Rabbit ZEB2 Polyclonal Antibody | anti-ZEB2 antibody
ZEB2 antibody - N-terminal region
WB (Western Blot)
(WB Suggested Anti-ZEB2 Antibody Titration: 0.2-1 ug/mlELISA Titer: 1:62500Positive Control: Jurkat cell lysate)
WB (Western Blot)
(Host: RabbitTarget Name: ZEB2Sample Type: Jurkat Whole CellLane A: Primary AntibodyLane B: Primary Antibody + Blocking PeptidePrimary Antibody Concentration: 1ug/mlPeptide Concentration: 5ug/mlLysate Quantity: 25ug/lane/LaneGel Concentration: 0.12)
WB (Western Blot)
(Host: RabbitTarget Name: ZEB2Sample Tissue: Human HepG2 Whole CellAntibody Dilution: 1ug/ml)
WB (Western Blot)
(Host: RabbitTarget Name: ZEB2Sample Tissue: Human HCT116 Whole CellAntibody Dilution: 1ug/ml)
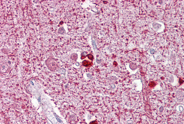
IHC (Immunohistochemistry)
(Immunohistochemistry with Brain, cortex tissue at an antibody concentration of 5ug/ml using anti-ZEB2 antibody)
Target Description: The ZFHX1B gene is a member of the delta-EF1/Zfh1 family of 2-handed zinc finger/homeodomain proteins. ZFHX1B is strongly transcribed at an early stage in the developing peripheral and central nervous systems of both mice and humans, in all neuronal regions of the brains of 25-week human fetuses and adult mice, and in numerous nonneural tissues. The SMADIP1 gene (also known as SIP1) is a member of the delta-EF1 (ZEB1; MIM 189909)/Zfh1 family of 2-handed zinc finger/homeodomain proteins. SMADIP1 interacts with receptor-mediated, activated full-length SMADs (see MIM 605568) (Verschueren et al., 1999 [PubMed 10400677]).[supplied by OMIM]. Publication Note: This RefSeq record includes a subset of the publications that are available for this gene. Please see the Entrez Gene record to access additional publications. PRIMARYREFSEQ_SPAN PRIMARY_IDENTIFIER PRIMARY_SPAN COMP 1-58 AB056507.1 1-58 59-553 AL118674.1 57-551 554-5558 AB056507.1 553-5557 5559-5583 AI858477.1 1-25 c
NCBI and Uniprot Product Information
Customer Reviews
Loading reviews...
Share Your Experience
Similar Products
Product Notes
The ZEB2 zeb2 (Catalog #AAA197641) is an Antibody produced from Rabbit and is intended for research purposes only. The product is available for immediate purchase. The ZEB2 antibody - N-terminal region reacts with Cow, Dog, Guinea Pig, Horse, Human, Mouse, Pig, Rabbit, Rat and may cross-react with other species as described in the data sheet. AAA Biotech's ZEB2 can be used in a range of immunoassay formats including, but not limited to, WB (Western Blot), IHC (Immunohistochemistry). Researchers should empirically determine the suitability of the ZEB2 zeb2 for an application not listed in the data sheet. Researchers commonly develop new applications and it is an integral, important part of the investigative research process. The amino acid sequence is listed below: Synthetic peptide located within the following region: SETDEEDKLH IAEDDGIANP LDQETSPASV PNHESSPHVS QALLPREEEE. It is sometimes possible for the material contained within the vial of "ZEB2, Polyclonal Antibody" to become dispersed throughout the inside of the vial, particularly around the seal of said vial, during shipment and storage. We always suggest centrifuging these vials to consolidate all of the liquid away from the lid and to the bottom of the vial prior to opening. Please be advised that certain products may require dry ice for shipping and that, if this is the case, an additional dry ice fee may also be required.Precautions
All products in the AAA Biotech catalog are strictly for research-use only, and are absolutely not suitable for use in any sort of medical, therapeutic, prophylactic, in-vivo, or diagnostic capacity. By purchasing a product from AAA Biotech, you are explicitly certifying that said products will be properly tested and used in line with industry standard. AAA Biotech and its authorized distribution partners reserve the right to refuse to fulfill any order if we have any indication that a purchaser may be intending to use a product outside of our accepted criteria.Disclaimer
Though we do strive to guarantee the information represented in this datasheet, AAA Biotech cannot be held responsible for any oversights or imprecisions. AAA Biotech reserves the right to adjust any aspect of this datasheet at any time and without notice. It is the responsibility of the customer to inform AAA Biotech of any product performance issues observed or experienced within 30 days of receipt of said product. To see additional details on this or any of our other policies, please see our Terms & Conditions page.Item has been added to Shopping Cart
If you are ready to order, navigate to Shopping Cart and get ready to checkout.
