Rabbit WEE1 Polyclonal Antibody | anti-WEE1 antibody
Phospho-WEE1 (Ser139) Antibody
Predicted: Pig, Rabbit, Dog
Predicted: Pig, Rabbit, Dog
WB (Western Blot)
(Western blot analysis of Phospho-WEE1 (Ser139) in lysates of 293 etoposide 25uM 60', using Phospho-WEE1 (Ser139) Antibody.)
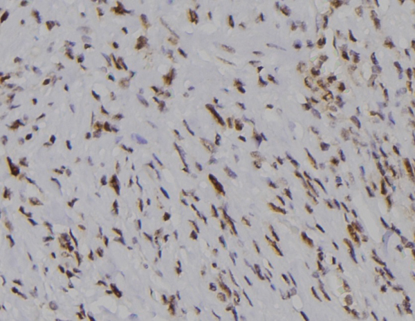
IHC (Immunohiostchemistry)
(At 1/100 staining human gastric cancer tissue sections by IHC-P. The tissue was formaldehyde fixed and a heat mediated antigen retrieval step in citrate buffer was performed. The tissue was then blocked and incubated with the antibody for 1.5 hours at 22 degree C. An HRP conjugated goat anti-rabbit antibody was used as the secondary)
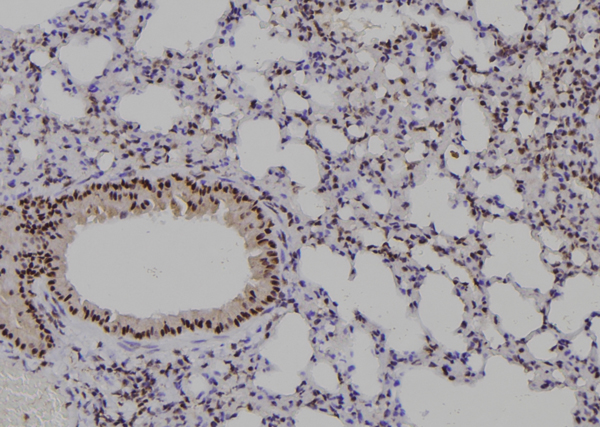
IHC (Immunohistochemistry)
(At 1/100 staining mouse lung tissue sections by IHC-P. The tissue was formaldehyde fixed and a heat mediated antigen retrieval step in citrate buffer was performed. The tissue was then blocked and incubated with the antibody for 1.5 hours at 22 degree C. An HRP conjugated goat anti-rabbit antibody was used as the secondary)
Post Translational Modifications: Phosphorylated during M and G1 phases. Also autophosphorylated. Phosphorylation at Ser-642 by BRSK1 and BRSK2 in post-mitotic neurons, leads to down-regulate WEE1 activity in polarized neurons. Phosphorylated at Ser-53 and Ser-123 by PLK1 and CDK1, respectively, generating an signal for degradation that can be recognized by the SCF(BTRC) complex, leading to its ubiquitination and degradation at the onset of G2/M phase. Dephosphorylated at Thr-239 by CTDP1. Ubiquitinated and degraded at the onset of G2/M phase.
Similarity: Belongs to the protein kinase superfamily. Ser/Thr protein kinase family. WEE1 subfamily.
NCBI and Uniprot Product Information
Predicted: 72 kDa
Customer Reviews
Loading reviews...
Share Your Experience
Similar Products
Product Notes
The WEE1 wee1 (Catalog #AAA328442) is an Antibody produced from Rabbit and is intended for research purposes only. The product is available for immediate purchase. The Phospho-WEE1 (Ser139) Antibody reacts with Human, Mouse, Rat Predicted: Pig, Rabbit, Dog and may cross-react with other species as described in the data sheet. AAA Biotech's WEE1 can be used in a range of immunoassay formats including, but not limited to, ELISA (Peptide ELISA), IHC (Immunohistochemistry), WB (Western Blot). Researchers should empirically determine the suitability of the WEE1 wee1 for an application not listed in the data sheet. Researchers commonly develop new applications and it is an integral, important part of the investigative research process. It is sometimes possible for the material contained within the vial of "WEE1, Polyclonal Antibody" to become dispersed throughout the inside of the vial, particularly around the seal of said vial, during shipment and storage. We always suggest centrifuging these vials to consolidate all of the liquid away from the lid and to the bottom of the vial prior to opening. Please be advised that certain products may require dry ice for shipping and that, if this is the case, an additional dry ice fee may also be required.Precautions
All products in the AAA Biotech catalog are strictly for research-use only, and are absolutely not suitable for use in any sort of medical, therapeutic, prophylactic, in-vivo, or diagnostic capacity. By purchasing a product from AAA Biotech, you are explicitly certifying that said products will be properly tested and used in line with industry standard. AAA Biotech and its authorized distribution partners reserve the right to refuse to fulfill any order if we have any indication that a purchaser may be intending to use a product outside of our accepted criteria.Disclaimer
Though we do strive to guarantee the information represented in this datasheet, AAA Biotech cannot be held responsible for any oversights or imprecisions. AAA Biotech reserves the right to adjust any aspect of this datasheet at any time and without notice. It is the responsibility of the customer to inform AAA Biotech of any product performance issues observed or experienced within 30 days of receipt of said product. To see additional details on this or any of our other policies, please see our Terms & Conditions page.Item has been added to Shopping Cart
If you are ready to order, navigate to Shopping Cart and get ready to checkout.
