Host
Rabbit
Reactivity
Human, Mouse, Rat
Isotype
IgG
Purity/Purification
Affinity purification
Sequence Length
372
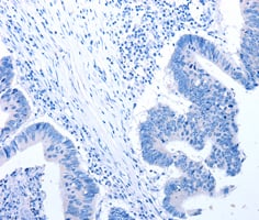
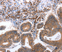
Applicable Applications for anti-CNTFR antibody
IHC (Immunohistochemistry), WB (Western Blot)
Immunogen
Recombinant protein of human CNTFR
Storage Buffer
PBS with 0.02% sodium azide, 50% glycerol, pH7.3.
Preparation and Storage
Store at-20 degree C or-80 degree C. Avoid freeze/thaw cycles.
Related Product Information for anti-CNTFR antibody
This gene encodes a member of the type 1 cytokine receptor family. The encoded protein is the ligand-specific component of a tripartite receptor for ciliary neurotrophic factor, which plays a critical role in neuronal cell survival, differentiation and gene expression. Binding of ciliary neurotrophic factor to the encoded protein recruits the transmembrane components of the receptor, gp130 and leukemia inhibitory factor receptor, facilitating signal transduction. Single nucleotide polymorphisms in this gene may be associated with variations in muscle strength, as well as early onset of eating disorders. Alternatively spliced transcript variants have been observed for this gene.
Product Categories/Family for anti-CNTFR antibody
NCBI and Uniprot Product Information
NCBI GI #
NCBI GeneID
NCBI Accession #
NCBI GenBank Nucleotide #
Molecular Weight
41kDa
NCBI Official Full Name
ciliary neurotrophic factor receptor subunit alpha preproprotein
NCBI Official Synonym Full Names
ciliary neurotrophic factor receptor
NCBI Official Symbol
CNTFR
NCBI Protein Information
ciliary neurotrophic factor receptor subunit alpha
UniProt Protein Name
Ciliary neurotrophic factor receptor subunit alpha
UniProt Gene Name
CNTFR
UniProt Synonym Gene Names
CNTF receptor subunit alpha; CNTFR-alpha
Customer Reviews
Loading reviews...
Share Your Experience
Similar Products
Product Notes
The CNTFR cntfr (Catalog #AAA267097) is an Antibody produced from Rabbit and is intended for research purposes only. The product is available for immediate purchase. The CNTFR Antibody reacts with Human, Mouse, Rat and may cross-react with other species as described in the data sheet. AAA Biotech's CNTFR can be used in a range of immunoassay formats including, but not limited to, IHC (Immunohistochemistry), WB (Western Blot). Researchers should empirically determine the suitability of the CNTFR cntfr for an application not listed in the data sheet. Researchers commonly develop new applications and it is an integral, important part of the investigative research process. It is sometimes possible for the material contained within the vial of "CNTFR, Antibody" to become dispersed throughout the inside of the vial, particularly around the seal of said vial, during shipment and storage. We always suggest centrifuging these vials to consolidate all of the liquid away from the lid and to the bottom of the vial prior to opening. Please be advised that certain products may require dry ice for shipping and that, if this is the case, an additional dry ice fee may also be required.Precautions
All products in the AAA Biotech catalog are strictly for research-use only, and are absolutely not suitable for use in any sort of medical, therapeutic, prophylactic, in-vivo, or diagnostic capacity. By purchasing a product from AAA Biotech, you are explicitly certifying that said products will be properly tested and used in line with industry standard. AAA Biotech and its authorized distribution partners reserve the right to refuse to fulfill any order if we have any indication that a purchaser may be intending to use a product outside of our accepted criteria.Disclaimer
Though we do strive to guarantee the information represented in this datasheet, AAA Biotech cannot be held responsible for any oversights or imprecisions. AAA Biotech reserves the right to adjust any aspect of this datasheet at any time and without notice. It is the responsibility of the customer to inform AAA Biotech of any product performance issues observed or experienced within 30 days of receipt of said product. To see additional details on this or any of our other policies, please see our Terms & Conditions page.Item has been added to Shopping Cart
If you are ready to order, navigate to Shopping Cart and get ready to checkout.
