Rabbit anti-Human, Mouse NLRP3 Antibody | anti-NLRP3 antibody
NLRP3 Polyclonal Antibody
Gene Names
NLRP3; AII; AVP; FCU; MWS; FCAS; KEFH; CIAS1; FCAS1; NALP3; C1orf7; CLR1.1; DFNA34; PYPAF1; AGTAVPRL
Reactivity
Human, Mouse
Applications
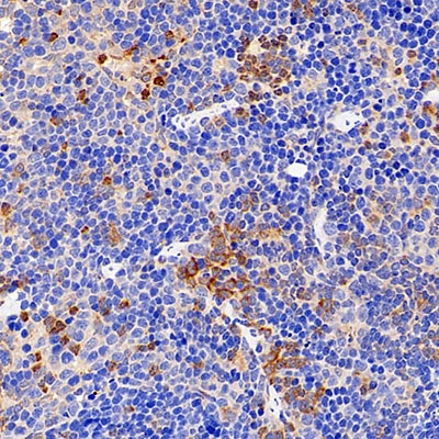
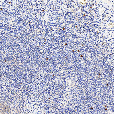
Immunohistochemistry
Purity
Affinity purification
Synonyms
NLRP3; N/A; NLRP3 Polyclonal Antibody; NLRP3, AGTAVPRL, AII, AVP, C1orf7, CIAS1, CLR1.1, FCAS, FCAS1, FCU, MWS, NALP3, PYPAF1, NLR family,NLR family pyrin domain containing 3 ; anti-NLRP3 antibody
Host
Rabbit
Reactivity
Human, Mouse
Isotype
IgG
Purity/Purification
Affinity purification
Form/Format
PBS with 0.02% sodium azide, 1% BSA and 50% glycerol, pH7.4
Applicable Applications for anti-NLRP3 antibody
IHC (Immunohistochemistry)
Immunogen
KLH conjugated Synthetic peptide corresponding to Mouse NLRP3
Note
Centrifuge before opening to ensure complete recovery of vial contents.
Preparation and Storage
Store at -20°C. Avoid freeze / thaw cycles.
Related Product Information for anti-NLRP3 antibody
This gene encodes a pyrin-like protein containing a pyrin domain, a nucleotide-binding site (NBS) domain, and a leucine-rich repeat (LRR) motif. This protein interacts with the apoptosis-associated speck-like protein PYCARD/ASC, which contains a caspase recruitment domain, and is a member of the NALP3 inflammasome complex. This complex functions as an upstream activator of NF-kappaB signaling, and it plays a role in the regulation of inflammation, the immune response, and apoptosis. Mutations in this gene are associated with familial cold autoinflammatory syndrome (FCAS), Muckle-Wells syndrome (MWS), chronic infantile neurological cutaneous and articular (CINCA) syndrome, and neonatal-onset multisystem inflammatory disease (NOMID). Multiple alternatively spliced transcript variants encoding distinct isoforms have been identified for this gene. Alternative 5' UTR structures are suggested by available data; however, insufficient evidence is available to determine if all of the represented 5' UTR splice patterns are biologically valid.
Product Categories/Family for anti-NLRP3 antibody
NCBI and Uniprot Product Information
NCBI GI #
NCBI GeneID
NCBI Accession #
NCBI GenBank Nucleotide #
UniProt Accession #
NCBI Official Full Name
NACHT, LRR and PYD domains-containing protein 3 isoform a
NCBI Official Synonym Full Names
NLR family pyrin domain containing 3
NCBI Official Symbol
NLRP3
NCBI Official Synonym Symbols
AII; AVP; FCU; MWS; FCAS; KEFH; CIAS1; FCAS1; NALP3; C1orf7; CLR1.1; DFNA34; PYPAF1; AGTAVPRL
NCBI Protein Information
NACHT, LRR and PYD domains-containing protein 3
UniProt Protein Name
NACHT, LRR and PYD domains-containing protein 3
UniProt Gene Name
NLRP3
UniProt Synonym Gene Names
C1orf7; CIAS1; NALP3; PYPAF1; CLR1.1
Similar Products
Product Notes
The NLRP3 nlrp3 (Catalog #AAA174448) is an Antibody produced from Rabbit and is intended for research purposes only. The product is available for immediate purchase. The NLRP3 Polyclonal Antibody reacts with Human, Mouse and may cross-react with other species as described in the data sheet. AAA Biotech's NLRP3 can be used in a range of immunoassay formats including, but not limited to, IHC (Immunohistochemistry). Researchers should empirically determine the suitability of the NLRP3 nlrp3 for an application not listed in the data sheet. Researchers commonly develop new applications and it is an integral, important part of the investigative research process. It is sometimes possible for the material contained within the vial of "NLRP3, Antibody" to become dispersed throughout the inside of the vial, particularly around the seal of said vial, during shipment and storage. We always suggest centrifuging these vials to consolidate all of the liquid away from the lid and to the bottom of the vial prior to opening. Please be advised that certain products may require dry ice for shipping and that, if this is the case, an additional dry ice fee may also be required.Precautions
All products in the AAA Biotech catalog are strictly for research-use only, and are absolutely not suitable for use in any sort of medical, therapeutic, prophylactic, in-vivo, or diagnostic capacity. By purchasing a product from AAA Biotech, you are explicitly certifying that said products will be properly tested and used in line with industry standard. AAA Biotech and its authorized distribution partners reserve the right to refuse to fulfill any order if we have any indication that a purchaser may be intending to use a product outside of our accepted criteria.Disclaimer
Though we do strive to guarantee the information represented in this datasheet, AAA Biotech cannot be held responsible for any oversights or imprecisions. AAA Biotech reserves the right to adjust any aspect of this datasheet at any time and without notice. It is the responsibility of the customer to inform AAA Biotech of any product performance issues observed or experienced within 30 days of receipt of said product. To see additional details on this or any of our other policies, please see our Terms & Conditions page.Item has been added to Shopping Cart
If you are ready to order, navigate to Shopping Cart and get ready to checkout.
