Rabbit ZNF143 Polyclonal Antibody | anti-ZNF143 antibody
ZNF143 Antibody
Gene Names
ZNF143; SBF; STAF; pHZ-1
Reactivity
Human, Mouse, RatPredicted: Pig, Bovine, Horse, Sheep, Rabbit, Dog
Applications
Western Blot
Purity
The antiserum was purified by peptide affinity chromatography using SulfoLink Coupling Resin (Thermo Fisher Scientific).
Synonyms
ZNF143, Antibody; ZNF143 Antibody; MGC66276; mStaf; pHZ 1; SBF; Selenocysteine tRNA gene transcription activating factor; SPH binding factor; STAF; Zfp143; zgc:66276; Zinc finger protein 143; anti-ZNF143 antibody
Host
Rabbit
Reactivity
Human, Mouse, Rat
Predicted: Pig, Bovine, Horse, Sheep, Rabbit, Dog
Predicted: Pig, Bovine, Horse, Sheep, Rabbit, Dog
Clonality
Polyclonal
Isotype
IgG
Specificity
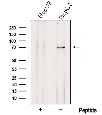
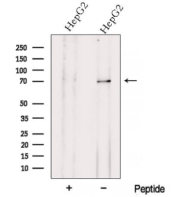
ZNF143 Antibody detects endogenous levels of ZNF143.
Purity/Purification
The antiserum was purified by peptide affinity chromatography using SulfoLink Coupling Resin (Thermo Fisher Scientific).
Form/Format
Liquid; Phosphate buffered saline, pH 7.4, 150mM NaCl, 0.02% sodium azide and 50% glycerol.
Concentration
1mg/ml (varies by lot)
Sequence Length
638
Applicable Applications for anti-ZNF143 antibody
WB (Western Blot)
Immunogen
A synthesized peptide derived from human ZNF143.
Tissue Specificity
Expressed in all tissues tested, with the strongest expression in ovary.
Fragment
Fab Fragment
Conjugate
Unconjugated
Subcellular Location
Nucleus
Preparation and Storage
Store at -20 degree C. Stable for 12 months from date of receipt.
Related Product Information for anti-ZNF143 antibody
Description: Transcriptional activator. Activates the gene for selenocysteine tRNA (tRNAsec). Binds to the SPH motif of small nuclear RNA (snRNA) gene promoters. Participates in efficient U6 RNA polymerase III transcription via its interaction with CHD8.
Subunit Structure: Interacts with CHD8.
Similarity: Belongs to the GLI C2H2-type zinc-finger protein family.
Subunit Structure: Interacts with CHD8.
Similarity: Belongs to the GLI C2H2-type zinc-finger protein family.
NCBI and Uniprot Product Information
NCBI GI #
NCBI GeneID
NCBI Accession #
NCBI GenBank Nucleotide #
UniProt Accession #
Molecular Weight
Observed: 68 kDa
Predicted: 69 kDa
Predicted: 69 kDa
NCBI Official Full Name
zinc finger protein 143 isoform 1
NCBI Official Synonym Full Names
zinc finger protein 143
NCBI Official Symbol
ZNF143
NCBI Official Synonym Symbols
SBF; STAF; pHZ-1
NCBI Protein Information
zinc finger protein 143
UniProt Protein Name
Zinc finger protein 143
UniProt Gene Name
ZNF143
UniProt Synonym Gene Names
SBF; STAF; hStaf
UniProt Entry Name
ZN143_HUMAN
Customer Reviews
Loading reviews...
Share Your Experience
Similar Products
Product Notes
The ZNF143 znf143 (Catalog #AAA328759) is an Antibody produced from Rabbit and is intended for research purposes only. The product is available for immediate purchase. The ZNF143 Antibody reacts with Human, Mouse, Rat Predicted: Pig, Bovine, Horse, Sheep, Rabbit, Dog and may cross-react with other species as described in the data sheet. AAA Biotech's ZNF143 can be used in a range of immunoassay formats including, but not limited to, WB (Western Blot). Researchers should empirically determine the suitability of the ZNF143 znf143 for an application not listed in the data sheet. Researchers commonly develop new applications and it is an integral, important part of the investigative research process. It is sometimes possible for the material contained within the vial of "ZNF143, Polyclonal Antibody" to become dispersed throughout the inside of the vial, particularly around the seal of said vial, during shipment and storage. We always suggest centrifuging these vials to consolidate all of the liquid away from the lid and to the bottom of the vial prior to opening. Please be advised that certain products may require dry ice for shipping and that, if this is the case, an additional dry ice fee may also be required.Precautions
All products in the AAA Biotech catalog are strictly for research-use only, and are absolutely not suitable for use in any sort of medical, therapeutic, prophylactic, in-vivo, or diagnostic capacity. By purchasing a product from AAA Biotech, you are explicitly certifying that said products will be properly tested and used in line with industry standard. AAA Biotech and its authorized distribution partners reserve the right to refuse to fulfill any order if we have any indication that a purchaser may be intending to use a product outside of our accepted criteria.Disclaimer
Though we do strive to guarantee the information represented in this datasheet, AAA Biotech cannot be held responsible for any oversights or imprecisions. AAA Biotech reserves the right to adjust any aspect of this datasheet at any time and without notice. It is the responsibility of the customer to inform AAA Biotech of any product performance issues observed or experienced within 30 days of receipt of said product. To see additional details on this or any of our other policies, please see our Terms & Conditions page.Item has been added to Shopping Cart
If you are ready to order, navigate to Shopping Cart and get ready to checkout.
