Rabbit anti-Human ZFP57 Polyclonal Antibody | anti-ZFP57 antibody
ZFP57 antibody - N-terminal region
Gene Names
ZFP57; TNDM1; ZNF698; C6orf40; bA145L22; bA145L22.2
Reactivity
Human
Applications
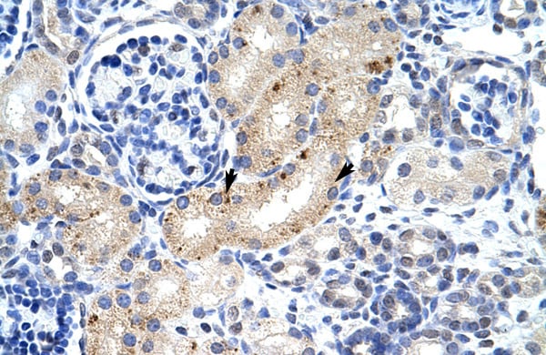
Western Blot, Immunohistochemistry
Purity
Protein A purified
Synonyms
ZFP57, Antibody; ZFP57 antibody - N-terminal region; anti-ZFP57 antibody
Host
Rabbit
Reactivity
Human
Clonality
Polyclonal
Purity/Purification
Protein A purified
Form/Format
Liquid. Purified antibody supplied in 1x PBS buffer with 0.09% (w/v) sodium azide and 2% sucrose.
Sequence
Synthetic peptide located within the following region: MFEQLKPIEPRDCWREARVKKKPVTFEDVAVNFTQEEWDCLDASQRVLYQ
Sequence Length
516
Applicable Applications for anti-ZFP57 antibody
WB (Western Blot), IHC (Immunohistochemistry)
Homology
Human: 100%
Immunogen
The immunogen is a synthetic peptide directed towards the N terminal region of human ZFP57
Preparation and Storage
For short term use, store at 2-8 degree C up to 1 week. For long term storage, store at -20 degree C in small aliquots to prevent freeze-thaw cycles.
Related Product Information for anti-ZFP57 antibody
This is a rabbit polyclonal antibody against ZFP57. It was validated on Western Blot and immunohistochemistry
Target Description: ZFP57 is a protein similar to zinc finger protein 57. It is derived from an annotated genomic sequence (NT_007592) using gene prediction method.
Target Description: ZFP57 is a protein similar to zinc finger protein 57. It is derived from an annotated genomic sequence (NT_007592) using gene prediction method.
Product Categories/Family for anti-ZFP57 antibody
NCBI and Uniprot Product Information
NCBI GI #
NCBI GeneID
NCBI Accession #
NCBI GenBank Nucleotide #
UniProt Accession #
Molecular Weight
59kDa
NCBI Official Synonym Full Names
ZFP57 zinc finger protein
NCBI Official Symbol
ZFP57
NCBI Official Synonym Symbols
TNDM1; ZNF698; C6orf40; bA145L22; bA145L22.2
NCBI Protein Information
zinc finger protein 57 homolog
UniProt Protein Name
Zinc finger protein 57 homolog
UniProt Gene Name
ZFP57
UniProt Synonym Gene Names
C6orf40; ZNF698; Zfp-57
UniProt Entry Name
ZFP57_HUMAN
Customer Reviews
Loading reviews...
Share Your Experience
Similar Products
Product Notes
The ZFP57 zfp57 (Catalog #AAA198559) is an Antibody produced from Rabbit and is intended for research purposes only. The product is available for immediate purchase. The ZFP57 antibody - N-terminal region reacts with Human and may cross-react with other species as described in the data sheet. AAA Biotech's ZFP57 can be used in a range of immunoassay formats including, but not limited to, WB (Western Blot), IHC (Immunohistochemistry). Researchers should empirically determine the suitability of the ZFP57 zfp57 for an application not listed in the data sheet. Researchers commonly develop new applications and it is an integral, important part of the investigative research process. The amino acid sequence is listed below: Synthetic peptide located within the following region: MFEQLKPIEP RDCWREARVK KKPVTFEDVA VNFTQEEWDC LDASQRVLYQ. It is sometimes possible for the material contained within the vial of "ZFP57, Polyclonal Antibody" to become dispersed throughout the inside of the vial, particularly around the seal of said vial, during shipment and storage. We always suggest centrifuging these vials to consolidate all of the liquid away from the lid and to the bottom of the vial prior to opening. Please be advised that certain products may require dry ice for shipping and that, if this is the case, an additional dry ice fee may also be required.Precautions
All products in the AAA Biotech catalog are strictly for research-use only, and are absolutely not suitable for use in any sort of medical, therapeutic, prophylactic, in-vivo, or diagnostic capacity. By purchasing a product from AAA Biotech, you are explicitly certifying that said products will be properly tested and used in line with industry standard. AAA Biotech and its authorized distribution partners reserve the right to refuse to fulfill any order if we have any indication that a purchaser may be intending to use a product outside of our accepted criteria.Disclaimer
Though we do strive to guarantee the information represented in this datasheet, AAA Biotech cannot be held responsible for any oversights or imprecisions. AAA Biotech reserves the right to adjust any aspect of this datasheet at any time and without notice. It is the responsibility of the customer to inform AAA Biotech of any product performance issues observed or experienced within 30 days of receipt of said product. To see additional details on this or any of our other policies, please see our Terms & Conditions page.Item has been added to Shopping Cart
If you are ready to order, navigate to Shopping Cart and get ready to checkout.
