anti-Human ZP2 Polyclonal Antibody | anti-ZP2 antibody
Anti-ZP2 Antibody
IHC (Immunohistochemisry)
(Figure 3. IHC analysis of ZP2 using anti-ZP2 antibody (AAA46499).ZP2 was detected in frozen section of human placenta tissue. Heat mediated antigen retrieval was performed in citrate buffer (pH6, epitope retrieval solution) for 20 mins. The tissue section was blocked with 10% goat serum. The tissue section was then incubated with 1ug/ml rabbit anti-ZP2 Antibody (AAA46499) overnight at 4 degree C. Biotinylated goat anti-rabbit IgG was used as secondary antibody and incubated for 30 minutes at 37 degree C. The tissue section was developed using Strepavidin-Biotin-Complex (SABC) with DAB as the chromogen.)
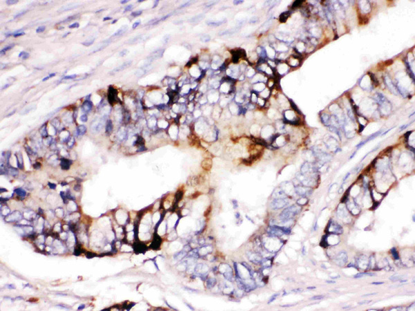
IHC (Immunohiostchemistry)
(ZP2 was detected in paraffin-embedded sections of human intestinal cancer tissues using rabbit anti- ZP2 Antigen Affinity purified polyclonal antibody at 1ug/mL. The immunohistochemical section was developed using SABC method.)
WB (Western Blot)
(Western blot analysis of ZP2 expression in HELA whole cell lysates (lane 1) and HEPG2 whole cell lysates (lane 2). ZP2 at 82KD was detected using rabbit anti- ZP2 Antigen Affinity purified polyclonal antibody at0.5 ug/mL. The blot was developed using chemiluminescence (ECL) method.)
Background: Zona pellucida sperm-binding protein 2 is a protein that in humans is encoded by the ZP2 gene. The sperm-binding domain on the ZP2 protein is necessary in both humans and mice for oocyte-sperm recognition and penetration of the zona pellucida. It is also responsible for the primary block to polyspermy in mammals. The oocyte has cortical granules peripherally located under the cortex that contain a proteolytic protein called ovastacin. After the sperm binds to ZP2, the cortical granules are exocytosed releasing ovastacin into the perivitelline space. Ovastacin cleaves ZP2 at the N terminus, preventing more sperm from binding and penetrating the oocyte, thus hardening the zona pellucida. Ovastacin is only found in oocytes, and is part of the astacin family of metalloendoproteases. Female mice engineered without ovastacin showed that ZP2 was not cleaved after fertilization.
NCBI and Uniprot Product Information
Customer Reviews
Loading reviews...
Share Your Experience
Similar Products
Product Notes
The ZP2 zp2 (Catalog #AAA46499) is an Antibody and is intended for research purposes only. The product is available for immediate purchase. The Anti-ZP2 Antibody reacts with Human and may cross-react with other species as described in the data sheet. AAA Biotech's ZP2 can be used in a range of immunoassay formats including, but not limited to, IHC (Immunohistochemistry), WB (Western Blot). Researchers should empirically determine the suitability of the ZP2 zp2 for an application not listed in the data sheet. Researchers commonly develop new applications and it is an integral, important part of the investigative research process. It is sometimes possible for the material contained within the vial of "ZP2, Polyclonal Antibody" to become dispersed throughout the inside of the vial, particularly around the seal of said vial, during shipment and storage. We always suggest centrifuging these vials to consolidate all of the liquid away from the lid and to the bottom of the vial prior to opening. Please be advised that certain products may require dry ice for shipping and that, if this is the case, an additional dry ice fee may also be required.Precautions
All products in the AAA Biotech catalog are strictly for research-use only, and are absolutely not suitable for use in any sort of medical, therapeutic, prophylactic, in-vivo, or diagnostic capacity. By purchasing a product from AAA Biotech, you are explicitly certifying that said products will be properly tested and used in line with industry standard. AAA Biotech and its authorized distribution partners reserve the right to refuse to fulfill any order if we have any indication that a purchaser may be intending to use a product outside of our accepted criteria.Disclaimer
Though we do strive to guarantee the information represented in this datasheet, AAA Biotech cannot be held responsible for any oversights or imprecisions. AAA Biotech reserves the right to adjust any aspect of this datasheet at any time and without notice. It is the responsibility of the customer to inform AAA Biotech of any product performance issues observed or experienced within 30 days of receipt of said product. To see additional details on this or any of our other policies, please see our Terms & Conditions page.Item has been added to Shopping Cart
If you are ready to order, navigate to Shopping Cart and get ready to checkout.
