Ovotransferrin Native Protein | LTF native protein
Chicken Ovotransferrin
Gene Names
LTF; TF; TFEW; conalbumin
Applications
Western Blot, ELISA
Purity
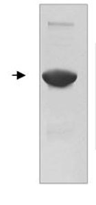
Greater or equal to 85% purity as determined by SDS-PAGE.
Synonyms
Ovotransferrin; N/A; Chicken Ovotransferrin; Allergen Gal d III; Conalbumin; Serum transferrin; LTF native protein
Host
Purified from chicken egg white
Purity/Purification
Greater or equal to 85% purity as determined by SDS-PAGE.
Form/Format
Liquid
Applicable Applications for LTF native protein
WB (Western Blot), ELISA
Peptide
Full length native Chicken Ovotransferrin
Storage Buffer
20mM Tris, pH8.0,50%glycerol
Preparation and Storage
Aliquot and store at -20 degree C or -80 degree C. Avoid repeated freeze / thaw cycles.
Related Product Information for LTF native protein
Transferrins are iron binding transport proteins which can bind two Fe3+ ions in association with the binding of an anion, usually bicarbonate. It is responsible for the transport of iron from sites of absorption and heme degradation to those of storage and utilization. Serum transferrin may also have a further role in stimulating cell proliferation. Transferrin has a bacteriostatic function. Its concentration in avian egg is the highest concentration of any transferrin in vivo. Transferrin in liver is regulated by the iron levels but not in the oviduct. These two forms of transferrin (liver and oviduct) differ only by their carbohydrate composition.
NCBI and Uniprot Product Information
NCBI GI #
NCBI GeneID
NCBI Accession #
NCBI GenBank Nucleotide #
UniProt Accession #
NCBI Official Full Name
ovotransferrin
NCBI Official Synonym Full Names
lactotransferrin
NCBI Official Symbol
LTF
NCBI Official Synonym Symbols
TF; TFEW; conalbumin
NCBI Protein Information
ovotransferrin; serum transferrin; allergen Gal d III; ovotransferrin BB type; ovotransferrin BC type; ovotransferrin CC type
UniProt Protein Name
Ovotransferrin
UniProt Entry Name
TRFE_CHICK
Customer Reviews
Loading reviews...
Share Your Experience
Similar Products
Product Notes
The LTF (Catalog #AAA15919) is a Native Protein produced from Purified from chicken egg white and is intended for research purposes only. The product is available for immediate purchase. AAA Biotech's Ovotransferrin can be used in a range of immunoassay formats including, but not limited to, WB (Western Blot), ELISA. Researchers should empirically determine the suitability of the LTF for an application not listed in the data sheet. Researchers commonly develop new applications and it is an integral, important part of the investigative research process. It is sometimes possible for the material contained within the vial of "Ovotransferrin, Native Protein" to become dispersed throughout the inside of the vial, particularly around the seal of said vial, during shipment and storage. We always suggest centrifuging these vials to consolidate all of the liquid away from the lid and to the bottom of the vial prior to opening. Please be advised that certain products may require dry ice for shipping and that, if this is the case, an additional dry ice fee may also be required.Precautions
All products in the AAA Biotech catalog are strictly for research-use only, and are absolutely not suitable for use in any sort of medical, therapeutic, prophylactic, in-vivo, or diagnostic capacity. By purchasing a product from AAA Biotech, you are explicitly certifying that said products will be properly tested and used in line with industry standard. AAA Biotech and its authorized distribution partners reserve the right to refuse to fulfill any order if we have any indication that a purchaser may be intending to use a product outside of our accepted criteria.Disclaimer
Though we do strive to guarantee the information represented in this datasheet, AAA Biotech cannot be held responsible for any oversights or imprecisions. AAA Biotech reserves the right to adjust any aspect of this datasheet at any time and without notice. It is the responsibility of the customer to inform AAA Biotech of any product performance issues observed or experienced within 30 days of receipt of said product. To see additional details on this or any of our other policies, please see our Terms & Conditions page.Item has been added to Shopping Cart
If you are ready to order, navigate to Shopping Cart and get ready to checkout.
