20230784, PubMed:8420959). May participate in the formation of the permeability transition pore complex (PTPC) responsible for the release of mitochondrial products that triggers apoptosis (PubMed:15033708, PubMed:25296756).
Subunit Structure: Interacts with hexokinases including HK1 (PubMed:8420959, PubMed:22304920). The HK1-VDAC1 complex interacts with ATF2 (PubMed:22304920). Interacts with BCL2L1 (PubMed:18755977, PubMed:25296756). Interacts with BAK1 (PubMed:25296756). Interacts with RTL10/BOP (via BH3 domain) (PubMed:23055042). Interacts with amyloid-beta and APP; induces VDAC1 dephosphorylation (PubMed:25168729). Component of the mitochondrial permeability transition pore complex (mPTPC), at least composed of SPG7, VDAC1 and PPIF (PubMed:26387735). Interacts with SPG7, NIPSNAP2 and SLC25A30 (PubMed:26387735).
Post-translational Modifications: Phosphorylation at Ser-193 by NEK1 promotes the open conformational state preventing excessive mitochondrial membrane permeability and subsequent apoptotic cell death after injury. Phosphorylation by the AKT-GSK3B axis stabilizes the protein probably by preventing ubiquitin-mediated proteasomal degradation. Ubiquitinated by PRKN during mitophagy, leading to its degradation and enhancement of mitophagy. Deubiquitinated by USP30.
Similarity: Consists mainly of a membrane-spanning beta-barrel formed by 19 beta-strands. The helical N-terminus folds back into the pore opening and plays a role in voltage-gated channel activity. Belongs to the eukaryotic mitochondrial porin family.
NCBI and Uniprot Product Information
Predicted: 31 kDa
Customer Reviews
Loading reviews...
Share Your Experience
Similar Products
Product Notes
The VDAC1 vdac1 (Catalog #AAA325922) is an Antibody produced from Rabbit and is intended for research purposes only. The product is available for immediate purchase. The VDAC1 Antibody reacts with Human, Mouse, Rat and may cross-react with other species as described in the data sheet. AAA Biotech's VDAC1 can be used in a range of immunoassay formats including, but not limited to, ELISA, IHC (Immunohistochemistry), WB (Western Blot). Researchers should empirically determine the suitability of the VDAC1 vdac1 for an application not listed in the data sheet. Researchers commonly develop new applications and it is an integral, important part of the investigative research process. It is sometimes possible for the material contained within the vial of "VDAC1, Polyclonal Antibody" to become dispersed throughout the inside of the vial, particularly around the seal of said vial, during shipment and storage. We always suggest centrifuging these vials to consolidate all of the liquid away from the lid and to the bottom of the vial prior to opening. Please be advised that certain products may require dry ice for shipping and that, if this is the case, an additional dry ice fee may also be required.Precautions
All products in the AAA Biotech catalog are strictly for research-use only, and are absolutely not suitable for use in any sort of medical, therapeutic, prophylactic, in-vivo, or diagnostic capacity. By purchasing a product from AAA Biotech, you are explicitly certifying that said products will be properly tested and used in line with industry standard. AAA Biotech and its authorized distribution partners reserve the right to refuse to fulfill any order if we have any indication that a purchaser may be intending to use a product outside of our accepted criteria.Disclaimer
Though we do strive to guarantee the information represented in this datasheet, AAA Biotech cannot be held responsible for any oversights or imprecisions. AAA Biotech reserves the right to adjust any aspect of this datasheet at any time and without notice. It is the responsibility of the customer to inform AAA Biotech of any product performance issues observed or experienced within 30 days of receipt of said product. To see additional details on this or any of our other policies, please see our Terms & Conditions page.Item has been added to Shopping Cart
If you are ready to order, navigate to Shopping Cart and get ready to checkout.
