Rabbit anti-Human VPS33A Polyclonal Antibody | anti-VPS33A antibody
VPS33A Antibody
Reactivity
Human
Applications
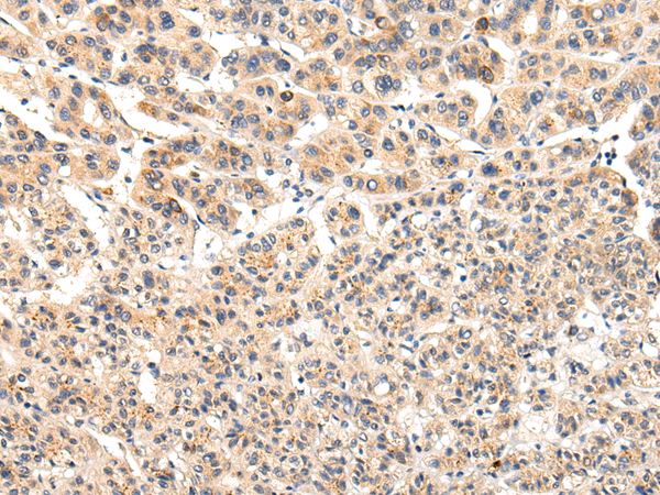
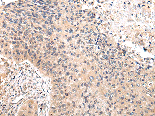
Immunohistochemistry
Purity
Antigen Affinity Purification
Synonyms
VPS33A, Antibody; VPS33A Antibody; FLJ22395; FLJ23187; hVPS33A; vacuolar protein sorting 33 homolog A (S. cerevisiae); vacuolar protein sorting 33A; Vacuolar protein sorting-associated protein 33A; anti-VPS33A antibody
Host
Rabbit
Reactivity
Human
Clonality
Polyclonal
Specificity
The antibody detects endogenous levels of total VPS33A protein.
Purity/Purification
Antigen Affinity Purification
Form/Format
Rabbit IgG in pH7.4 PBS, 0.05% NaN3, 40% Glycerol.
Concentration
1.6 mg/ml (varies by lot)
Sequence Length
596
Applicable Applications for anti-VPS33A antibody
IHC (Immunohistochemistry)
Immunogen
Fusion protein of human VPS33A
Immunogen Type
Protein
Preparation and Storage
Store at -20 degree C
Related Product Information for anti-VPS33A antibody
Vesicle mediated protein sorting plays an important role in segregation of intracellular molecules into distinct organelles. Genetic studies in yeast have identified more than 40 vacuolar protein sorting (VPS) genes involved in vesicle transport to vacuoles. This gene is a member of the Sec-1 domain family, and it encodes a protein similar to the yeast class C Vps33 protein. The mammalian class C VPS proteins are predominantly associated with late endosomes/lysosomes, and like their yeast counterparts, may mediate vesicle trafficking steps in the endosome/lysosome pathway.
Product Categories/Family for anti-VPS33A antibody
NCBI and Uniprot Product Information
NCBI GI #
NCBI GeneID
NCBI Accession #
NCBI GenBank Nucleotide #
Molecular Weight
67,611 Da
NCBI Official Full Name
vacuolar protein sorting-associated protein 33A
NCBI Official Synonym Full Names
VPS33A, CORVET/HOPS core subunit
NCBI Official Symbol
VPS33A
NCBI Protein Information
vacuolar protein sorting-associated protein 33A
UniProt Protein Name
Vacuolar protein sorting-associated protein 33A
UniProt Gene Name
VPS33A
UniProt Synonym Gene Names
hVPS33A
UniProt Entry Name
VP33A_HUMAN
Customer Reviews
Loading reviews...
Share Your Experience
Similar Products
Product Notes
The VPS33A vps33a (Catalog #AAA308756) is an Antibody produced from Rabbit and is intended for research purposes only. The product is available for immediate purchase. The VPS33A Antibody reacts with Human and may cross-react with other species as described in the data sheet. AAA Biotech's VPS33A can be used in a range of immunoassay formats including, but not limited to, IHC (Immunohistochemistry). Researchers should empirically determine the suitability of the VPS33A vps33a for an application not listed in the data sheet. Researchers commonly develop new applications and it is an integral, important part of the investigative research process. It is sometimes possible for the material contained within the vial of "VPS33A, Polyclonal Antibody" to become dispersed throughout the inside of the vial, particularly around the seal of said vial, during shipment and storage. We always suggest centrifuging these vials to consolidate all of the liquid away from the lid and to the bottom of the vial prior to opening. Please be advised that certain products may require dry ice for shipping and that, if this is the case, an additional dry ice fee may also be required.Precautions
All products in the AAA Biotech catalog are strictly for research-use only, and are absolutely not suitable for use in any sort of medical, therapeutic, prophylactic, in-vivo, or diagnostic capacity. By purchasing a product from AAA Biotech, you are explicitly certifying that said products will be properly tested and used in line with industry standard. AAA Biotech and its authorized distribution partners reserve the right to refuse to fulfill any order if we have any indication that a purchaser may be intending to use a product outside of our accepted criteria.Disclaimer
Though we do strive to guarantee the information represented in this datasheet, AAA Biotech cannot be held responsible for any oversights or imprecisions. AAA Biotech reserves the right to adjust any aspect of this datasheet at any time and without notice. It is the responsibility of the customer to inform AAA Biotech of any product performance issues observed or experienced within 30 days of receipt of said product. To see additional details on this or any of our other policies, please see our Terms & Conditions page.Item has been added to Shopping Cart
If you are ready to order, navigate to Shopping Cart and get ready to checkout.
