Rabbit CFHR1 Antibody | anti-CFHR1 antibody
CFHR1 Antibody
Gene Names
CFHR1; CFHL; FHR1; HFL1; HFL2; CFHL1; H36-1; H36-2; CFHL1P; CFHR1P
Reactivity
Human, Mouse, Rat
Applications
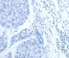
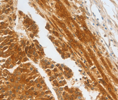
Immunohistochemistry, Western Blot
Purity
Affinity purification
Synonyms
CFHR1; N/A; CFHR1 Antibody; CFHL; FHR1; HFL1; HFL2; CFHL1; H36-1; H36-2; CFHL1P; CFHR1P; anti-CFHR1 antibody
Host
Rabbit
Reactivity
Human, Mouse, Rat
Isotype
IgG
Purity/Purification
Affinity purification
Sequence Length
330
Applicable Applications for anti-CFHR1 antibody
IHC (Immunohistochemistry), WB (Western Blot)
Immunogen
Recombinant protein of human CFHR1
Storage Buffer
PBS with 0.02% sodium azide, 50% glycerol, pH7.3.
Preparation and Storage
Store at-20 degree C or-80 degree C. Avoid freeze/thaw cycles.
Related Product Information for anti-CFHR1 antibody
This gene encodes a secreted protein belonging to the complement factor H protein family. It binds to Pseudomonas aeruginosa elongation factor Tuf together with plasminogen, which is proteolytically activated. It is proposed that Tuf acts as a virulence factor by acquiring host proteins to the pathogen surface, controlling complement, and facilitating tissue invasion. Mutations in this gene are associated with an increased risk of atypical hemolytic-uremic syndrome.
Product Categories/Family for anti-CFHR1 antibody
NCBI and Uniprot Product Information
NCBI GI #
NCBI GeneID
NCBI Accession #
NCBI GenBank Nucleotide #
Molecular Weight
38kDa
NCBI Official Full Name
complement factor H-related protein 1
NCBI Official Synonym Full Names
complement factor H related 1
NCBI Official Symbol
CFHR1
NCBI Official Synonym Symbols
CFHL; FHR1; HFL1; HFL2; CFHL1; H36-1; H36-2; CFHL1P; CFHR1P
NCBI Protein Information
complement factor H-related protein 1
UniProt Protein Name
Complement factor H-related protein 1
UniProt Gene Name
CFHR1
UniProt Synonym Gene Names
CFHL; CFHL1; CFHL1P; CFHR1P; FHR1; HFL1; HFL2; FHR-1; H-factor-like 1
Customer Reviews
Loading reviews...
Share Your Experience
Similar Products
Product Notes
The CFHR1 cfhr1 (Catalog #AAA267079) is an Antibody produced from Rabbit and is intended for research purposes only. The product is available for immediate purchase. The CFHR1 Antibody reacts with Human, Mouse, Rat and may cross-react with other species as described in the data sheet. AAA Biotech's CFHR1 can be used in a range of immunoassay formats including, but not limited to, IHC (Immunohistochemistry), WB (Western Blot). Researchers should empirically determine the suitability of the CFHR1 cfhr1 for an application not listed in the data sheet. Researchers commonly develop new applications and it is an integral, important part of the investigative research process. It is sometimes possible for the material contained within the vial of "CFHR1, Antibody" to become dispersed throughout the inside of the vial, particularly around the seal of said vial, during shipment and storage. We always suggest centrifuging these vials to consolidate all of the liquid away from the lid and to the bottom of the vial prior to opening. Please be advised that certain products may require dry ice for shipping and that, if this is the case, an additional dry ice fee may also be required.Precautions
All products in the AAA Biotech catalog are strictly for research-use only, and are absolutely not suitable for use in any sort of medical, therapeutic, prophylactic, in-vivo, or diagnostic capacity. By purchasing a product from AAA Biotech, you are explicitly certifying that said products will be properly tested and used in line with industry standard. AAA Biotech and its authorized distribution partners reserve the right to refuse to fulfill any order if we have any indication that a purchaser may be intending to use a product outside of our accepted criteria.Disclaimer
Though we do strive to guarantee the information represented in this datasheet, AAA Biotech cannot be held responsible for any oversights or imprecisions. AAA Biotech reserves the right to adjust any aspect of this datasheet at any time and without notice. It is the responsibility of the customer to inform AAA Biotech of any product performance issues observed or experienced within 30 days of receipt of said product. To see additional details on this or any of our other policies, please see our Terms & Conditions page.Item has been added to Shopping Cart
If you are ready to order, navigate to Shopping Cart and get ready to checkout.
