Rabbit VEGFA Polyclonal Antibody | anti-VEGFA antibody
VEGFA Antibody
Gene Names
VEGFA; VPF; VEGF; MVCD1
Reactivity
Human, Mouse, Rat
Applications
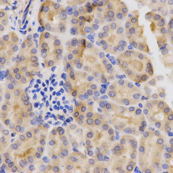
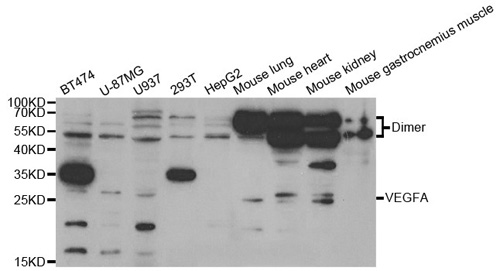
Immunohistochemistry, Western Blot
Purity
Antigen affinity purification
Synonyms
VEGFA, Antibody; VEGFA Antibody; VPF; VEGF; MVCD1; anti-VEGFA antibody
Host
Rabbit
Reactivity
Human, Mouse, Rat
Clonality
Polyclonal
Isotype
IgG
Purity/Purification
Antigen affinity purification
Concentration
1mg/mL (varies by lot)
Sequence Length
137
Applicable Applications for anti-VEGFA antibody
IHC (Immunohistochemistry), WB (Western Blot)
Immunogen
Recombinant protein of human VEGFA
Buffer
PBS with 0.02% sodium azide, 50% glycerol, pH7.3
Santa Cruz Alternative
Potential replacement for Santa Cruz Biotechnology antibody catalog# sc-152 / sc-507
Preparation and Storage
Store at -20 degree C (regular) and -80 degree C (long term). Avoid freeze / thaw cycles.
Related Product Information for anti-VEGFA antibody
This gene is a member of the PDGF/VEGF growth factor family and encodes a protein that is often found as a disulfide linked homodimer. This protein is a glycosylated mitogen that specifically acts on endothelial cells and has various effects, including mediating increased vascular permeability, inducing angiogenesis, vasculogenesis and endothelial cell growth, promoting cell migration, and inhibiting apoptosis. Elevated levels of this protein is linked to POEMS syndrome, also known as Crow-Fukase syndrome. Mutations in this gene have been associated with proliferative and nonproliferative diabetic retinopathy. Alternatively spliced transcript variants, encoding either freely secreted or cell-associated isoforms, have been characterized. There is also evidence for the use of non-AUG (CUG) translation initiation sites upstream of, and in-frame with the first AUG, leading to additional isoforms.
NCBI and Uniprot Product Information
NCBI GI #
NCBI GeneID
NCBI Accession #
NCBI GenBank Nucleotide #
Molecular Weight
34,406 Da
NCBI Official Full Name
vascular endothelial growth factor A isoform p
NCBI Official Synonym Full Names
vascular endothelial growth factor A
NCBI Official Symbol
VEGFA
NCBI Official Synonym Symbols
VPF; VEGF; MVCD1
NCBI Protein Information
vascular endothelial growth factor A; vascular permeability factor
UniProt Protein Name
Vascular endothelial growth factor A
UniProt Gene Name
VEGFA
UniProt Synonym Gene Names
VEGF; VEGF-A; VPF
UniProt Entry Name
VEGFA_HUMAN
Customer Reviews
Loading reviews...
Share Your Experience
Similar Products
Product Notes
The VEGFA vegfa (Catalog #AAA170445) is an Antibody produced from Rabbit and is intended for research purposes only. The product is available for immediate purchase. The VEGFA Antibody reacts with Human, Mouse, Rat and may cross-react with other species as described in the data sheet. AAA Biotech's VEGFA can be used in a range of immunoassay formats including, but not limited to, IHC (Immunohistochemistry), WB (Western Blot). Researchers should empirically determine the suitability of the VEGFA vegfa for an application not listed in the data sheet. Researchers commonly develop new applications and it is an integral, important part of the investigative research process. It is sometimes possible for the material contained within the vial of "VEGFA, Polyclonal Antibody" to become dispersed throughout the inside of the vial, particularly around the seal of said vial, during shipment and storage. We always suggest centrifuging these vials to consolidate all of the liquid away from the lid and to the bottom of the vial prior to opening. Please be advised that certain products may require dry ice for shipping and that, if this is the case, an additional dry ice fee may also be required.Precautions
All products in the AAA Biotech catalog are strictly for research-use only, and are absolutely not suitable for use in any sort of medical, therapeutic, prophylactic, in-vivo, or diagnostic capacity. By purchasing a product from AAA Biotech, you are explicitly certifying that said products will be properly tested and used in line with industry standard. AAA Biotech and its authorized distribution partners reserve the right to refuse to fulfill any order if we have any indication that a purchaser may be intending to use a product outside of our accepted criteria.Disclaimer
Though we do strive to guarantee the information represented in this datasheet, AAA Biotech cannot be held responsible for any oversights or imprecisions. AAA Biotech reserves the right to adjust any aspect of this datasheet at any time and without notice. It is the responsibility of the customer to inform AAA Biotech of any product performance issues observed or experienced within 30 days of receipt of said product. To see additional details on this or any of our other policies, please see our Terms & Conditions page.Item has been added to Shopping Cart
If you are ready to order, navigate to Shopping Cart and get ready to checkout.
