Reactivity
Mouse
Assay Type
Sandwich
Preparation and Storage
Store all reagents at 2-8 degree C.
Related Product Information for PRSS elisa kit
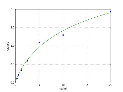
Intended Uses: This PRSS ELISA kit is intended Laboratory for research use only.The Stop Solution changes the color from blue to yellow and the intensity of the color is measured at 450 nm using a spectrophotometer. In order to measure the concentration of PRSS in the sample, this PRSS ELISA Kit includes a set of calibration standards. The calibration standards are assayed at the same time as the samples and allow the operator to produce a standard curve of Optical Density versus PRSS concentration. The concentration of PRSS in the samples is then determined by comparing the O.D. of the samples to the standard curve.
Principle of the Assay: This PRSS enzyme linked immunosorbent assay applies a technique called a quantitative sandwich immunoassay. The microtiter plate provided in this kit has been pre-coated with a monoclonal antibody specific for PRSS. Standards or samples are then added to the microtiter plate wells and PRSS if present, will bind to the antibody pre-coated wells. In order to quantitatively determine the amount of PRSS present in the sample, a standardized preparation of horseradish peroxidase (HRP)-conjugated polyclonal antibody, specific for PRSS are added to each well to "sandwich" the PRSS immobilized on the plate. The microtiter plate undergoes incubation, and then the wells are thoroughly washed to remove all unbound components. Next, A and B substrate solution is added to each well. The enzyme (HRP) and substrate are allowed to react over a short incubation period.Only those wells that contain PRSS and enzyme-conjugated antibody will exhibit a change in colour. The enzyme-substrate reaction is terminated by the addition of a sulphuric acid solution and the colour change is measured spectrophotometrically at a wavelength of 450 nm.
Principle of the Assay: This PRSS enzyme linked immunosorbent assay applies a technique called a quantitative sandwich immunoassay. The microtiter plate provided in this kit has been pre-coated with a monoclonal antibody specific for PRSS. Standards or samples are then added to the microtiter plate wells and PRSS if present, will bind to the antibody pre-coated wells. In order to quantitatively determine the amount of PRSS present in the sample, a standardized preparation of horseradish peroxidase (HRP)-conjugated polyclonal antibody, specific for PRSS are added to each well to "sandwich" the PRSS immobilized on the plate. The microtiter plate undergoes incubation, and then the wells are thoroughly washed to remove all unbound components. Next, A and B substrate solution is added to each well. The enzyme (HRP) and substrate are allowed to react over a short incubation period.Only those wells that contain PRSS and enzyme-conjugated antibody will exhibit a change in colour. The enzyme-substrate reaction is terminated by the addition of a sulphuric acid solution and the colour change is measured spectrophotometrically at a wavelength of 450 nm.
NCBI and Uniprot Product Information
NCBI GI #
NCBI Accession #
NCBI GenBank Nucleotide #
Molecular Weight
66,022 Da
NCBI Official Full Name
serine protease
UniProt Protein Name
Protease 4
UniProt Entry Name
J2LC76_9SPHN
Customer Reviews
Loading reviews...
Share Your Experience
Similar Products
Product Notes
The Mouse PRSS (Catalog #AAA85777) is an ELISA Kit and is intended for research purposes only. The product is available for immediate purchase. The AAA85777 ELISA Kit recognizes Mouse PRSS. It is sometimes possible for the material contained within the vial of "Serine protease, ELISA Kit" to become dispersed throughout the inside of the vial, particularly around the seal of said vial, during shipment and storage. We always suggest centrifuging these vials to consolidate all of the liquid away from the lid and to the bottom of the vial prior to opening. Please be advised that certain products may require dry ice for shipping and that, if this is the case, an additional dry ice fee may also be required.Precautions
All products in the AAA Biotech catalog are strictly for research-use only, and are absolutely not suitable for use in any sort of medical, therapeutic, prophylactic, in-vivo, or diagnostic capacity. By purchasing a product from AAA Biotech, you are explicitly certifying that said products will be properly tested and used in line with industry standard. AAA Biotech and its authorized distribution partners reserve the right to refuse to fulfill any order if we have any indication that a purchaser may be intending to use a product outside of our accepted criteria.Disclaimer
Though we do strive to guarantee the information represented in this datasheet, AAA Biotech cannot be held responsible for any oversights or imprecisions. AAA Biotech reserves the right to adjust any aspect of this datasheet at any time and without notice. It is the responsibility of the customer to inform AAA Biotech of any product performance issues observed or experienced within 30 days of receipt of said product. To see additional details on this or any of our other policies, please see our Terms & Conditions page.Item has been added to Shopping Cart
If you are ready to order, navigate to Shopping Cart and get ready to checkout.
