Rabbit ENPP7 Antibody | anti-ENPP7 antibody
ENPP7 Antibody
Gene Names
ENPP7; NPP7; NPP-7; E-NPP 7; ALK-SMase
Reactivity
Human, Mouse, Rat
Applications
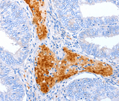
Immunohistochemistry, Western Blot
Purity
Affinity purification
Synonyms
ENPP7; N/A; ENPP7 Antibody; ALK-SMase; anti-ENPP7 antibody
Host
Rabbit
Reactivity
Human, Mouse, Rat
Isotype
IgG
Purity/Purification
Affinity purification
Sequence Length
458
Applicable Applications for anti-ENPP7 antibody
IHC (Immunohistochemistry), WB (Western Blot)
Immunogen
A synthetic peptide of human ENPP7
Storage Buffer
PBS with 0.02% sodium azide, 50% glycerol, pH7.3.
Preparation and Storage
Store at-20 degree C or-80 degree C. Avoid freeze/thaw cycles.
Related Product Information for anti-ENPP7 antibody
Ectonucleotide pyrophosphatase/phosphodiesterase family member 7 (E-NPP 7) also known as alkaline sphingomyelin phosphodiesterase (Alk-SMase) or intestinal alkaline sphingomyelinase is an enzyme that in humans is encoded by the ENPP7 gene. Converts sphingomyelin to ceramide. Also has phospholipase C activity toward palmitoyl lyso-phosphocholine. Does not appear to have nucleotide pyrophosphatase activity. Inhibited in a dose dependent manner by ATP, imidazole, orthovanadate and zinc ion. Not inhibited by ADP, AMP and EDTA. Detected in the colon (at protein level). Expressed in the duodenum, jejunum and liver and at low levels in the ileum. Expression was very low in the esophagus, stomach and colon.
Product Categories/Family for anti-ENPP7 antibody
NCBI and Uniprot Product Information
NCBI GI #
NCBI GeneID
NCBI Accession #
NCBI GenBank Nucleotide #
Molecular Weight
52kDa
NCBI Official Full Name
ectonucleotide pyrophosphatase/phosphodiesterase family member 7
NCBI Official Synonym Full Names
ectonucleotide pyrophosphatase/phosphodiesterase 7
NCBI Official Symbol
ENPP7
NCBI Official Synonym Symbols
NPP7; NPP-7; E-NPP 7; ALK-SMase
NCBI Protein Information
ectonucleotide pyrophosphatase/phosphodiesterase family member 7
UniProt Protein Name
Ectonucleotide pyrophosphatase/phosphodiesterase family member 7
UniProt Gene Name
ENPP7
UniProt Synonym Gene Names
E-NPP 7; NPP-7; Alk-SMase
Customer Reviews
Loading reviews...
Share Your Experience
Similar Products
Product Notes
The ENPP7 enpp7 (Catalog #AAA266905) is an Antibody produced from Rabbit and is intended for research purposes only. The product is available for immediate purchase. The ENPP7 Antibody reacts with Human, Mouse, Rat and may cross-react with other species as described in the data sheet. AAA Biotech's ENPP7 can be used in a range of immunoassay formats including, but not limited to, IHC (Immunohistochemistry), WB (Western Blot). Researchers should empirically determine the suitability of the ENPP7 enpp7 for an application not listed in the data sheet. Researchers commonly develop new applications and it is an integral, important part of the investigative research process. It is sometimes possible for the material contained within the vial of "ENPP7, Antibody" to become dispersed throughout the inside of the vial, particularly around the seal of said vial, during shipment and storage. We always suggest centrifuging these vials to consolidate all of the liquid away from the lid and to the bottom of the vial prior to opening. Please be advised that certain products may require dry ice for shipping and that, if this is the case, an additional dry ice fee may also be required.Precautions
All products in the AAA Biotech catalog are strictly for research-use only, and are absolutely not suitable for use in any sort of medical, therapeutic, prophylactic, in-vivo, or diagnostic capacity. By purchasing a product from AAA Biotech, you are explicitly certifying that said products will be properly tested and used in line with industry standard. AAA Biotech and its authorized distribution partners reserve the right to refuse to fulfill any order if we have any indication that a purchaser may be intending to use a product outside of our accepted criteria.Disclaimer
Though we do strive to guarantee the information represented in this datasheet, AAA Biotech cannot be held responsible for any oversights or imprecisions. AAA Biotech reserves the right to adjust any aspect of this datasheet at any time and without notice. It is the responsibility of the customer to inform AAA Biotech of any product performance issues observed or experienced within 30 days of receipt of said product. To see additional details on this or any of our other policies, please see our Terms & Conditions page.Item has been added to Shopping Cart
If you are ready to order, navigate to Shopping Cart and get ready to checkout.
