Rabbit anti-Human YY1 Polyclonal Antibody | anti-YY1 antibody
YY1 antibody (pAb)
Gene Names
YY1; DELTA; NF-E1; UCRBP; GADEVS; INO80S; YIN-YANG-1
Reactivity
Human
Applications
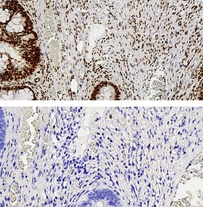
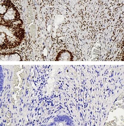
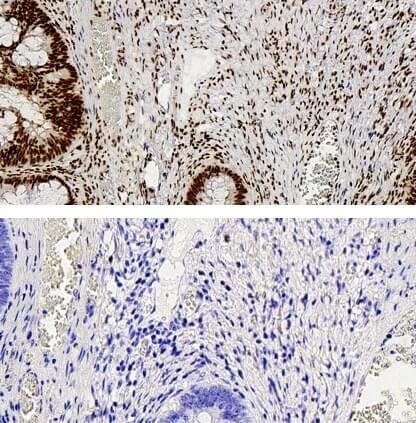
Western Blot, Immunoprecipitation, Immunohistochemistry, Chromatin Immunoprecipitation, Immunoprecipitation
Purity
Affinity Purified
Synonyms
YY1, Antibody; YY1 antibody (pAb); DELTA; NF-E1; UCRBP; INO80S; YIN-YANG-1; anti-YY1 antibody
Host
Rabbit
Reactivity
Human
Clonality
Polyclonal
Isotype
IgG
Purity/Purification
Affinity Purified
Form/Format
Purified IgG in PBS with 30% glycerol and 0.035% sodium azide. Sodium azide is highly toxic.
Applicable Applications for anti-YY1 antibody
WB (Western Blot), IP (Immunoprecipitation), IHC (Immunohistochemistry), ChIP (Chromatin immunoprecipitation)
Immunogen
This antibody was raised against a recombinant protein corresponding to amino acids 249-414 of human YY1.
Preparation and Storage
Some products may be shipped at room temperature. This will not affect their stability or performance. Avoid repeated freeze/thaw cycles by aliquoting items into single-use fractions for storage at -20 degree C for up to 2 years. Keep all reagents on ice when not in storage.1ug/ul
Related Product Information for anti-YY1 antibody
Short Description: Our YY1 antibody (pAb) was raised in a Rabbit host. It has been validated for use in ChIP-Seq, Immunohistochemistry, Immunoprecipitation and Western blot; it has been shown to react with Human samples.
Background: YY1 (Yin Yang 1) is a transcription factor that belongs to the GLI-Kruppel class of zinc finger transcription factors and is ubiquitously expressed. YY1 is known to have a fundamental role in normal biologic processes such as embryogenesis, differentiation, replication and cellular proliferation. YY1 exerts its effects on genes involved in these processes via its ability to initiate, activate or repress transcription depending upon the context in which it binds. Since expression and function of YY1 are known to be intimately associated with progression through phases of the cell cycle, the physiologic significance of YY1 activity has been applied to models of tumor biology. It can repress and activate a number of gene promoters and direct histone deacetylases (HDACs) and histone acetyltransferases (HATs).
Background: YY1 (Yin Yang 1) is a transcription factor that belongs to the GLI-Kruppel class of zinc finger transcription factors and is ubiquitously expressed. YY1 is known to have a fundamental role in normal biologic processes such as embryogenesis, differentiation, replication and cellular proliferation. YY1 exerts its effects on genes involved in these processes via its ability to initiate, activate or repress transcription depending upon the context in which it binds. Since expression and function of YY1 are known to be intimately associated with progression through phases of the cell cycle, the physiologic significance of YY1 activity has been applied to models of tumor biology. It can repress and activate a number of gene promoters and direct histone deacetylases (HDACs) and histone acetyltransferases (HATs).
Product Categories/Family for anti-YY1 antibody
NCBI and Uniprot Product Information
NCBI GI #
NCBI GeneID
NCBI Accession #
NCBI GenBank Nucleotide #
Molecular Weight
47.1kDa (437aa) confirmed by MALDI-TOF (Molecular size on SDS-PAGE will appear higher)
NCBI Official Full Name
transcriptional repressor protein YY1
NCBI Official Synonym Full Names
YY1 transcription factor
NCBI Official Symbol
YY1
NCBI Official Synonym Symbols
DELTA; NF-E1; UCRBP; GADEVS; INO80S; YIN-YANG-1
NCBI Protein Information
transcriptional repressor protein YY1
UniProt Protein Name
Transcriptional repressor protein YY1
UniProt Gene Name
YY1
UniProt Synonym Gene Names
INO80S; YY-1
UniProt Entry Name
TYY1_HUMAN
Customer Reviews
Loading reviews...
Share Your Experience
Similar Products
Product Notes
The YY1 yy1 (Catalog #AAA60084) is an Antibody produced from Rabbit and is intended for research purposes only. The product is available for immediate purchase. The YY1 antibody (pAb) reacts with Human and may cross-react with other species as described in the data sheet. AAA Biotech's YY1 can be used in a range of immunoassay formats including, but not limited to, WB (Western Blot), IP (Immunoprecipitation), IHC (Immunohistochemistry), ChIP (Chromatin immunoprecipitation). Researchers should empirically determine the suitability of the YY1 yy1 for an application not listed in the data sheet. Researchers commonly develop new applications and it is an integral, important part of the investigative research process. It is sometimes possible for the material contained within the vial of "YY1, Polyclonal Antibody" to become dispersed throughout the inside of the vial, particularly around the seal of said vial, during shipment and storage. We always suggest centrifuging these vials to consolidate all of the liquid away from the lid and to the bottom of the vial prior to opening. Please be advised that certain products may require dry ice for shipping and that, if this is the case, an additional dry ice fee may also be required.Precautions
All products in the AAA Biotech catalog are strictly for research-use only, and are absolutely not suitable for use in any sort of medical, therapeutic, prophylactic, in-vivo, or diagnostic capacity. By purchasing a product from AAA Biotech, you are explicitly certifying that said products will be properly tested and used in line with industry standard. AAA Biotech and its authorized distribution partners reserve the right to refuse to fulfill any order if we have any indication that a purchaser may be intending to use a product outside of our accepted criteria.Disclaimer
Though we do strive to guarantee the information represented in this datasheet, AAA Biotech cannot be held responsible for any oversights or imprecisions. AAA Biotech reserves the right to adjust any aspect of this datasheet at any time and without notice. It is the responsibility of the customer to inform AAA Biotech of any product performance issues observed or experienced within 30 days of receipt of said product. To see additional details on this or any of our other policies, please see our Terms & Conditions page.Item has been added to Shopping Cart
If you are ready to order, navigate to Shopping Cart and get ready to checkout.
