Host
Rabbit
Reactivity
Human, Mouse, Rat
Isotype
IgG
Purity/Purification
Affinity purification
Sequence Length
563
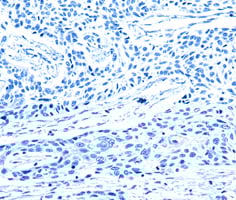
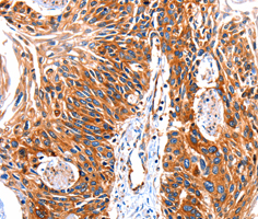
Applicable Applications for anti-GRK1 antibody
IHC (Immunohistochemistry), WB (Western Blot)
Immunogen
A synthetic peptide of human GRK1
Storage Buffer
PBS with 0.02% sodium azide, 50% glycerol, pH7.3.
Preparation and Storage
Store at-20 degree C or-80 degree C. Avoid freeze/thaw cycles.
Related Product Information for anti-GRK1 antibody
This gene encodes a member of the guanine nucleotide-binding protein (G protein)-coupled receptor kinase subfamily of the Ser/Thr protein kinase family. The protein phosphorylates rhodopsin and initiates its deactivation. Defects in GRK1 are known to cause Oguchi disease 2 (also known as stationary night blindness Oguchi type-2). Retina-specific kinase involved in the signal turnoff via phosphorylation of rhodopsin (RHO), the G protein-coupled receptor that initiates the phototransduction cascade. This rapid desensitization is essential for scotopic vision and permits rapid adaptation to changes in illumination.
Product Categories/Family for anti-GRK1 antibody
NCBI and Uniprot Product Information
NCBI GI #
NCBI GeneID
NCBI Accession #
NCBI GenBank Nucleotide #
Molecular Weight
63.5kDa
NCBI Official Full Name
rhodopsin kinase
NCBI Official Synonym Full Names
G protein-coupled receptor kinase 1
NCBI Official Symbol
GRK1
NCBI Official Synonym Symbols
RK; RHOK; GPRK1
NCBI Protein Information
rhodopsin kinase
UniProt Protein Name
Rhodopsin kinase
UniProt Gene Name
GRK1
UniProt Synonym Gene Names
RK
Customer Reviews
Loading reviews...
Share Your Experience
Similar Products
Product Notes
The GRK1 grk1 (Catalog #AAA267188) is an Antibody produced from Rabbit and is intended for research purposes only. The product is available for immediate purchase. The GRK1 Antibody reacts with Human, Mouse, Rat and may cross-react with other species as described in the data sheet. AAA Biotech's GRK1 can be used in a range of immunoassay formats including, but not limited to, IHC (Immunohistochemistry), WB (Western Blot). Researchers should empirically determine the suitability of the GRK1 grk1 for an application not listed in the data sheet. Researchers commonly develop new applications and it is an integral, important part of the investigative research process. It is sometimes possible for the material contained within the vial of "GRK1, Antibody" to become dispersed throughout the inside of the vial, particularly around the seal of said vial, during shipment and storage. We always suggest centrifuging these vials to consolidate all of the liquid away from the lid and to the bottom of the vial prior to opening. Please be advised that certain products may require dry ice for shipping and that, if this is the case, an additional dry ice fee may also be required.Precautions
All products in the AAA Biotech catalog are strictly for research-use only, and are absolutely not suitable for use in any sort of medical, therapeutic, prophylactic, in-vivo, or diagnostic capacity. By purchasing a product from AAA Biotech, you are explicitly certifying that said products will be properly tested and used in line with industry standard. AAA Biotech and its authorized distribution partners reserve the right to refuse to fulfill any order if we have any indication that a purchaser may be intending to use a product outside of our accepted criteria.Disclaimer
Though we do strive to guarantee the information represented in this datasheet, AAA Biotech cannot be held responsible for any oversights or imprecisions. AAA Biotech reserves the right to adjust any aspect of this datasheet at any time and without notice. It is the responsibility of the customer to inform AAA Biotech of any product performance issues observed or experienced within 30 days of receipt of said product. To see additional details on this or any of our other policies, please see our Terms & Conditions page.Item has been added to Shopping Cart
If you are ready to order, navigate to Shopping Cart and get ready to checkout.
