Rabbit anti-Human WDR45 Polyclonal Antibody | anti-WDR45 antibody
WDR45 Antibody
Gene Names
WDR45; JM5; NBIA4; NBIA5; WDRX1; WIPI4; WIPI-4
Reactivity
Human
Applications
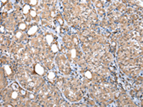
Immunohistochemistry
Purity
Antigen Affinity Purification
Synonyms
WDR45, Antibody; WDR45 Antibody; JM5; NBIA4; NBIA5; WDRX1; WIPI4; WIPI-4; anti-WDR45 antibody
Host
Rabbit
Reactivity
Human
Clonality
Polyclonal
Specificity
The antibody detects endogenous levels of total WDR45 protein.
Purity/Purification
Antigen Affinity Purification
Form/Format
Rabbit IgG in pH7.4 PBS, 0.05% NaN3, 40% Glycerol.
Concentration
2 mg/ml (varies by lot)
Sequence Length
360
Applicable Applications for anti-WDR45 antibody
IHC (Immunohistochemistry)
Immunogen
Fusion protein of human WDR45
Immunogen Type
Protein
Preparation and Storage
Store at -20 degree C
Related Product Information for anti-WDR45 antibody
This gene encodes a member of the WD repeat protein family. WD repeats are minimally conserved regions of approximately 40 amino acids typically bracketed by gly-his and trp-asp (GH-WD), which may facilitate formation of heterotrimeric or multiprotein complexes. Members of this family are involved in a variety of cellular processes, including cell cycle progression, signal transduction, apoptosis, and gene regulation. This gene has a pseudogene at chromosome 4q31.3. Multiple alternatively spliced transcript variants encoding distinct isoformshave been found for this gene, but the biological validity and full-length nature of some variants have not been determined.
Product Categories/Family for anti-WDR45 antibody
NCBI and Uniprot Product Information
NCBI GI #
NCBI GeneID
NCBI Accession #
NCBI GenBank Nucleotide #
Molecular Weight
39,939 Da
NCBI Official Full Name
WD repeat domain phosphoinositide-interacting protein 4 isoform 2
NCBI Official Synonym Full Names
WD repeat domain 45
NCBI Official Symbol
WDR45
NCBI Official Synonym Symbols
JM5; NBIA4; NBIA5; WDRX1; WIPI4; WIPI-4
NCBI Protein Information
WD repeat domain phosphoinositide-interacting protein 4
UniProt Protein Name
WD repeat domain phosphoinositide-interacting protein 4
UniProt Gene Name
WDR45
UniProt Synonym Gene Names
WDRX1; WDRXI4; WIPI4; WIPI-4
UniProt Entry Name
WIPI4_HUMAN
Customer Reviews
Loading reviews...
Share Your Experience
Similar Products
Product Notes
The WDR45 wdr45 (Catalog #AAA309052) is an Antibody produced from Rabbit and is intended for research purposes only. The product is available for immediate purchase. The WDR45 Antibody reacts with Human and may cross-react with other species as described in the data sheet. AAA Biotech's WDR45 can be used in a range of immunoassay formats including, but not limited to, IHC (Immunohistochemistry). Researchers should empirically determine the suitability of the WDR45 wdr45 for an application not listed in the data sheet. Researchers commonly develop new applications and it is an integral, important part of the investigative research process. It is sometimes possible for the material contained within the vial of "WDR45, Polyclonal Antibody" to become dispersed throughout the inside of the vial, particularly around the seal of said vial, during shipment and storage. We always suggest centrifuging these vials to consolidate all of the liquid away from the lid and to the bottom of the vial prior to opening. Please be advised that certain products may require dry ice for shipping and that, if this is the case, an additional dry ice fee may also be required.Precautions
All products in the AAA Biotech catalog are strictly for research-use only, and are absolutely not suitable for use in any sort of medical, therapeutic, prophylactic, in-vivo, or diagnostic capacity. By purchasing a product from AAA Biotech, you are explicitly certifying that said products will be properly tested and used in line with industry standard. AAA Biotech and its authorized distribution partners reserve the right to refuse to fulfill any order if we have any indication that a purchaser may be intending to use a product outside of our accepted criteria.Disclaimer
Though we do strive to guarantee the information represented in this datasheet, AAA Biotech cannot be held responsible for any oversights or imprecisions. AAA Biotech reserves the right to adjust any aspect of this datasheet at any time and without notice. It is the responsibility of the customer to inform AAA Biotech of any product performance issues observed or experienced within 30 days of receipt of said product. To see additional details on this or any of our other policies, please see our Terms & Conditions page.Item has been added to Shopping Cart
If you are ready to order, navigate to Shopping Cart and get ready to checkout.
