Wnt7a Polyclonal Antibody | anti-WNT7A antibody
Anti-Wnt7a Antibody
Reactivity
Human, Mouse, Rat
Applications
Immunohistochemistry, Western Blot
Purity
Immunogen Affinity Purified
Synonyms
Wnt7a, Antibody; Anti-Wnt7a Antibody; Protein Wnt-7a; Protein Wnt-7a precursor; Proto oncogene Wnt7a protein; proto-oncogene wnt7a protein; wingless-type MMTV integration site family, member 7A; WNT7A; WNT7A_HUMAN; anti-WNT7A antibody
Reactivity
Human, Mouse, Rat
Clonality
Polyclonal
Purity/Purification
Immunogen Affinity Purified
Form/Format
Lyophilized. Each vial contains 5mg BSA, 0.9mg NaCl, 0.2mg Na2HPO4, 0.05mg NaN3.
Sequence Length
349
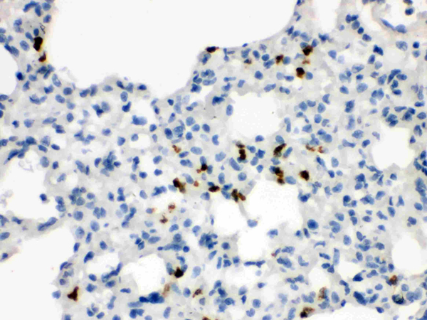
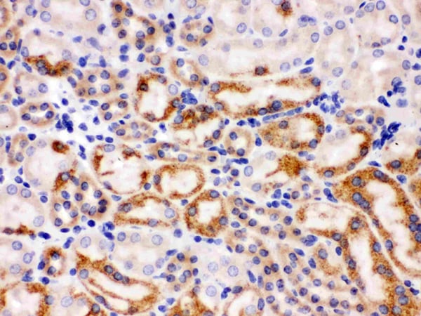
Applicable Applications for anti-WNT7A antibody
IHC (Immunohistochemistry), WB (Western Blot)
Immunogen
A synthetic peptide corresponding to a sequence at the C-terminus of human Wnt7a (226-256aa YVLKDKYNEAVHVEPVRASRNKRPTFLKIKK), identical to the related mouse sequence.
Ig Type
Rabbit IgG
Reconstitution
Add 0.2ml of distilled water will yield a concentration of 500ug/ml.
Preparation and Storage
At -20 degree C for one year. After reconstitution, at 4 degree C for one month. It can also be aliquoted and stored frozen at -20 degree C for a longer time. Avoid repeated freezing and thawing.
Related Product Information for anti-WNT7A antibody
Description: Rabbit IgG polyclonal antibody for Protein Wnt-7a(WNT7A) detection. Tested with WB, IHC-P in Human;Mouse;Rat.
Background: This gene is a member of the WNT gene family, which consists of structurally related genes that encode secreted signaling proteins. These proteins have been implicated in oncogenesis and in several developmental processes, including regulation of cell fate and patterning during embryogenesis. This gene is involved in the development of the anterior-posterior axis in the female reproductive tract, and also plays a critical role in uterine smooth muscle pattering and maintenance of adult uterine function. Mutations in this gene are associated with Fuhrmann and Al-Awadi / Raas Rothschild / Schinzel phocomelia syndromes.
Background: This gene is a member of the WNT gene family, which consists of structurally related genes that encode secreted signaling proteins. These proteins have been implicated in oncogenesis and in several developmental processes, including regulation of cell fate and patterning during embryogenesis. This gene is involved in the development of the anterior-posterior axis in the female reproductive tract, and also plays a critical role in uterine smooth muscle pattering and maintenance of adult uterine function. Mutations in this gene are associated with Fuhrmann and Al-Awadi / Raas Rothschild / Schinzel phocomelia syndromes.
References
1. Dang Y, Qin Y, Tang R, Mu Y, Li G, Xia M, Chen ZJ. "Variants of the WNT7A gene in Chinese patients with müllerian duct abnormalities." Fertil Steril, 2012 Feb. 2. Kondratov AG, Kvasha SM, Stoliar LA, Romanenko AM, Zgonnyk YM, Gordiyuk VV, Kashuba EV, Rynditch AV, Zabarovsky ER, Kashuba VI. "Alterations of the WNT7A gene in clear cell renal cell carcinomas." PLoS One, 2012.
NCBI and Uniprot Product Information
NCBI GI #
NCBI GeneID
NCBI Accession #
NCBI GenBank Nucleotide #
Molecular Weight
39,005 Da
NCBI Official Full Name
protein Wnt-7a
NCBI Official Synonym Full Names
Wnt family member 7A
NCBI Official Symbol
WNT7A
NCBI Protein Information
protein Wnt-7a
UniProt Protein Name
Protein Wnt-7a
UniProt Gene Name
WNT7A
UniProt Entry Name
WNT7A_HUMAN
Customer Reviews
Loading reviews...
Share Your Experience
Similar Products
Product Notes
The WNT7A wnt7a (Catalog #AAA46478) is an Antibody and is intended for research purposes only. The product is available for immediate purchase. The Anti-Wnt7a Antibody reacts with Human, Mouse, Rat and may cross-react with other species as described in the data sheet. AAA Biotech's Wnt7a can be used in a range of immunoassay formats including, but not limited to, IHC (Immunohistochemistry), WB (Western Blot). Researchers should empirically determine the suitability of the WNT7A wnt7a for an application not listed in the data sheet. Researchers commonly develop new applications and it is an integral, important part of the investigative research process. It is sometimes possible for the material contained within the vial of "Wnt7a, Polyclonal Antibody" to become dispersed throughout the inside of the vial, particularly around the seal of said vial, during shipment and storage. We always suggest centrifuging these vials to consolidate all of the liquid away from the lid and to the bottom of the vial prior to opening. Please be advised that certain products may require dry ice for shipping and that, if this is the case, an additional dry ice fee may also be required.Precautions
All products in the AAA Biotech catalog are strictly for research-use only, and are absolutely not suitable for use in any sort of medical, therapeutic, prophylactic, in-vivo, or diagnostic capacity. By purchasing a product from AAA Biotech, you are explicitly certifying that said products will be properly tested and used in line with industry standard. AAA Biotech and its authorized distribution partners reserve the right to refuse to fulfill any order if we have any indication that a purchaser may be intending to use a product outside of our accepted criteria.Disclaimer
Though we do strive to guarantee the information represented in this datasheet, AAA Biotech cannot be held responsible for any oversights or imprecisions. AAA Biotech reserves the right to adjust any aspect of this datasheet at any time and without notice. It is the responsibility of the customer to inform AAA Biotech of any product performance issues observed or experienced within 30 days of receipt of said product. To see additional details on this or any of our other policies, please see our Terms & Conditions page.Item has been added to Shopping Cart
If you are ready to order, navigate to Shopping Cart and get ready to checkout.
