Rabbit anti-Human ZFPM2 Polyclonal Antibody | anti-ZFPM2 antibody
ZFPM2 Antibody
Gene Names
ZFPM2; DIH3; FOG2; SRXY9; ZNF89B; hFOG-2; ZC2HC11B
Reactivity
Human
Applications
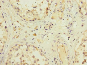
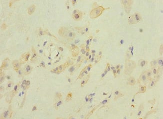
Immunohistochemistry, ELISA
Purity
Antigen Affinity Purified
Synonyms
ZFPM2, Antibody; ZFPM2 Antibody; Zinc finger protein ZFPM2; Friend of GATA protein 2; FOG-2; Friend of GATA 2; hFOG-2; Zinc finger protein 89B; Zinc finger protein multitype 2; ZFPM2; FOG2; ZNF89B; anti-ZFPM2 antibody
Host
Rabbit
Reactivity
Human
Clonality
Polyclonal
Isotype
IgG
Purity/Purification
Antigen Affinity Purified
Form/Format
Liquid
Sequence Length
1151
Applicable Applications for anti-ZFPM2 antibody
IHC (Immunohistochemistry), ELISA
Species
Human
Immunogen
Recombinant human Zinc finger protein ZFPM2 protein (C-170AA)
Conjugate
Non-conjugated
Buffer
PBS with 0.02% sodium azide, 50% glycerol, pH7.3.
Santa Cruz Alternative
Potential replacement for Santa Cruz Biotechnology antibody catalog# sc-9364 / sc-9365 / sc-10755
Preparation and Storage
Shipped at 4 degree C. Upon delivery aliquot and store at -20 degree C or -80 degree C. Avoid repeated freeze.
Related Product Information for anti-ZFPM2 antibody
Transcription regulator that plays a central role in heart morphogenesis and development of coronary vessels from epicardium, by regulating genes that are essential during cardiogenesis. Essential cofactor that acts via the formation of a heterodimer with transcription factors of the GATA family GATA4, GATA5 and GATA6. Such heterodimer can both activate or repress transcriptional activity, depending on the cell and promoter context. Also required in gonadal differentiation, possibly be regulating expression of SRY. Probably acts a corepressor of NR2F2 (By similarity).
NCBI and Uniprot Product Information
NCBI GI #
NCBI GeneID
NCBI Accession #
NCBI GenBank Nucleotide #
Molecular Weight
113,229 Da
NCBI Official Full Name
zinc finger protein ZFPM2
NCBI Official Synonym Full Names
zinc finger protein, FOG family member 2
NCBI Official Symbol
ZFPM2
NCBI Official Synonym Symbols
DIH3; FOG2; SRXY9; ZNF89B; hFOG-2; ZC2HC11B
NCBI Protein Information
zinc finger protein ZFPM2
UniProt Protein Name
Zinc finger protein ZFPM2
UniProt Gene Name
ZFPM2
UniProt Synonym Gene Names
FOG2; ZNF89B; FOG-2; Friend of GATA 2; hFOG-2
UniProt Entry Name
FOG2_HUMAN
Customer Reviews
Loading reviews...
Share Your Experience
Similar Products
Product Notes
The ZFPM2 zfpm2 (Catalog #AAA231130) is an Antibody produced from Rabbit and is intended for research purposes only. The product is available for immediate purchase. The ZFPM2 Antibody reacts with Human and may cross-react with other species as described in the data sheet. AAA Biotech's ZFPM2 can be used in a range of immunoassay formats including, but not limited to, IHC (Immunohistochemistry), ELISA. Researchers should empirically determine the suitability of the ZFPM2 zfpm2 for an application not listed in the data sheet. Researchers commonly develop new applications and it is an integral, important part of the investigative research process. It is sometimes possible for the material contained within the vial of "ZFPM2, Polyclonal Antibody" to become dispersed throughout the inside of the vial, particularly around the seal of said vial, during shipment and storage. We always suggest centrifuging these vials to consolidate all of the liquid away from the lid and to the bottom of the vial prior to opening. Please be advised that certain products may require dry ice for shipping and that, if this is the case, an additional dry ice fee may also be required.Precautions
All products in the AAA Biotech catalog are strictly for research-use only, and are absolutely not suitable for use in any sort of medical, therapeutic, prophylactic, in-vivo, or diagnostic capacity. By purchasing a product from AAA Biotech, you are explicitly certifying that said products will be properly tested and used in line with industry standard. AAA Biotech and its authorized distribution partners reserve the right to refuse to fulfill any order if we have any indication that a purchaser may be intending to use a product outside of our accepted criteria.Disclaimer
Though we do strive to guarantee the information represented in this datasheet, AAA Biotech cannot be held responsible for any oversights or imprecisions. AAA Biotech reserves the right to adjust any aspect of this datasheet at any time and without notice. It is the responsibility of the customer to inform AAA Biotech of any product performance issues observed or experienced within 30 days of receipt of said product. To see additional details on this or any of our other policies, please see our Terms & Conditions page.Item has been added to Shopping Cart
If you are ready to order, navigate to Shopping Cart and get ready to checkout.
