Host
Rabbit
Reactivity
Human, Mouse, Rat
Isotype
IgG
Purity/Purification
Affinity purification
Sequence Length
384
Applicable Applications for anti-GRPR antibody
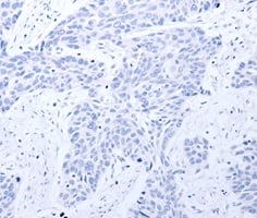
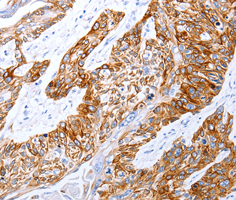
IHC (Immunohistochemistry), WB (Western Blot)
Immunogen
Recombinant protein of human GRPR
Storage Buffer
PBS with 0.02% sodium azide, 50% glycerol, pH7.3.
Preparation and Storage
Store at-20 degree C or-80 degree C. Avoid freeze/thaw cycles.
Related Product Information for anti-GRPR antibody
Gastrin-releasing peptide (GRP) regulates numerous functions of the gastrointestinal and central nervous systems, including release of gastrointestinal hormones, smooth muscle cell contraction, and epithelial cell proliferation and is a potent mitogen for neoplastic tissues. The effects of GRP are mediated through the gastrin-releasing peptide receptor. This receptor is a glycosylated, 7-transmembrane G-protein coupled receptor that activates the phospholipase C signaling pathway. The receptor is aberrantly expressed in numerous cancers such as those of the lung, colon, and prostate. An individual with autism and multiple exostoses was found to have a balanced translocation between chromosome 8 and a chromosome X breakpoint located within the gastrin-releasing peptide receptor gene.
Product Categories/Family for anti-GRPR antibody
NCBI and Uniprot Product Information
NCBI GI #
NCBI GeneID
NCBI Accession #
NCBI GenBank Nucleotide #
Molecular Weight
43kDa
NCBI Official Full Name
gastrin-releasing peptide receptor
NCBI Official Synonym Full Names
gastrin releasing peptide receptor
NCBI Official Symbol
GRPR
NCBI Official Synonym Symbols
BB2; BB2R
NCBI Protein Information
gastrin-releasing peptide receptor
UniProt Protein Name
Gastrin-releasing peptide receptor
UniProt Gene Name
GRPR
UniProt Synonym Gene Names
GRP-R
Customer Reviews
Loading reviews...
Share Your Experience
Similar Products
Product Notes
The GRPR grpr (Catalog #AAA267062) is an Antibody produced from Rabbit and is intended for research purposes only. The product is available for immediate purchase. The GRPR Antibody reacts with Human, Mouse, Rat and may cross-react with other species as described in the data sheet. AAA Biotech's GRPR can be used in a range of immunoassay formats including, but not limited to, IHC (Immunohistochemistry), WB (Western Blot). Researchers should empirically determine the suitability of the GRPR grpr for an application not listed in the data sheet. Researchers commonly develop new applications and it is an integral, important part of the investigative research process. It is sometimes possible for the material contained within the vial of "GRPR, Antibody" to become dispersed throughout the inside of the vial, particularly around the seal of said vial, during shipment and storage. We always suggest centrifuging these vials to consolidate all of the liquid away from the lid and to the bottom of the vial prior to opening. Please be advised that certain products may require dry ice for shipping and that, if this is the case, an additional dry ice fee may also be required.Precautions
All products in the AAA Biotech catalog are strictly for research-use only, and are absolutely not suitable for use in any sort of medical, therapeutic, prophylactic, in-vivo, or diagnostic capacity. By purchasing a product from AAA Biotech, you are explicitly certifying that said products will be properly tested and used in line with industry standard. AAA Biotech and its authorized distribution partners reserve the right to refuse to fulfill any order if we have any indication that a purchaser may be intending to use a product outside of our accepted criteria.Disclaimer
Though we do strive to guarantee the information represented in this datasheet, AAA Biotech cannot be held responsible for any oversights or imprecisions. AAA Biotech reserves the right to adjust any aspect of this datasheet at any time and without notice. It is the responsibility of the customer to inform AAA Biotech of any product performance issues observed or experienced within 30 days of receipt of said product. To see additional details on this or any of our other policies, please see our Terms & Conditions page.Item has been added to Shopping Cart
If you are ready to order, navigate to Shopping Cart and get ready to checkout.
