Rabbit anti-Human XKR7 Polyclonal Antibody | anti-XKR7 antibody
XKR7 Antibody
Gene Names
XKR7; C20orf159; dJ310O13.4
Reactivity
Human
Applications
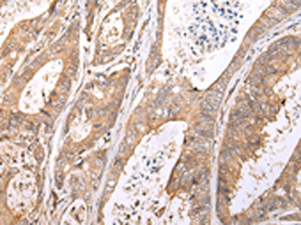
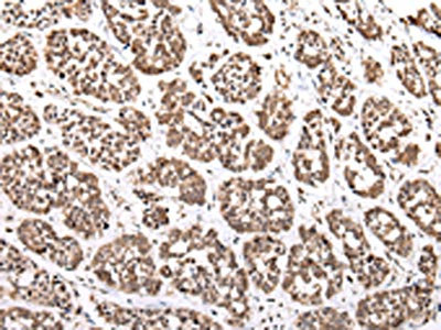
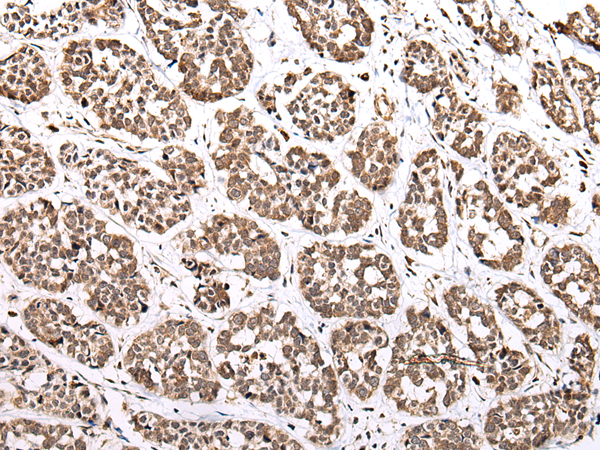
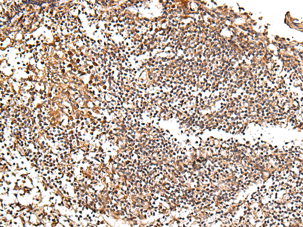
Immunohistochemistry
Purity
Antigen Affinity Purification
Synonyms
XKR7, Antibody; XKR7 Antibody; C20orf159; dJ310O13.4; anti-XKR7 antibody
Host
Rabbit
Reactivity
Human
Clonality
Polyclonal
Specificity
The antibody detects endogenous levels of total XKR7 protein.
Purity/Purification
Antigen Affinity Purification
Form/Format
Rabbit IgG in pH7.4 PBS, 0.05% NaN3, 40% Glycerol.
Concentration
1.2 mg/ml (varies by lot)
Sequence Length
579
Applicable Applications for anti-XKR7 antibody
IHC (Immunohistochemistry)
Immunogen
Synthetic peptide of human XKR7
Immunogen Type
Peptide
Preparation and Storage
Store at -20 degree C
Related Product Information for anti-XKR7 antibody
XKR7 (XK-related protein 7) is a 579 amino acid multi-pass membrane protein that likely is a component of the XK/Kell complex of the Kell blood group system. The gene encoding XKR7 maps to human chromosome 20, which comprises approximately 2% of the human genome. Chromosome 20 contains nearly 63 million bases that encode over 600 genes, some of which are associated with Creutzfeldt-Jakob disease, amyotrophic lateral sclerosis, spinal muscular atrophy, ring chromosome 20 epilepsy syndrome and Alagille syndrome.
Product Categories/Family for anti-XKR7 antibody
NCBI and Uniprot Product Information
NCBI GI #
NCBI GeneID
NCBI Accession #
NCBI GenBank Nucleotide #
Molecular Weight
63,826 Da
NCBI Official Full Name
XK-related protein 7
NCBI Official Synonym Full Names
XK related 7
NCBI Official Symbol
XKR7
NCBI Official Synonym Symbols
C20orf159; dJ310O13.4
NCBI Protein Information
XK-related protein 7
UniProt Protein Name
XK-related protein 7
UniProt Gene Name
XKR7
UniProt Synonym Gene Names
C20orf159; XRG7
UniProt Entry Name
XKR7_HUMAN
Customer Reviews
Loading reviews...
Share Your Experience
Similar Products
Product Notes
The XKR7 xkr7 (Catalog #AAA309024) is an Antibody produced from Rabbit and is intended for research purposes only. The product is available for immediate purchase. The XKR7 Antibody reacts with Human and may cross-react with other species as described in the data sheet. AAA Biotech's XKR7 can be used in a range of immunoassay formats including, but not limited to, IHC (Immunohistochemistry). Researchers should empirically determine the suitability of the XKR7 xkr7 for an application not listed in the data sheet. Researchers commonly develop new applications and it is an integral, important part of the investigative research process. It is sometimes possible for the material contained within the vial of "XKR7, Polyclonal Antibody" to become dispersed throughout the inside of the vial, particularly around the seal of said vial, during shipment and storage. We always suggest centrifuging these vials to consolidate all of the liquid away from the lid and to the bottom of the vial prior to opening. Please be advised that certain products may require dry ice for shipping and that, if this is the case, an additional dry ice fee may also be required.Precautions
All products in the AAA Biotech catalog are strictly for research-use only, and are absolutely not suitable for use in any sort of medical, therapeutic, prophylactic, in-vivo, or diagnostic capacity. By purchasing a product from AAA Biotech, you are explicitly certifying that said products will be properly tested and used in line with industry standard. AAA Biotech and its authorized distribution partners reserve the right to refuse to fulfill any order if we have any indication that a purchaser may be intending to use a product outside of our accepted criteria.Disclaimer
Though we do strive to guarantee the information represented in this datasheet, AAA Biotech cannot be held responsible for any oversights or imprecisions. AAA Biotech reserves the right to adjust any aspect of this datasheet at any time and without notice. It is the responsibility of the customer to inform AAA Biotech of any product performance issues observed or experienced within 30 days of receipt of said product. To see additional details on this or any of our other policies, please see our Terms & Conditions page.Item has been added to Shopping Cart
If you are ready to order, navigate to Shopping Cart and get ready to checkout.
