Rabbit VEGFR2 Polyclonal Antibody | anti-VEGFR2 antibody
VEGFR2 Antibody (Tyr1214)
Gene Names
KDR; FLK1; CD309; VEGFR; VEGFR2
Applications
Immunofluorescence, Immunohistochemistry, Western Blot
Purity
Affinity Chromatography
Synonyms
VEGFR2, Antibody; VEGFR2 Antibody (Tyr1214); Rabbit Polyclonal VEGFR2 Antibody (Tyr1214); Polyclonal VEGFR2 antibody; Anti-VEGFR2 antibody; soluble VEGFR2 antibody; tyrosine kinase growth factor receptor antibody; Vascular endothelial growth factor receptor 2 antibody; VEGFR antibody; VEGFR-2 antibody; VEGFR2 antibody; VGFR2 antibody; CD309 antibody; Fetal liver kinase 1 antibody; fetal liver kinase-1 antibody; FLK-1 antibody; FLK1 antibody; KDR antibody; Kinase insert domain receptor antibody; kinase insert domain receptor (a type III receptor tyrosine kinase) antibody; Protein-tyrosine kinase receptor flk-1 antibody; anti-VEGFR2 antibody
Host
Rabbit
Clonality
Polyclonal
Isotype
IgG
Specificity
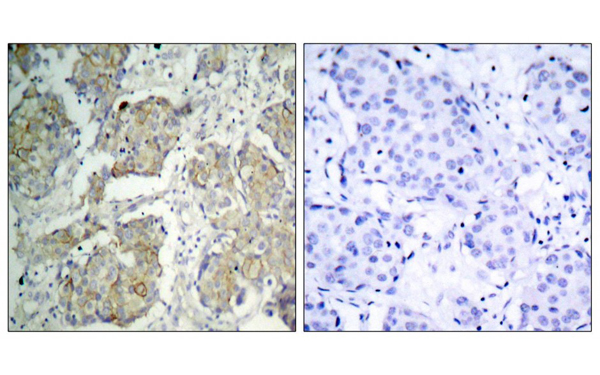
VEGFR2 antibody (Tyr1214) detects endogenous levels of VEGFR2 only when phosphorylated at tyrosine 1214
Purity/Purification
Affinity Chromatography
Form/Format
Supplied in PBS buffer (without Mg2+ and Ca2+), pH 7.4, 150mM NaCl, 0.02% Sodium Azide and 50% Glycerol
Concentration
1 mg/ml (varies by lot)
Sequence Length
1356
Applicable Applications for anti-VEGFR2 antibody
IF (Immunofluorescence), IHC (Immunohistochemistry), WB (Western Blot)
Immunogen
VEGFR2 antibody was raised in Rabbit using a synthesized phosphopeptide derived from human VEGFR2 around the phosphorylation site of tyrosine 1214 (F-H-YP-D-N) as the immunogen.
Cross-Reactivity
Mouse, Rat
Preparation and Storage
Store at -20 degree C in small aliquots. Avoid repeat freeze/thaw cycles.
Related Product Information for anti-VEGFR2 antibody
VEGFR2 a receptor tyrosine kinase of the VEGFR family and a high affinity receptor for VEGF and VEGF-C.
Product Categories/Family for anti-VEGFR2 antibody
NCBI and Uniprot Product Information
NCBI GI #
NCBI GeneID
NCBI Accession #
NCBI GenBank Nucleotide #
UniProt Accession #
NCBI Official Full Name
vascular endothelial growth factor receptor 2
NCBI Official Synonym Full Names
kinase insert domain receptor
NCBI Official Symbol
KDR
NCBI Official Synonym Symbols
FLK1; CD309; VEGFR; VEGFR2
NCBI Protein Information
vascular endothelial growth factor receptor 2
UniProt Protein Name
Vascular endothelial growth factor receptor 2
UniProt Gene Name
KDR
UniProt Synonym Gene Names
FLK1; VEGFR2; VEGFR-2; FLK-1; KDR
UniProt Entry Name
VGFR2_HUMAN
Customer Reviews
Loading reviews...
Share Your Experience
Similar Products
Product Notes
The VEGFR2 kdr (Catalog #AAA226039) is an Antibody produced from Rabbit and is intended for research purposes only. The product is available for immediate purchase. AAA Biotech's VEGFR2 can be used in a range of immunoassay formats including, but not limited to, IF (Immunofluorescence), IHC (Immunohistochemistry), WB (Western Blot). Researchers should empirically determine the suitability of the VEGFR2 kdr for an application not listed in the data sheet. Researchers commonly develop new applications and it is an integral, important part of the investigative research process. It is sometimes possible for the material contained within the vial of "VEGFR2, Polyclonal Antibody" to become dispersed throughout the inside of the vial, particularly around the seal of said vial, during shipment and storage. We always suggest centrifuging these vials to consolidate all of the liquid away from the lid and to the bottom of the vial prior to opening. Please be advised that certain products may require dry ice for shipping and that, if this is the case, an additional dry ice fee may also be required.Precautions
All products in the AAA Biotech catalog are strictly for research-use only, and are absolutely not suitable for use in any sort of medical, therapeutic, prophylactic, in-vivo, or diagnostic capacity. By purchasing a product from AAA Biotech, you are explicitly certifying that said products will be properly tested and used in line with industry standard. AAA Biotech and its authorized distribution partners reserve the right to refuse to fulfill any order if we have any indication that a purchaser may be intending to use a product outside of our accepted criteria.Disclaimer
Though we do strive to guarantee the information represented in this datasheet, AAA Biotech cannot be held responsible for any oversights or imprecisions. AAA Biotech reserves the right to adjust any aspect of this datasheet at any time and without notice. It is the responsibility of the customer to inform AAA Biotech of any product performance issues observed or experienced within 30 days of receipt of said product. To see additional details on this or any of our other policies, please see our Terms & Conditions page.Item has been added to Shopping Cart
If you are ready to order, navigate to Shopping Cart and get ready to checkout.
