Rabbit anti-Human VHL Polyclonal Antibody | anti-VHL antibody
VHL Polyclonal Antibody
Gene Names
VHL; RCA1; VHL1; pVHL; HRCA1
Reactivity
Human
Applications
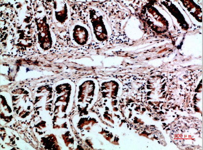
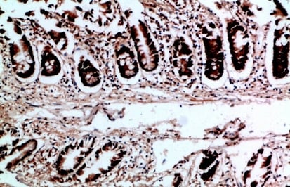
Immunohistochemistry
Purity
Affinity-purified from rabbit serum by affinity-chromatography using specific immunogen.
Synonyms
VHL, Antibody; VHL Polyclonal Antibody; Von Hippel-Lindau disease tumor suppressor (Protein G7) (pVHL); anti-VHL antibody
Host
Rabbit
Reactivity
Human
Clonality
Polyclonal
Specificity
The antibody detects endogenous VHL
Purity/Purification
Affinity-purified from rabbit serum by affinity-chromatography using specific immunogen.
Form/Format
PBS, pH 7.4, containing 0.02% sodium azide as Preservative and 50% Glycerol.
Concentration
1 mg/ml (varies by lot)
Applicable Applications for anti-VHL antibody
IHC (Immunohistochemistry)
Immunogen
Synthetic peptide from human protein at AA range: 1-50
Immunogen Type
Protein
Preparation and Storage
Store at -20 degree C
Product Categories/Family for anti-VHL antibody
NCBI and Uniprot Product Information
NCBI GI #
NCBI GeneID
NCBI Accession #
NCBI GenBank Nucleotide #
Molecular Weight
18,532 Da
NCBI Official Full Name
von Hippel-Lindau disease tumor suppressor isoform 1
NCBI Official Synonym Full Names
von Hippel-Lindau tumor suppressor
NCBI Official Symbol
VHL
NCBI Official Synonym Symbols
RCA1; VHL1; pVHL; HRCA1
NCBI Protein Information
von Hippel-Lindau disease tumor suppressor
UniProt Protein Name
Von Hippel-Lindau disease tumor suppressor
UniProt Gene Name
VHL
Customer Reviews
Loading reviews...
Share Your Experience
Similar Products
Product Notes
The VHL vhl (Catalog #AAA309709) is an Antibody produced from Rabbit and is intended for research purposes only. The product is available for immediate purchase. The VHL Polyclonal Antibody reacts with Human and may cross-react with other species as described in the data sheet. AAA Biotech's VHL can be used in a range of immunoassay formats including, but not limited to, IHC (Immunohistochemistry). Researchers should empirically determine the suitability of the VHL vhl for an application not listed in the data sheet. Researchers commonly develop new applications and it is an integral, important part of the investigative research process. It is sometimes possible for the material contained within the vial of "VHL, Polyclonal Antibody" to become dispersed throughout the inside of the vial, particularly around the seal of said vial, during shipment and storage. We always suggest centrifuging these vials to consolidate all of the liquid away from the lid and to the bottom of the vial prior to opening. Please be advised that certain products may require dry ice for shipping and that, if this is the case, an additional dry ice fee may also be required.Precautions
All products in the AAA Biotech catalog are strictly for research-use only, and are absolutely not suitable for use in any sort of medical, therapeutic, prophylactic, in-vivo, or diagnostic capacity. By purchasing a product from AAA Biotech, you are explicitly certifying that said products will be properly tested and used in line with industry standard. AAA Biotech and its authorized distribution partners reserve the right to refuse to fulfill any order if we have any indication that a purchaser may be intending to use a product outside of our accepted criteria.Disclaimer
Though we do strive to guarantee the information represented in this datasheet, AAA Biotech cannot be held responsible for any oversights or imprecisions. AAA Biotech reserves the right to adjust any aspect of this datasheet at any time and without notice. It is the responsibility of the customer to inform AAA Biotech of any product performance issues observed or experienced within 30 days of receipt of said product. To see additional details on this or any of our other policies, please see our Terms & Conditions page.Item has been added to Shopping Cart
If you are ready to order, navigate to Shopping Cart and get ready to checkout.
