Rabbit VEGFC Polyclonal Antibody | anti-VEGFC antibody
VEGFC Antibody
Phosphate buffered saline, pH 7.4, 150mM NaCl, 0.02% sodium azide and 50% glycerol.
WB (Western Blot)
(Western blot analysis of extracts of Mouse brain, using VEGFC antibody. The lane on the left is treated with the antigen-specific peptide.)
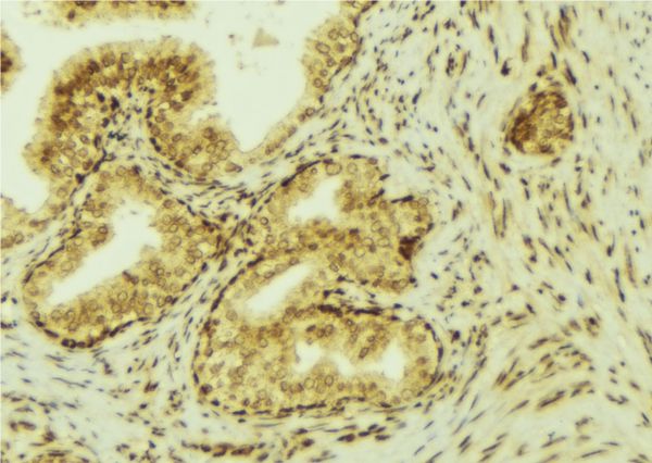
IHC (Immunohistochemistry)
(AAA326760 at 1/100 staining Mouse colon tissue by IHC-P. The sample was formaldehyde fixed and a heat mediated antigen retrieval step in citrate buffer was performed. The sample was then blocked and incubated with the antibody for 1.5 hours at 22 degree C. An HRP conjugated goat anti-rabbit antibody was used as the secondary.)
Function: Growth factor active in angiogenesis, and endothelial cell growth, stimulating their proliferation and migration and also has effects on the permeability of blood vessels. May function in angiogenesis of the venous and lymphatic vascular systems during embryogenesis, and also in the maintenance of differentiated lymphatic endothelium in adults. Binds and activates KDR/VEGFR2 and FLT4/VEGFR3 receptors.
Subunit Structure: Homodimer; non-covalent and antiparallel (PubMed:20145116). Interacts with FLT4/VEGFR3; the interaction is required for FLT4/VEGFR3 homodimarization and activation (PubMed:23878260).
Post-translational Modifications: Undergoes a complex proteolytic maturation which generates a variety of processed secreted forms with increased activity toward VEGFR-3, but only the fully processed form could activate VEGFR-2. VEGF-C first form an antiparallel homodimer linked by disulfide bonds. Before secretion, a cleavage occurs between Arg-227 and Ser-228 producing a heterotetramer. The next extracellular step of the processing removes the N-terminal propeptide. Finally the mature VEGF-C is composed mostly of two VEGF homology domains (VHDs) bound by non-covalent interactions.
Similarity: Belongs to the PDGF/VEGF growth factor family.
NCBI and Uniprot Product Information
Predicted: 47 kDa
Customer Reviews
Loading reviews...
Share Your Experience
Similar Products
Product Notes
The VEGFC vegfc (Catalog #AAA326760) is an Antibody produced from Rabbit and is intended for research purposes only. The product is available for immediate purchase. The VEGFC Antibody reacts with Human, Mouse, Rat and may cross-react with other species as described in the data sheet. AAA Biotech's VEGFC can be used in a range of immunoassay formats including, but not limited to, ELISA, IHC (Immunohistochemistry), WB (Western Blot). Researchers should empirically determine the suitability of the VEGFC vegfc for an application not listed in the data sheet. Researchers commonly develop new applications and it is an integral, important part of the investigative research process. It is sometimes possible for the material contained within the vial of "VEGFC, Polyclonal Antibody" to become dispersed throughout the inside of the vial, particularly around the seal of said vial, during shipment and storage. We always suggest centrifuging these vials to consolidate all of the liquid away from the lid and to the bottom of the vial prior to opening. Please be advised that certain products may require dry ice for shipping and that, if this is the case, an additional dry ice fee may also be required.Precautions
All products in the AAA Biotech catalog are strictly for research-use only, and are absolutely not suitable for use in any sort of medical, therapeutic, prophylactic, in-vivo, or diagnostic capacity. By purchasing a product from AAA Biotech, you are explicitly certifying that said products will be properly tested and used in line with industry standard. AAA Biotech and its authorized distribution partners reserve the right to refuse to fulfill any order if we have any indication that a purchaser may be intending to use a product outside of our accepted criteria.Disclaimer
Though we do strive to guarantee the information represented in this datasheet, AAA Biotech cannot be held responsible for any oversights or imprecisions. AAA Biotech reserves the right to adjust any aspect of this datasheet at any time and without notice. It is the responsibility of the customer to inform AAA Biotech of any product performance issues observed or experienced within 30 days of receipt of said product. To see additional details on this or any of our other policies, please see our Terms & Conditions page.Item has been added to Shopping Cart
If you are ready to order, navigate to Shopping Cart and get ready to checkout.
