Rabbit anti-Human, Mouse VPS39 Polyclonal Antibody | anti-VPS39 antibody
VPS39 Antibody
Gene Names
VPS39; TLP; VAM6; hVam6p
Reactivity
Human, Mouse
Applications
Western Blot
Purity
Peptide affinity purification
Synonyms
VPS39, Antibody; VPS39 Antibody; A230065P22Rik; AW743070; FLJ21681; FLJ46546; hVam6p; KIAA0770; RP23-348L16.12; TLP; TRAP1 like protein; Vacuolar protein sorting 39; Vacuolar protein sorting 39 homolog; VAM6; Vam6/Vps39 like; Vam6/Vps39 like protein; Vam6/Vps39-like protein; VPS 39; Vps39; VPS39_HUMAN; anti-VPS39 antibody
Host
Rabbit
Reactivity
Human, Mouse
Clonality
Polyclonal
Isotype
IgG
Specificity
VPS39 Antibody detects endogenous levels of VPS39.
Purity/Purification
Peptide affinity purification
Form/Format
Phosphate buffered saline, pH 7.4, 150mM NaCl, 0.02% sodium azide and 50% glycerol.
Concentration
~1mg/ml (varies by lot)
Sequence Length
875
Applicable Applications for anti-VPS39 antibody
WB (Western Blot)
Immunogen
A synthesized peptide derived from human VPS39. Corresponding to a region within the internal amino acids.
RRID
AB_2845755
Preparation and Storage
Store at -20 degree C. Stable for 12 months from date of receipt.
NCBI and Uniprot Product Information
NCBI GI #
NCBI GeneID
UniProt Accession #
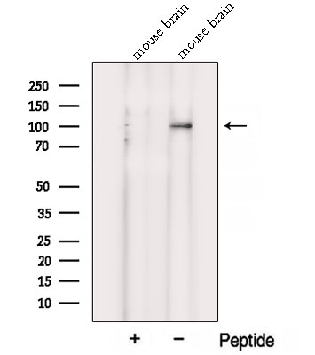
Molecular Weight
Observed: 102 kDa
Predicted: 102 kDa
Predicted: 102 kDa
NCBI Official Full Name
VPS39
NCBI Official Synonym Full Names
VPS39 subunit of HOPS complex
NCBI Official Symbol
VPS39
NCBI Official Synonym Symbols
TLP; VAM6; hVam6p
NCBI Protein Information
vam6/Vps39-like protein
UniProt Protein Name
Vam6/Vps39-like protein
UniProt Gene Name
VPS39
UniProt Synonym Gene Names
KIAA0770; TLP; VAM6; hVam6p
UniProt Entry Name
VPS39_HUMAN
Customer Reviews
Loading reviews...
Share Your Experience
Similar Products
Product Notes
The VPS39 vps39 (Catalog #AAA328754) is an Antibody produced from Rabbit and is intended for research purposes only. The product is available for immediate purchase. The VPS39 Antibody reacts with Human, Mouse and may cross-react with other species as described in the data sheet. AAA Biotech's VPS39 can be used in a range of immunoassay formats including, but not limited to, WB (Western Blot). Researchers should empirically determine the suitability of the VPS39 vps39 for an application not listed in the data sheet. Researchers commonly develop new applications and it is an integral, important part of the investigative research process. It is sometimes possible for the material contained within the vial of "VPS39, Polyclonal Antibody" to become dispersed throughout the inside of the vial, particularly around the seal of said vial, during shipment and storage. We always suggest centrifuging these vials to consolidate all of the liquid away from the lid and to the bottom of the vial prior to opening. Please be advised that certain products may require dry ice for shipping and that, if this is the case, an additional dry ice fee may also be required.Precautions
All products in the AAA Biotech catalog are strictly for research-use only, and are absolutely not suitable for use in any sort of medical, therapeutic, prophylactic, in-vivo, or diagnostic capacity. By purchasing a product from AAA Biotech, you are explicitly certifying that said products will be properly tested and used in line with industry standard. AAA Biotech and its authorized distribution partners reserve the right to refuse to fulfill any order if we have any indication that a purchaser may be intending to use a product outside of our accepted criteria.Disclaimer
Though we do strive to guarantee the information represented in this datasheet, AAA Biotech cannot be held responsible for any oversights or imprecisions. AAA Biotech reserves the right to adjust any aspect of this datasheet at any time and without notice. It is the responsibility of the customer to inform AAA Biotech of any product performance issues observed or experienced within 30 days of receipt of said product. To see additional details on this or any of our other policies, please see our Terms & Conditions page.Item has been added to Shopping Cart
If you are ready to order, navigate to Shopping Cart and get ready to checkout.
