Rabbit VPS41 Polyclonal Antibody | anti-VPS41 antibody
VPS41 Antibody
Gene Names
VPS41; HVPS41; HVSP41; hVps41p
Reactivity
Human, MonkeyPredicted: Pig, Zebrafish, Bovine, Horse, Sheep, Rabbit, Dog, Chicken
Applications
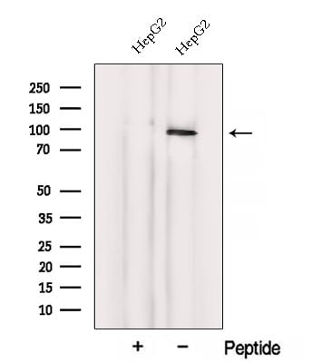
Western Blot
Purity
The antiserum was purified by peptide affinity chromatography using SulfoLink Coupling Resin (Thermo Fisher Scientific).
Synonyms
VPS41, Antibody; VPS41 Antibody; HVPS41; hVps41p; HVSP41; S53; Vacuolar assembly protein 41; Vacuolar protein sorting 41 (yeast homolog); Vacuolar protein sorting 41 (yeast); Vacuolar protein sorting 41 homolog (S. cerevisiae); Vacuolar protein sorting associated protein 41 homolog; vacuolar protein sorting-associated protein 41 homolog; VPS 41; anti-VPS41 antibody
Host
Rabbit
Reactivity
Human, Monkey
Predicted: Pig, Zebrafish, Bovine, Horse, Sheep, Rabbit, Dog, Chicken
Predicted: Pig, Zebrafish, Bovine, Horse, Sheep, Rabbit, Dog, Chicken
Clonality
Polyclonal
Isotype
IgG
Specificity
VPS41 Antibody detects endogenous levels of VPS41.
Purity/Purification
The antiserum was purified by peptide affinity chromatography using SulfoLink Coupling Resin (Thermo Fisher Scientific).
Form/Format
Liquid; Phosphate buffered saline, pH 7.4, 150mM NaCl, 0.02% sodium azide and 50% glycerol.
Concentration
1mg/ml (varies by lot)
Sequence Length
854
Applicable Applications for anti-VPS41 antibody
WB (Western Blot)
Immunogen
A synthesized peptide derived from human VPS41.
Fragment
Fab Fragment
Conjugate
Unconjugated
Subcellular Location
Endosome; Golgi Apparatus; Lysosome
Preparation and Storage
Store at -20 degree C. Stable for 12 months from date of receipt.
Related Product Information for anti-VPS41 antibody
Description: Plays a role in vesicle-mediated protein trafficking to lysosomal compartments including the endocytic membrane transport and autophagic pathways. Believed to act in part as a core component of the putative HOPS endosomal tethering complex is proposed to be involved in the Rab5-to-Rab7 endosome conversion probably implicating MON1A/B, and via binding SNAREs and SNARE complexes to mediate tethering and docking events during SNARE-mediated membrane fusion. The HOPS complex is proposed to be recruited to Rab7 on the late endosomal membrane and to regulate late endocytic, phagocytic and autophagic traffic towards lysosomes (PubMed:23351085). Involved in homotypic vesicle fusions between late endosomes and in heterotypic fusions between late endosomes and lysosomes implicated in degradation of endocytosed cargo (PubMed:9159129, PubMed:23167963, PubMed:25445562, PubMed:25908847). Required for fusion of autophagosomes with lysosomes (PubMed:25783203). May link the HOPS complex to endosomal Rab7 via its association with RILP and to lysosomal membranes via its association with ARL8B, suggesting that these interactions may bring the compartments to close proximity for fusion (PubMed:25445562, PubMed:25908847). Involved in the direct trans-Golgi network to late endosomes transport of lysosomal membrane proteins independently of HOPS (PubMed:23322049). Involved in sorting to the regulated secretory pathway presumably implicating the AP-3 adaptor complex (By similarity). May play a role in HOPS-independent function in the regulated secretory pathway (PubMed:24210660).
Subunit Structure: Component of the putative homotypic fusion and vacuole protein sorting (HOPS) complex; the core of which composed of the class C Vps proteins VPS11, VPS16, VPS18 and VPS33A, is associated with VPS39 and VPS41 (PubMed:23351085, PubMed:25445562, PubMed:25908847). Interacts with RILP, MON1B (PubMed:20434987, PubMed:25445562). Interacts with ARL8B (GTP-bound form); involved in recruitment to lysosomes and probably hierarchial assembly of the HOPS complex at lysosomal membranes (PubMed:25908847). In vitro can self-assemble into a lattice (PubMed:24210660). Associates with adaptor protein complex 3 (AP-3) and clathrin:AP-3 complexes (PubMed:21411634).
Similarity: Belongs to the VPS41 family.
Subunit Structure: Component of the putative homotypic fusion and vacuole protein sorting (HOPS) complex; the core of which composed of the class C Vps proteins VPS11, VPS16, VPS18 and VPS33A, is associated with VPS39 and VPS41 (PubMed:23351085, PubMed:25445562, PubMed:25908847). Interacts with RILP, MON1B (PubMed:20434987, PubMed:25445562). Interacts with ARL8B (GTP-bound form); involved in recruitment to lysosomes and probably hierarchial assembly of the HOPS complex at lysosomal membranes (PubMed:25908847). In vitro can self-assemble into a lattice (PubMed:24210660). Associates with adaptor protein complex 3 (AP-3) and clathrin:AP-3 complexes (PubMed:21411634).
Similarity: Belongs to the VPS41 family.
NCBI and Uniprot Product Information
NCBI GI #
NCBI GeneID
NCBI Accession #
NCBI GenBank Nucleotide #
UniProt Accession #
Molecular Weight
Observed: 94 kDa
Predicted: 99 kDa
Predicted: 99 kDa
NCBI Official Full Name
vacuolar protein sorting-associated protein 41 homolog isoform 1
NCBI Official Synonym Full Names
VPS41 subunit of HOPS complex
NCBI Official Symbol
VPS41
NCBI Official Synonym Symbols
HVPS41; HVSP41; hVps41p
NCBI Protein Information
vacuolar protein sorting-associated protein 41 homolog
UniProt Protein Name
Vacuolar protein sorting-associated protein 41 homolog
UniProt Gene Name
VPS41
UniProt Entry Name
VPS41_HUMAN
Customer Reviews
Loading reviews...
Share Your Experience
Similar Products
Product Notes
The VPS41 vps41 (Catalog #AAA328755) is an Antibody produced from Rabbit and is intended for research purposes only. The product is available for immediate purchase. The VPS41 Antibody reacts with Human, Monkey Predicted: Pig, Zebrafish, Bovine, Horse, Sheep, Rabbit, Dog, Chicken and may cross-react with other species as described in the data sheet. AAA Biotech's VPS41 can be used in a range of immunoassay formats including, but not limited to, WB (Western Blot). Researchers should empirically determine the suitability of the VPS41 vps41 for an application not listed in the data sheet. Researchers commonly develop new applications and it is an integral, important part of the investigative research process. It is sometimes possible for the material contained within the vial of "VPS41, Polyclonal Antibody" to become dispersed throughout the inside of the vial, particularly around the seal of said vial, during shipment and storage. We always suggest centrifuging these vials to consolidate all of the liquid away from the lid and to the bottom of the vial prior to opening. Please be advised that certain products may require dry ice for shipping and that, if this is the case, an additional dry ice fee may also be required.Precautions
All products in the AAA Biotech catalog are strictly for research-use only, and are absolutely not suitable for use in any sort of medical, therapeutic, prophylactic, in-vivo, or diagnostic capacity. By purchasing a product from AAA Biotech, you are explicitly certifying that said products will be properly tested and used in line with industry standard. AAA Biotech and its authorized distribution partners reserve the right to refuse to fulfill any order if we have any indication that a purchaser may be intending to use a product outside of our accepted criteria.Disclaimer
Though we do strive to guarantee the information represented in this datasheet, AAA Biotech cannot be held responsible for any oversights or imprecisions. AAA Biotech reserves the right to adjust any aspect of this datasheet at any time and without notice. It is the responsibility of the customer to inform AAA Biotech of any product performance issues observed or experienced within 30 days of receipt of said product. To see additional details on this or any of our other policies, please see our Terms & Conditions page.Item has been added to Shopping Cart
If you are ready to order, navigate to Shopping Cart and get ready to checkout.
