Rabbit anti-Human, Mouse WAVE1 Polyclonal Antibody | anti-WAVE1 antibody
WAVE1 Antibody
Phosphate buffered saline, pH 7.4, 150mM NaCl, 0.02% sodium azide and 50% glycerol.
IF (Immunofluorescence)
(AAA322651 staining NIH-3T3 by IF/ICC. The sample were fixed with PFA and permeabilized in 0.1% Triton X-100, then blocked in 10% serum for 45 minutes at 25 degree C. The primary antibody was diluted at 1/200 and incubated with the sample for 1 hour at 37 degree C. An Alexa Fluor 594 conjugated goat anti-rabbit IgG (H+L) Ab, diluted at 1/600, was used as the secondary antibody.)
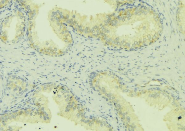
IHC (Immunohistochemistry)
(AAA322651 at 1/100 staining Mouse colon tissue by IHC-P. The sample was formaldehyde fixed and a heat mediated antigen retrieval step in citrate buffer was performed. The sample was then blocked and incubated with the antibody for 1.5 hours at 22 degree C. An HRP conjugated goat anti-rabbit antibody was used as the secondary.)
Subunit Structure: Component of the WAVE1 complex composed of ABI2, CYFIP1 or CYFIP2, BRK1, NCKAP1 and WASF1/WAVE1. Within the complex, a heterodimer containing NCKAP1 and CYFIP1 interacts with a heterotrimer formed by WAVE1, ABI2 and BRK1. CYFIP2 binds to activated RAC1 which causes the complex to dissociate, releasing activated WASF1. The complex can also be activated by NCK1. Binds actin and the Arp2/3 complex. Interacts with BAIAP2. Interacts with SHANK3; the interaction mediates the association of SHANK3 with the WAVE1 complex. Interacts with ABI1 (via N-terminus). Interacts with SORBS2; this interaction greatly enhances phosphorylation by ABL1 and dephosphorylation by PTPN12 and might mediate partial to focal adhesion sites.
Post-translational Modifications: Phosphorylated on tyrosine residues by ABL1 and dephosphorylated by PTPN12.
Similarity: Binds the Arp2/3 complex through the C-terminal region and actin through verprolin homology (VPH) domain. Belongs to the SCAR/WAVE family.
NCBI and Uniprot Product Information
Predicted: 62 kDa
Customer Reviews
Loading reviews...
Share Your Experience
Similar Products
Product Notes
The WAVE1 wasf1 (Catalog #AAA322651) is an Antibody produced from Rabbit and is intended for research purposes only. The product is available for immediate purchase. The WAVE1 Antibody reacts with Human, Mouse and may cross-react with other species as described in the data sheet. AAA Biotech's WAVE1 can be used in a range of immunoassay formats including, but not limited to, ELISA, ICC (Immunocytochemistry), IF (Immunofluorescence), IHC (Immunohistochemistry), WB (Western Blot). Researchers should empirically determine the suitability of the WAVE1 wasf1 for an application not listed in the data sheet. Researchers commonly develop new applications and it is an integral, important part of the investigative research process. It is sometimes possible for the material contained within the vial of "WAVE1, Polyclonal Antibody" to become dispersed throughout the inside of the vial, particularly around the seal of said vial, during shipment and storage. We always suggest centrifuging these vials to consolidate all of the liquid away from the lid and to the bottom of the vial prior to opening. Please be advised that certain products may require dry ice for shipping and that, if this is the case, an additional dry ice fee may also be required.Precautions
All products in the AAA Biotech catalog are strictly for research-use only, and are absolutely not suitable for use in any sort of medical, therapeutic, prophylactic, in-vivo, or diagnostic capacity. By purchasing a product from AAA Biotech, you are explicitly certifying that said products will be properly tested and used in line with industry standard. AAA Biotech and its authorized distribution partners reserve the right to refuse to fulfill any order if we have any indication that a purchaser may be intending to use a product outside of our accepted criteria.Disclaimer
Though we do strive to guarantee the information represented in this datasheet, AAA Biotech cannot be held responsible for any oversights or imprecisions. AAA Biotech reserves the right to adjust any aspect of this datasheet at any time and without notice. It is the responsibility of the customer to inform AAA Biotech of any product performance issues observed or experienced within 30 days of receipt of said product. To see additional details on this or any of our other policies, please see our Terms & Conditions page.Item has been added to Shopping Cart
If you are ready to order, navigate to Shopping Cart and get ready to checkout.
