Host
Rabbit
Form/Format
Affinity Purified - Liquid
Sequence Length
1464
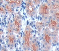
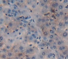
Applicable Applications for anti-COL1A1 antibody
IHC (Immunohistochemistry)
Immunogen
A synthetic peptide made to an internal portion of the human Collagen I protein (between residues 150-200) [UniProt P02452]
Species Reactivity
Human, Mouse
Preparation and Storage
Store frozen. Aliquot as undiluted antisera and immediately place at -20°C. Antisera may have become trapped in top of vial during shipping. Centrifugation of vial is recommended before opening. Stable for at least 6 months at -20°C. Repeated freeze/thaw cycles compromise the integrity of the antiserum.
Product Categories/Family for anti-COL1A1 antibody
NCBI and Uniprot Product Information
NCBI GI #
NCBI GeneID
NCBI Accession #
NCBI GenBank Nucleotide #
Molecular Weight
138,941 Da
NCBI Official Full Name
collagen alpha-1(I) chain preproprotein
NCBI Official Synonym Full Names
collagen type I alpha 1
NCBI Official Symbol
COL1A1
NCBI Official Synonym Symbols
OI1; OI2; OI3; OI4; EDSC
NCBI Protein Information
collagen alpha-1(I) chain
UniProt Protein Name
Collagen alpha-1(I) chain
UniProt Gene Name
COL1A1
UniProt Entry Name
CO1A1_HUMAN
Customer Reviews
Loading reviews...
Share Your Experience
Similar Products
Product Notes
The COL1A1 col1a1 (Catalog #AAA76445) is an Antibody produced from Rabbit and is intended for research purposes only. The product is available for immediate purchase. AAA Biotech's Collagen I can be used in a range of immunoassay formats including, but not limited to, IHC (Immunohistochemistry). Researchers should empirically determine the suitability of the COL1A1 col1a1 for an application not listed in the data sheet. Researchers commonly develop new applications and it is an integral, important part of the investigative research process. It is sometimes possible for the material contained within the vial of "Collagen I, Antibody" to become dispersed throughout the inside of the vial, particularly around the seal of said vial, during shipment and storage. We always suggest centrifuging these vials to consolidate all of the liquid away from the lid and to the bottom of the vial prior to opening. Please be advised that certain products may require dry ice for shipping and that, if this is the case, an additional dry ice fee may also be required.Precautions
All products in the AAA Biotech catalog are strictly for research-use only, and are absolutely not suitable for use in any sort of medical, therapeutic, prophylactic, in-vivo, or diagnostic capacity. By purchasing a product from AAA Biotech, you are explicitly certifying that said products will be properly tested and used in line with industry standard. AAA Biotech and its authorized distribution partners reserve the right to refuse to fulfill any order if we have any indication that a purchaser may be intending to use a product outside of our accepted criteria.Disclaimer
Though we do strive to guarantee the information represented in this datasheet, AAA Biotech cannot be held responsible for any oversights or imprecisions. AAA Biotech reserves the right to adjust any aspect of this datasheet at any time and without notice. It is the responsibility of the customer to inform AAA Biotech of any product performance issues observed or experienced within 30 days of receipt of said product. To see additional details on this or any of our other policies, please see our Terms & Conditions page.Item has been added to Shopping Cart
If you are ready to order, navigate to Shopping Cart and get ready to checkout.
