Rabbit anti-Human ZNF43 Polyclonal Antibody | anti-ZNF43 antibody
ZNF43 Antibody
Gene Names
ZNF43; HTF6; KOX27; ZNF39L1
Reactivity
Human
Applications
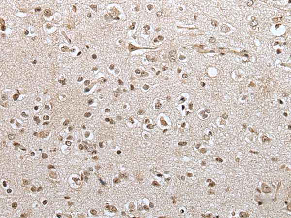
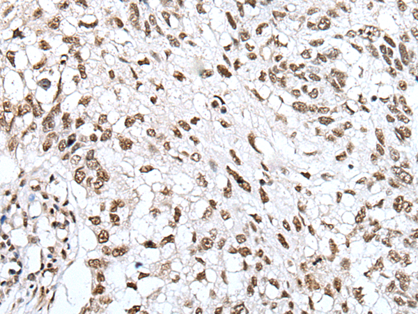
Immunohistochemistry
Purity
Antigen affinity purification
Synonyms
ZNF43, Antibody; ZNF43 Antibody; HTF6; KOX27; ZNF39L1; anti-ZNF43 antibody
Host
Rabbit
Reactivity
Human
Clonality
Polyclonal
Purity/Purification
Antigen affinity purification
Form/Format
pH7.4 PBS, 0.05% NaN3, 40% Glycerol
Concentration
0.4mg/mL (varies by lot)
Applicable Applications for anti-ZNF43 antibody
IHC (Immunohistochemistry)
Immunogen
Fusion protein of human ZNF43
Conjugation
Unconjugated
Preparation and Storage
Store at -20 degree C for 1 year.
Related Product Information for anti-ZNF43 antibody
This gene belongs to the C2H2-type zinc finger gene family. The zinc finger proteins are involved in gene regulation and development, and are quite conserved throughout evolution. Like this gene product, a third of the zinc finger proteins containing C2H2 fingers also contain the KRAB domain, which has been found to be involved in protein-protein interactions.
Product Categories/Family for anti-ZNF43 antibody
NCBI and Uniprot Product Information
NCBI GI #
NCBI GeneID
Molecular Weight
93,478 Da
NCBI Official Full Name
Homo sapiens zinc finger protein 43, mRNA
NCBI Official Synonym Full Names
zinc finger protein 43
NCBI Official Symbol
ZNF43
NCBI Official Synonym Symbols
HTF6; KOX27; ZNF39L1
NCBI Protein Information
zinc finger protein 43; zinc finger protein 39-like 1 (KOX 27); zinc finger protein HTF6; zinc finger protein KOX27
UniProt Protein Name
Protein ATP1B4
UniProt Gene Name
ATP1B4
Customer Reviews
Loading reviews...
Share Your Experience
Similar Products
Product Notes
The ZNF43 atp1b4 (Catalog #AAA311735) is an Antibody produced from Rabbit and is intended for research purposes only. The product is available for immediate purchase. The ZNF43 Antibody reacts with Human and may cross-react with other species as described in the data sheet. AAA Biotech's ZNF43 can be used in a range of immunoassay formats including, but not limited to, IHC (Immunohistochemistry). Researchers should empirically determine the suitability of the ZNF43 atp1b4 for an application not listed in the data sheet. Researchers commonly develop new applications and it is an integral, important part of the investigative research process. It is sometimes possible for the material contained within the vial of "ZNF43, Polyclonal Antibody" to become dispersed throughout the inside of the vial, particularly around the seal of said vial, during shipment and storage. We always suggest centrifuging these vials to consolidate all of the liquid away from the lid and to the bottom of the vial prior to opening. Please be advised that certain products may require dry ice for shipping and that, if this is the case, an additional dry ice fee may also be required.Precautions
All products in the AAA Biotech catalog are strictly for research-use only, and are absolutely not suitable for use in any sort of medical, therapeutic, prophylactic, in-vivo, or diagnostic capacity. By purchasing a product from AAA Biotech, you are explicitly certifying that said products will be properly tested and used in line with industry standard. AAA Biotech and its authorized distribution partners reserve the right to refuse to fulfill any order if we have any indication that a purchaser may be intending to use a product outside of our accepted criteria.Disclaimer
Though we do strive to guarantee the information represented in this datasheet, AAA Biotech cannot be held responsible for any oversights or imprecisions. AAA Biotech reserves the right to adjust any aspect of this datasheet at any time and without notice. It is the responsibility of the customer to inform AAA Biotech of any product performance issues observed or experienced within 30 days of receipt of said product. To see additional details on this or any of our other policies, please see our Terms & Conditions page.Item has been added to Shopping Cart
If you are ready to order, navigate to Shopping Cart and get ready to checkout.
