Rabbit anti-Human ZNF397 Polyclonal Antibody | anti-ZNF397 antibody
ZNF397 antibody - C-terminal region
Gene Names
ZNF397; ZNF47; ZSCAN15
Reactivity
Human
Applications
Western Blot, Immunohistochemistry
Purity
Protein A purified
Synonyms
ZNF397, Antibody; ZNF397 antibody - C-terminal region; anti-ZNF397 antibody
Host
Rabbit
Reactivity
Human
Clonality
Polyclonal
Purity/Purification
Protein A purified
Form/Format
Liquid. Purified antibody supplied in 1x PBS buffer with 0.09% (w/v) sodium azide and 2% sucrose.
Sequence
Synthetic peptide located within the following region: SAIRWECVSPGSFPGDIIAAEATHSTISCFAINTLPATILPSKNVNRKYF
Sequence Length
275
Applicable Applications for anti-ZNF397 antibody
WB (Western Blot), IHC (Immunohistochemistry)
Homology
Human: 100%
Immunogen
The immunogen is a synthetic peptide directed towards the C terminal region of human ZNF397
Preparation and Storage
For short term use, store at 2-8 degree C up to 1 week. For long term storage, store at -20 degree C in small aliquots to prevent freeze-thaw cycles.
Related Product Information for anti-ZNF397 antibody
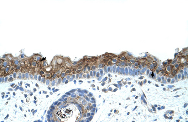
This is a rabbit polyclonal antibody against ZNF397. It was validated on Western Blot and immunohistochemistry
Target Description: ZNF397 belongs to the krueppel C2H2-type zinc-finger protein family. This gene product, isoform 3, acts as a DNA-dependent transcriptional repressor.
Target Description: ZNF397 belongs to the krueppel C2H2-type zinc-finger protein family. This gene product, isoform 3, acts as a DNA-dependent transcriptional repressor.
Product Categories/Family for anti-ZNF397 antibody
NCBI and Uniprot Product Information
NCBI GI #
NCBI GeneID
NCBI Accession #
NCBI GenBank Nucleotide #
UniProt Accession #
Molecular Weight
31kDa
NCBI Official Full Name
zinc finger protein 397 isoform 2
NCBI Official Synonym Full Names
zinc finger protein 397
NCBI Official Symbol
ZNF397
NCBI Official Synonym Symbols
ZNF47; ZSCAN15
NCBI Protein Information
zinc finger protein 397
UniProt Protein Name
Zinc finger protein 397
UniProt Gene Name
ZNF397
UniProt Synonym Gene Names
ZNF47; ZSCAN15
UniProt Entry Name
ZN397_HUMAN
Customer Reviews
Loading reviews...
Share Your Experience
Similar Products
Product Notes
The ZNF397 znf397 (Catalog #AAA198519) is an Antibody produced from Rabbit and is intended for research purposes only. The product is available for immediate purchase. The ZNF397 antibody - C-terminal region reacts with Human and may cross-react with other species as described in the data sheet. AAA Biotech's ZNF397 can be used in a range of immunoassay formats including, but not limited to, WB (Western Blot), IHC (Immunohistochemistry). Researchers should empirically determine the suitability of the ZNF397 znf397 for an application not listed in the data sheet. Researchers commonly develop new applications and it is an integral, important part of the investigative research process. The amino acid sequence is listed below: Synthetic peptide located within the following region: SAIRWECVSP GSFPGDIIAA EATHSTISCF AINTLPATIL PSKNVNRKYF. It is sometimes possible for the material contained within the vial of "ZNF397, Polyclonal Antibody" to become dispersed throughout the inside of the vial, particularly around the seal of said vial, during shipment and storage. We always suggest centrifuging these vials to consolidate all of the liquid away from the lid and to the bottom of the vial prior to opening. Please be advised that certain products may require dry ice for shipping and that, if this is the case, an additional dry ice fee may also be required.Precautions
All products in the AAA Biotech catalog are strictly for research-use only, and are absolutely not suitable for use in any sort of medical, therapeutic, prophylactic, in-vivo, or diagnostic capacity. By purchasing a product from AAA Biotech, you are explicitly certifying that said products will be properly tested and used in line with industry standard. AAA Biotech and its authorized distribution partners reserve the right to refuse to fulfill any order if we have any indication that a purchaser may be intending to use a product outside of our accepted criteria.Disclaimer
Though we do strive to guarantee the information represented in this datasheet, AAA Biotech cannot be held responsible for any oversights or imprecisions. AAA Biotech reserves the right to adjust any aspect of this datasheet at any time and without notice. It is the responsibility of the customer to inform AAA Biotech of any product performance issues observed or experienced within 30 days of receipt of said product. To see additional details on this or any of our other policies, please see our Terms & Conditions page.Item has been added to Shopping Cart
If you are ready to order, navigate to Shopping Cart and get ready to checkout.
