Rabbit VEGFR2 Polyclonal Antibody | anti-VEGFR2 antibody
Phospho-VEGFR2 (Tyr1214) Antibody
Phosphate buffered saline, pH 7.4, 150mM NaCl, 0.02% sodium azide and 50% glycerol.
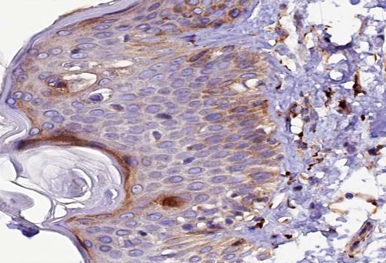
IHC (Immunohistochemistry)
(AAA321603 at 1/100 staining human Skin cancer tissue sections by IHC-P. The tissue was formaldehyde fixed and a heat mediated antigen retrieval step in citrate buffer was performed. The tissue was then blocked and incubated with the antibody for 1.5 hours at 22 degree C. An HRP conjugated goat anti-rabbit antibody was used as the secondary.)
WB (Western Blot)
(Western blot analysis of VEGFR2 phosphorylation expression in Na3VO4 treated HepG2 whole cell lysates, The lane on the left is treated with the antigen-specific peptide.)
IF (Immunofluorescence)
(AAA321603 staining K562 by IF/ICC. The sample were fixed with PFA and permeabilized in 0.1% Triton X-100, then blocked in 10% serum for 45 minutes at 25 degree C. The primary antibody was diluted at 1/200 and incubated with the sample for 1 hour at 37 degree C. An Alexa Fluor 594 conjugated goat anti-rabbit IgG (H+L) Ab, diluted at 1/600, was used as the secondary antibody.)
Function: Tyrosine-protein kinase that acts as a cell-surface receptor for VEGFA, VEGFC and VEGFD. Plays an essential role in the regulation of angiogenesis, vascular development, vascular permeability, and embryonic hematopoiesis. Promotes proliferation, survival, migration and differentiation of endothelial cells. Promotes reorganization of the actin cytoskeleton. Isoforms lacking a transmembrane domain, such as isoform 2 and isoform 3, may function as decoy receptors for VEGFA, VEGFC and/or VEGFD. Isoform 2 plays an important role as negative regulator of VEGFA-and VEGFC-mediated lymphangiogenesis by limiting the amount of free VEGFA and/or VEGFC and preventing their binding to FLT4. Modulates FLT1 and FLT4 signaling by forming heterodimers. Binding of vascular growth factors to isoform 1 leads to the activation of several signaling cascades. Activation of PLCG1 leads to the production of the cellular signaling molecules diacylglycerol and inositol 1, 4, 5-trisphosphate and the activation of protein kinase C. Mediates activation of MAPK1/ERK2, MAPK3/ERK1 and the MAP kinase signaling pathway, as well as of the AKT1 signaling pathway. Mediates phosphorylation of PIK3R1, the regulatory subunit of phosphatidylinositol 3-kinase, reorganization of the actin cytoskeleton and activation of PTK2/FAK1. Required for VEGFA-mediated induction of NOS2 and NOS3, leading to the production of the signaling molecule nitric oxide (NO) by endothelial cells. Phosphorylates PLCG1. Promotes phosphorylation of FYN, NCK1, NOS3, PIK3R1, PTK2/FAK1 and SRC.
Subunit Structure: Homodimer in the presence of bound dimeric VEGFA, VEGFC or VEGFD ligands; monomeric in the absence of bound ligands. Can also form heterodimers with FLT1/VEGFR1 and FLT4/VEGFR2. Interacts (tyrosine phosphorylated) with LFYN, NCK1, PLCG1. Interacts (tyrosine-phosphorylated active form preferentially) with DAB2IP (via C2 domain and active form preferentially); the interaction occurs at the late phase of VEGFA response and inhibits KDR/VEGFR2 activity. Interacts with SHBSH2D2A/TSAD, GRB2, MYOF, CBL and PDCD6. Interacts with HIV-1 Tat (PubMed:10102632, PubMed:10590123, PubMed:12649282, PubMed:12881528, PubMed:1417831, PubMed:15026417, PubMed:15215251, PubMed:15837294, PubMed:15962004, PubMed:16966330, PubMed:17253678, PubMed:18529047, PubMed:18593464, PubMed:19033661, PubMed:19668192, PubMed:20080685, PubMed:20145116, PubMed:20224550, PubMed:20705758, PubMed:21827946, PubMed:21893193, PubMed:9160888). Interacts (via C-terminus domain) with ERN1 (via kinase domain); the interaction is facilitated in a XBP1 isoform 1-and vascular endothelial growth factor (VEGF)-dependent manner in endothelial cells (PubMed:23529610).
Post-translational Modifications: N-glycosylated. Ubiquitinated. Tyrosine phosphorylation of the receptor promotes its poly-ubiquitination, leading to its degradation via the proteasome or lysosomal proteases. Autophosphorylated on tyrosine residues upon ligand binding. Autophosphorylation occurs in trans, i.e. one subunit of the dimeric receptor phosphorylates tyrosine residues on the other subunit. Phosphorylation at Tyr-951 is important for interaction with SH2D2A/TSAD and VEGFA-mediated reorganization of the actin cytoskeleton. Phosphorylation at Tyr-1175 is important for interaction with PLCG1 and SHB. Phosphorylation at Tyr-1214 is important for interaction with NCK1 and FYN. Dephosphorylated by PTPRB. Dephosphorylated by PTPRJ at Tyr-951, Tyr-996, Tyr-1054, Tyr-1059, Tyr-1175 and Tyr-1214. The inhibitory disulfide bond between Cys-1024 and Cys-1045 may serve as a specific molecular switch for H2S-induced modification that regulates VEGFR2 function.
Similarity: The second and third Ig-like C2-type (immunoglobulin-like) domains are sufficient for VEGFC binding. Belongs to the protein kinase superfamily. Tyr protein kinase family. CSF-1/PDGF receptor subfamily.
NCBI and Uniprot Product Information
Predicted: 152 kDa
Customer Reviews
Loading reviews...
Share Your Experience
Similar Products
Product Notes
The VEGFR2 kdr (Catalog #AAA321603) is an Antibody produced from Rabbit and is intended for research purposes only. The product is available for immediate purchase. The Phospho-VEGFR2 (Tyr1214) Antibody reacts with Human, Mouse, Rat and may cross-react with other species as described in the data sheet. AAA Biotech's VEGFR2 can be used in a range of immunoassay formats including, but not limited to, ELISA, ICC (Immunocytochemistry), IF (Immunofluorescence), IHC (Immunohistochemistry), WB (Western Blot). Researchers should empirically determine the suitability of the VEGFR2 kdr for an application not listed in the data sheet. Researchers commonly develop new applications and it is an integral, important part of the investigative research process. It is sometimes possible for the material contained within the vial of "VEGFR2, Polyclonal Antibody" to become dispersed throughout the inside of the vial, particularly around the seal of said vial, during shipment and storage. We always suggest centrifuging these vials to consolidate all of the liquid away from the lid and to the bottom of the vial prior to opening. Please be advised that certain products may require dry ice for shipping and that, if this is the case, an additional dry ice fee may also be required.Precautions
All products in the AAA Biotech catalog are strictly for research-use only, and are absolutely not suitable for use in any sort of medical, therapeutic, prophylactic, in-vivo, or diagnostic capacity. By purchasing a product from AAA Biotech, you are explicitly certifying that said products will be properly tested and used in line with industry standard. AAA Biotech and its authorized distribution partners reserve the right to refuse to fulfill any order if we have any indication that a purchaser may be intending to use a product outside of our accepted criteria.Disclaimer
Though we do strive to guarantee the information represented in this datasheet, AAA Biotech cannot be held responsible for any oversights or imprecisions. AAA Biotech reserves the right to adjust any aspect of this datasheet at any time and without notice. It is the responsibility of the customer to inform AAA Biotech of any product performance issues observed or experienced within 30 days of receipt of said product. To see additional details on this or any of our other policies, please see our Terms & Conditions page.Item has been added to Shopping Cart
If you are ready to order, navigate to Shopping Cart and get ready to checkout.
