Rabbit ZC3HAV1 Polyclonal Antibody | anti-ZC3HAV1 antibody
ZC3HAV1 Antibody
Phosphate buffered saline, pH 7.4, 150mM NaCl, 0.02% sodium azide and 50% glycerol.
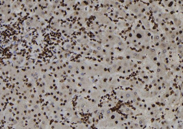
IHC (Immunohiostchemistry)
(AAA323167 at 1/100 staining Human liver tissue by IHC-P. The sample was formaldehyde fixed and a heat mediated antigen retrieval step in citrate buffer was performed. The sample was then blocked and incubated with the antibody for 1.5 hours at 22 degree C. An HRP conjugated goat anti-rabbit antibody was used as the secondary.)
Subunit Structure: Homodimer or homooligomer. Homooligomerization is essential for its antiviral activity. Interacts with EXOSC5 (By similarity). Interacts (via N-terminal domain) with DDX17 in an RNA-independent manner (By similarity). Interacts with EXOSC3, EXOSC7, DCP2 and DCP1A. Interacts with PARN in an RNA-independent manner. Interacts with XRN1 in an RNA-dependent manner. Isoform 2 interacts (via zinc-fingers) with DDX58/RIG-I in an RNA-dependent manner. Interacts (via N-terminal domain) with DHX30 (via N-terminus) in an RNA-independent manner.
Post-translational Modifications: Phosphorylation at Ser-275 is essential for sequential phosphorylation of Ser-271, Ser-267, Ser-263 and Ser-257 by GSK3-beta. Phosphorylation by GSK3-beta enhances its antiviral activity (By similarity).
Similarity: The N-terminal domain is sufficient to bind to viral RNAs and promote their degradation. The second and fourth zinc fingers are involved in binding to specific viral RNAs (PubMed:20451500). Contains a divergent PARP homology ADP-ribosyltransferase domain which lacks the structural requirements for NAD[+] binding. It is therefore inactive (PubMed:25635049).
NCBI and Uniprot Product Information
Predicted: 102 kDa
Customer Reviews
Loading reviews...
Share Your Experience
Similar Products
Product Notes
The ZC3HAV1 zc3hav1 (Catalog #AAA323167) is an Antibody produced from Rabbit and is intended for research purposes only. The product is available for immediate purchase. The ZC3HAV1 Antibody reacts with Human, Mouse, Rat and may cross-react with other species as described in the data sheet. AAA Biotech's ZC3HAV1 can be used in a range of immunoassay formats including, but not limited to, IHC (Immunohistochemistry), WB (Western Blot). Researchers should empirically determine the suitability of the ZC3HAV1 zc3hav1 for an application not listed in the data sheet. Researchers commonly develop new applications and it is an integral, important part of the investigative research process. It is sometimes possible for the material contained within the vial of "ZC3HAV1, Polyclonal Antibody" to become dispersed throughout the inside of the vial, particularly around the seal of said vial, during shipment and storage. We always suggest centrifuging these vials to consolidate all of the liquid away from the lid and to the bottom of the vial prior to opening. Please be advised that certain products may require dry ice for shipping and that, if this is the case, an additional dry ice fee may also be required.Precautions
All products in the AAA Biotech catalog are strictly for research-use only, and are absolutely not suitable for use in any sort of medical, therapeutic, prophylactic, in-vivo, or diagnostic capacity. By purchasing a product from AAA Biotech, you are explicitly certifying that said products will be properly tested and used in line with industry standard. AAA Biotech and its authorized distribution partners reserve the right to refuse to fulfill any order if we have any indication that a purchaser may be intending to use a product outside of our accepted criteria.Disclaimer
Though we do strive to guarantee the information represented in this datasheet, AAA Biotech cannot be held responsible for any oversights or imprecisions. AAA Biotech reserves the right to adjust any aspect of this datasheet at any time and without notice. It is the responsibility of the customer to inform AAA Biotech of any product performance issues observed or experienced within 30 days of receipt of said product. To see additional details on this or any of our other policies, please see our Terms & Conditions page.Item has been added to Shopping Cart
If you are ready to order, navigate to Shopping Cart and get ready to checkout.
