Host
Rabbit
Reactivity
Human, Mouse, Rat
Clonality
Polyclonal
Isotype
IgG
Purity/Purification
Antigen Affinity Purification
Concentration
3.1mg/ml (varies by lot)
Sequence Length
618
Applicable Applications for anti-VGF antibody
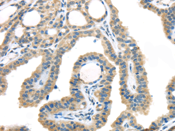
IHC (Immunohistochemistry), WB (Western Blot), ELISA
Immunogen
Synthetic peptide of human VGF
Buffer
PBS with 0.05% sodium azide, 50% glycerol, pH7.3
Santa Cruz Alternative
Potential replacement for Santa Cruz Biotechnology antibody catalog# sc-10383 / sc-50407
Preparation and Storage
Store at -20 degree C. Avoid freeze/thaw cycles.
Related Product Information for anti-VGF antibody
This gene is specifically expressed in a subpopulation of neuroendocrine cells, and is upregulated by nerve growth factor. The structural organization of this gene is similar to that of the rat gene, and both the translated and the untranslated regions show a high degree of sequence similarity to the rat gene. The encoded secretory protein also shares similarities with the secretogranin/chromogranin family, however, its exact function is not known.
NCBI and Uniprot Product Information
NCBI GI #
NCBI GeneID
NCBI Accession #
NCBI GenBank Nucleotide #
Molecular Weight
67 kDa
NCBI Official Full Name
VGF nerve growth factor inducible
NCBI Official Symbol
Vgf
NCBI Protein Information
VGF nerve growth factor inducible
Customer Reviews
Loading reviews...
Share Your Experience
Similar Products
Product Notes
The VGF (Catalog #AAA173324) is an Antibody produced from Rabbit and is intended for research purposes only. The product is available for immediate purchase. The VGF Polyclonal Antibody reacts with Human, Mouse, Rat and may cross-react with other species as described in the data sheet. AAA Biotech's VGF can be used in a range of immunoassay formats including, but not limited to, IHC (Immunohistochemistry), WB (Western Blot), ELISA. Researchers should empirically determine the suitability of the VGF for an application not listed in the data sheet. Researchers commonly develop new applications and it is an integral, important part of the investigative research process. It is sometimes possible for the material contained within the vial of "VGF, Polyclonal Antibody" to become dispersed throughout the inside of the vial, particularly around the seal of said vial, during shipment and storage. We always suggest centrifuging these vials to consolidate all of the liquid away from the lid and to the bottom of the vial prior to opening. Please be advised that certain products may require dry ice for shipping and that, if this is the case, an additional dry ice fee may also be required.Precautions
All products in the AAA Biotech catalog are strictly for research-use only, and are absolutely not suitable for use in any sort of medical, therapeutic, prophylactic, in-vivo, or diagnostic capacity. By purchasing a product from AAA Biotech, you are explicitly certifying that said products will be properly tested and used in line with industry standard. AAA Biotech and its authorized distribution partners reserve the right to refuse to fulfill any order if we have any indication that a purchaser may be intending to use a product outside of our accepted criteria.Disclaimer
Though we do strive to guarantee the information represented in this datasheet, AAA Biotech cannot be held responsible for any oversights or imprecisions. AAA Biotech reserves the right to adjust any aspect of this datasheet at any time and without notice. It is the responsibility of the customer to inform AAA Biotech of any product performance issues observed or experienced within 30 days of receipt of said product. To see additional details on this or any of our other policies, please see our Terms & Conditions page.Item has been added to Shopping Cart
If you are ready to order, navigate to Shopping Cart and get ready to checkout.
