Rabbit WRB Polyclonal Antibody | anti-WRB antibody
WRB Polyclonal Antibody
Gene Names
GET1; WRB; CHD5
Reactivity
Human, Mouse, Rat
Applications
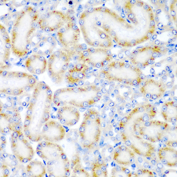
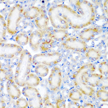
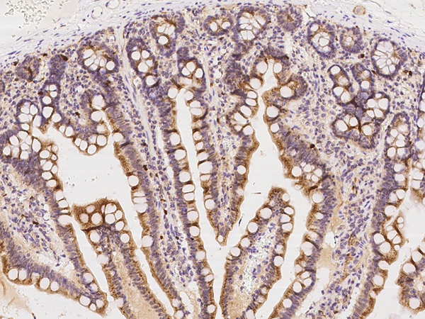
Immunohistochemistry, Western Blot
Purity
Affinity purification
Synonyms
WRB, Antibody; WRB Polyclonal Antibody; WRB; CHD5; GET1; tryptophan rich basic protein; anti-WRB antibody
Host
Rabbit
Reactivity
Human, Mouse, Rat
Clonality
Polyclonal
Isotype
IgG
Purity/Purification
Affinity purification
Form/Format
PBS with 50% glycerol, pH7.4
Sequence Length
174
Applicable Applications for anti-WRB antibody
IHC (Immunohistochemistry), WB (Western Blot)
Immunogen
Recombinant fusion protein of human WRB (NP_004618.2).
Conjugation
Unconjugated
Preparation and Storage
Store at -20 degree C. Avoid freeze/thaw cycles.
Related Product Information for anti-WRB antibody
This gene encodes a basic nuclear protein of unknown function. The gene is widely expressed in adult and fetal tissues. Since the region proposed to contain the gene (s) for congenital heart disease (CHD) in Down syndrome (DS) patients has been restricted to 21q22.2-22.3, this gene, which maps to 21q22.3, has a potential role in the pathogenesis of Down syndrome congenital heart disease. Alternatively spliced transcript variants encoding different isoforms have been found for this gene.
Product Categories/Family for anti-WRB antibody
NCBI and Uniprot Product Information
NCBI GI #
NCBI GeneID
NCBI Accession #
NCBI GenBank Nucleotide #
UniProt Accession #
Molecular Weight
25kDa
NCBI Official Full Name
guided entry of tail-anchored proteins factor 1 isoform 1
NCBI Official Synonym Full Names
guided entry of tail-anchored proteins factor 1
NCBI Official Symbol
GET1
NCBI Official Synonym Symbols
WRB; CHD5
NCBI Protein Information
guided entry of tail-anchored proteins factor 1
UniProt Protein Name
Tail-anchored protein insertion receptor WRB
UniProt Gene Name
WRB
UniProt Synonym Gene Names
CHD5; WRB
Customer Reviews
Loading reviews...
Share Your Experience
Similar Products
Product Notes
The WRB wrb (Catalog #AAA311451) is an Antibody produced from Rabbit and is intended for research purposes only. The product is available for immediate purchase. The WRB Polyclonal Antibody reacts with Human, Mouse, Rat and may cross-react with other species as described in the data sheet. AAA Biotech's WRB can be used in a range of immunoassay formats including, but not limited to, IHC (Immunohistochemistry), WB (Western Blot). Researchers should empirically determine the suitability of the WRB wrb for an application not listed in the data sheet. Researchers commonly develop new applications and it is an integral, important part of the investigative research process. It is sometimes possible for the material contained within the vial of "WRB, Polyclonal Antibody" to become dispersed throughout the inside of the vial, particularly around the seal of said vial, during shipment and storage. We always suggest centrifuging these vials to consolidate all of the liquid away from the lid and to the bottom of the vial prior to opening. Please be advised that certain products may require dry ice for shipping and that, if this is the case, an additional dry ice fee may also be required.Precautions
All products in the AAA Biotech catalog are strictly for research-use only, and are absolutely not suitable for use in any sort of medical, therapeutic, prophylactic, in-vivo, or diagnostic capacity. By purchasing a product from AAA Biotech, you are explicitly certifying that said products will be properly tested and used in line with industry standard. AAA Biotech and its authorized distribution partners reserve the right to refuse to fulfill any order if we have any indication that a purchaser may be intending to use a product outside of our accepted criteria.Disclaimer
Though we do strive to guarantee the information represented in this datasheet, AAA Biotech cannot be held responsible for any oversights or imprecisions. AAA Biotech reserves the right to adjust any aspect of this datasheet at any time and without notice. It is the responsibility of the customer to inform AAA Biotech of any product performance issues observed or experienced within 30 days of receipt of said product. To see additional details on this or any of our other policies, please see our Terms & Conditions page.Item has been added to Shopping Cart
If you are ready to order, navigate to Shopping Cart and get ready to checkout.
