Host
Rabbit
Reactivity
Human, Mouse, Rat
Isotype
IgG
Purity/Purification
Affinity purification
Sequence Length
658
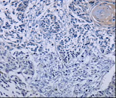
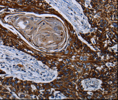
Applicable Applications for anti-CPT2 antibody
IHC (Immunohistochemistry), WB (Western Blot)
Immunogen
A synthetic peptide of human CPT2
Storage Buffer
PBS with 0.02% sodium azide, 50% glycerol, pH7.3.
Preparation and Storage
Store at-20 degree C or-80 degree C. Avoid freeze/thaw cycles.
Related Product Information for anti-CPT2 antibody
The protein encoded by this gene is a nuclear protein which is transported to the mitochondrial inner membrane. Together with carnitine palmitoyltransferase I, the encoded protein oxidizes long-chain fatty acids in the mitochondria. Defects in this gene are associated with mitochondrial long-chain fatty-acid (LCFA) oxidation disorders.
Product Categories/Family for anti-CPT2 antibody
NCBI and Uniprot Product Information
NCBI GI #
NCBI GeneID
NCBI Accession #
NCBI GenBank Nucleotide #
Molecular Weight
74kDa
NCBI Official Full Name
carnitine O-palmitoyltransferase 2, mitochondrial isoform 1
NCBI Official Synonym Full Names
carnitine palmitoyltransferase 2
NCBI Official Symbol
CPT2
NCBI Official Synonym Symbols
CPT1; IIAE4; CPTASE
NCBI Protein Information
carnitine O-palmitoyltransferase 2, mitochondrial
UniProt Protein Name
Carnitine O-palmitoyltransferase 2, mitochondrial
UniProt Gene Name
CPT2
UniProt Synonym Gene Names
CPT1; CPT II
Customer Reviews
Loading reviews...
Share Your Experience
Similar Products
Product Notes
The CPT2 cpt2 (Catalog #AAA266931) is an Antibody produced from Rabbit and is intended for research purposes only. The product is available for immediate purchase. The CPT2 Antibody reacts with Human, Mouse, Rat and may cross-react with other species as described in the data sheet. AAA Biotech's CPT2 can be used in a range of immunoassay formats including, but not limited to, IHC (Immunohistochemistry), WB (Western Blot). Researchers should empirically determine the suitability of the CPT2 cpt2 for an application not listed in the data sheet. Researchers commonly develop new applications and it is an integral, important part of the investigative research process. It is sometimes possible for the material contained within the vial of "CPT2, Antibody" to become dispersed throughout the inside of the vial, particularly around the seal of said vial, during shipment and storage. We always suggest centrifuging these vials to consolidate all of the liquid away from the lid and to the bottom of the vial prior to opening. Please be advised that certain products may require dry ice for shipping and that, if this is the case, an additional dry ice fee may also be required.Precautions
All products in the AAA Biotech catalog are strictly for research-use only, and are absolutely not suitable for use in any sort of medical, therapeutic, prophylactic, in-vivo, or diagnostic capacity. By purchasing a product from AAA Biotech, you are explicitly certifying that said products will be properly tested and used in line with industry standard. AAA Biotech and its authorized distribution partners reserve the right to refuse to fulfill any order if we have any indication that a purchaser may be intending to use a product outside of our accepted criteria.Disclaimer
Though we do strive to guarantee the information represented in this datasheet, AAA Biotech cannot be held responsible for any oversights or imprecisions. AAA Biotech reserves the right to adjust any aspect of this datasheet at any time and without notice. It is the responsibility of the customer to inform AAA Biotech of any product performance issues observed or experienced within 30 days of receipt of said product. To see additional details on this or any of our other policies, please see our Terms & Conditions page.Item has been added to Shopping Cart
If you are ready to order, navigate to Shopping Cart and get ready to checkout.
