Rabbit anti-Human WFDC3 Polyclonal Antibody | anti-WFDC3 antibody
WFDC3 Antibody
Gene Names
WFDC3; WAP14; dJ447F3.3
Reactivity
Human
Applications
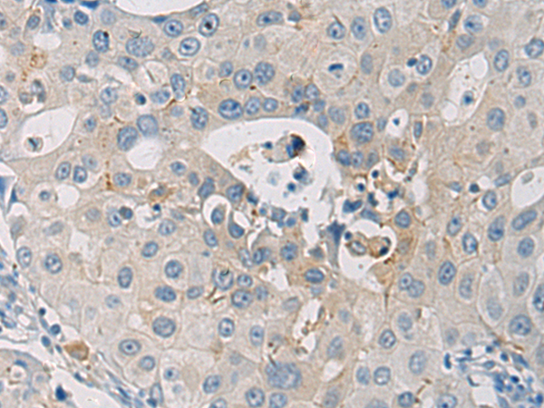
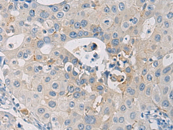
Immunohistochemistry
Purity
Antigen affinity purification
Synonyms
WFDC3, Antibody; WFDC3 Antibody; WAP14; dJ447F3.3; anti-WFDC3 antibody
Host
Rabbit
Reactivity
Human
Clonality
Polyclonal
Purity/Purification
Antigen affinity purification
Form/Format
pH7.4 PBS, 0.05% NaN3, 40% Glycerol
Concentration
0.9mg/mL (varies by lot)
Applicable Applications for anti-WFDC3 antibody
IHC (Immunohistochemistry)
Immunogen
Synthetic peptide of human WFDC3
Conjugation
Unconjugated
Preparation and Storage
Store at -20 degree C for 1 year.
Related Product Information for anti-WFDC3 antibody
This gene encodes a member of the WAP-type four-disulfide core (WFDC) domain family. The WFDC domain, or WAP signature motif, contains eight cysteines forming four disulfide bonds at the core of the protein, and functions as a protease inhibitor. The encoded protein contains four WFDC domains. Most WFDC genes are localized to chromosome 20q12-q13 in two clusters: centromeric and telomeric. This gene belongs to the telomeric cluster. Alternatively spliced transcript variants have been observed but their full-length nature has not been determined.
Product Categories/Family for anti-WFDC3 antibody
NCBI and Uniprot Product Information
NCBI GI #
NCBI GeneID
NCBI Accession #
NCBI GenBank Nucleotide #
UniProt Accession #
Molecular Weight
22kDa
NCBI Official Full Name
WAP four-disulfide core domain protein 3
NCBI Official Synonym Full Names
WAP four-disulfide core domain 3
NCBI Official Symbol
WFDC3
NCBI Official Synonym Symbols
WAP14; dJ447F3.3
NCBI Protein Information
WAP four-disulfide core domain protein 3
UniProt Protein Name
WAP four-disulfide core domain protein 3
UniProt Gene Name
WFDC3
UniProt Synonym Gene Names
WAP14
Customer Reviews
Loading reviews...
Share Your Experience
Similar Products
Product Notes
The WFDC3 wfdc3 (Catalog #AAA311858) is an Antibody produced from Rabbit and is intended for research purposes only. The product is available for immediate purchase. The WFDC3 Antibody reacts with Human and may cross-react with other species as described in the data sheet. AAA Biotech's WFDC3 can be used in a range of immunoassay formats including, but not limited to, IHC (Immunohistochemistry). Researchers should empirically determine the suitability of the WFDC3 wfdc3 for an application not listed in the data sheet. Researchers commonly develop new applications and it is an integral, important part of the investigative research process. It is sometimes possible for the material contained within the vial of "WFDC3, Polyclonal Antibody" to become dispersed throughout the inside of the vial, particularly around the seal of said vial, during shipment and storage. We always suggest centrifuging these vials to consolidate all of the liquid away from the lid and to the bottom of the vial prior to opening. Please be advised that certain products may require dry ice for shipping and that, if this is the case, an additional dry ice fee may also be required.Precautions
All products in the AAA Biotech catalog are strictly for research-use only, and are absolutely not suitable for use in any sort of medical, therapeutic, prophylactic, in-vivo, or diagnostic capacity. By purchasing a product from AAA Biotech, you are explicitly certifying that said products will be properly tested and used in line with industry standard. AAA Biotech and its authorized distribution partners reserve the right to refuse to fulfill any order if we have any indication that a purchaser may be intending to use a product outside of our accepted criteria.Disclaimer
Though we do strive to guarantee the information represented in this datasheet, AAA Biotech cannot be held responsible for any oversights or imprecisions. AAA Biotech reserves the right to adjust any aspect of this datasheet at any time and without notice. It is the responsibility of the customer to inform AAA Biotech of any product performance issues observed or experienced within 30 days of receipt of said product. To see additional details on this or any of our other policies, please see our Terms & Conditions page.Item has been added to Shopping Cart
If you are ready to order, navigate to Shopping Cart and get ready to checkout.
