Host
Rabbit
Reactivity
Human
Clonality
Polyclonal
Specificity
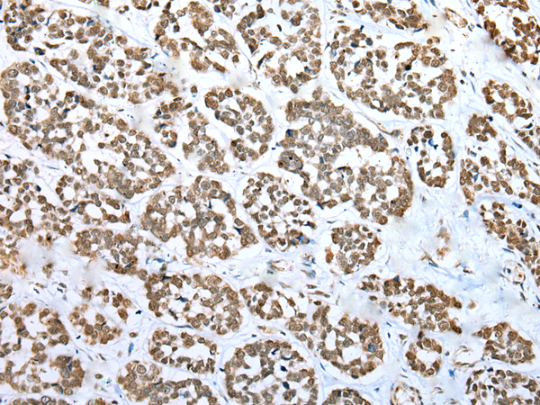
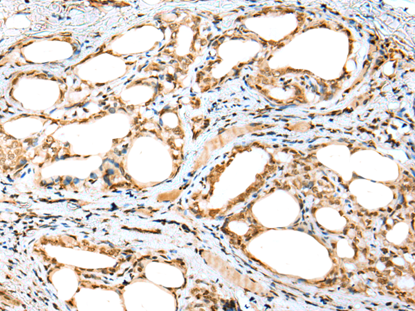
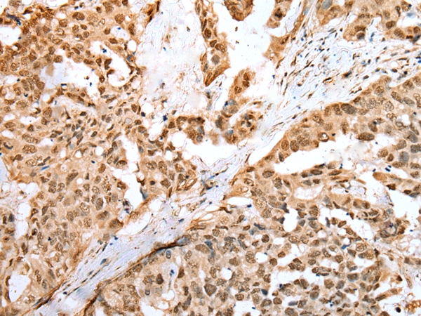
The antibody detects endogenous levels of total ZNF486 protein.
Purity/Purification
Antigen Affinity Purification
Form/Format
Rabbit IgG in pH7.4 PBS, 0.05% NaN3, 40% Glycerol.
Concentration
1.5 mg/ml (varies by lot)
Sequence Length
463
Applicable Applications for anti-ZNF486 antibody
IHC (Immunohistochemistry)
Immunogen
Fusion protein of human ZNF486
Immunogen Type
Protein
Preparation and Storage
Store at -20 degree C
Related Product Information for anti-ZNF486 antibody
Zinc-finger proteins contain DNA-binding domains and have a wide variety of functions, most of which encompass some form of transcriptional activation or repression. The majority of zinc-finger proteins contain a Kr¨¹ppel-type DNA binding domain and a KRAB domain, which is thought to interact with KAP1, thereby recruiting histone modifying proteins. As a member of the krueppel C2H2-type zinc-finger protein family, ZNF486 (Zinc finger protein 486), also known as KRAB domain only protein 2, is a 216 amino acid nuclear protein that contains one KRAB domain and two C2H2-type zinc fingers. The gene encoding ZNF486 maps to human chromosome 19, which consists of over 63 million bases, houses approximately 1,400 genes and is recognized for having the greatest gene density of the human chromosomes.May be involved in transcriptional regulation.
Product Categories/Family for anti-ZNF486 antibody
NCBI and Uniprot Product Information
NCBI GI #
NCBI GeneID
NCBI Accession #
NCBI GenBank Nucleotide #
Molecular Weight
53,631 Da
NCBI Official Full Name
zinc finger protein 486
NCBI Official Synonym Full Names
zinc finger protein 486
NCBI Official Symbol
ZNF486
NCBI Official Synonym Symbols
KRBO2
NCBI Protein Information
zinc finger protein 486
UniProt Protein Name
Zinc finger protein 486
UniProt Gene Name
ZNF486
UniProt Synonym Gene Names
KRBO2
UniProt Entry Name
ZN486_HUMAN
Customer Reviews
Loading reviews...
Share Your Experience
Similar Products
Product Notes
The ZNF486 znf486 (Catalog #AAA308488) is an Antibody produced from Rabbit and is intended for research purposes only. The product is available for immediate purchase. The ZNF486 Antibody reacts with Human and may cross-react with other species as described in the data sheet. AAA Biotech's ZNF486 can be used in a range of immunoassay formats including, but not limited to, IHC (Immunohistochemistry). Researchers should empirically determine the suitability of the ZNF486 znf486 for an application not listed in the data sheet. Researchers commonly develop new applications and it is an integral, important part of the investigative research process. It is sometimes possible for the material contained within the vial of "ZNF486, Polyclonal Antibody" to become dispersed throughout the inside of the vial, particularly around the seal of said vial, during shipment and storage. We always suggest centrifuging these vials to consolidate all of the liquid away from the lid and to the bottom of the vial prior to opening. Please be advised that certain products may require dry ice for shipping and that, if this is the case, an additional dry ice fee may also be required.Precautions
All products in the AAA Biotech catalog are strictly for research-use only, and are absolutely not suitable for use in any sort of medical, therapeutic, prophylactic, in-vivo, or diagnostic capacity. By purchasing a product from AAA Biotech, you are explicitly certifying that said products will be properly tested and used in line with industry standard. AAA Biotech and its authorized distribution partners reserve the right to refuse to fulfill any order if we have any indication that a purchaser may be intending to use a product outside of our accepted criteria.Disclaimer
Though we do strive to guarantee the information represented in this datasheet, AAA Biotech cannot be held responsible for any oversights or imprecisions. AAA Biotech reserves the right to adjust any aspect of this datasheet at any time and without notice. It is the responsibility of the customer to inform AAA Biotech of any product performance issues observed or experienced within 30 days of receipt of said product. To see additional details on this or any of our other policies, please see our Terms & Conditions page.Item has been added to Shopping Cart
If you are ready to order, navigate to Shopping Cart and get ready to checkout.
