Rabbit IMMT Antibody | anti-IMMT antibody
IMMT Antibody
Gene Names
IMMT; HMP; P87; P89; PIG4; Mic60; PIG52; MINOS2; P87/89
Reactivity
Human, Mouse, Rat
Applications
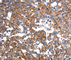
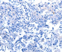
Immunohistochemistry, Western Blot
Purity
Affinity purification
Synonyms
IMMT; N/A; IMMT Antibody; HMP; P87; P89; PIG4; PIG52; MINOS2; P87/89; anti-IMMT antibody
Host
Rabbit
Reactivity
Human, Mouse, Rat
Isotype
IgG
Purity/Purification
Affinity purification
Sequence Length
757
Applicable Applications for anti-IMMT antibody
IHC (Immunohistochemistry), WB (Western Blot)
Immunogen
Recombinant protein of human IMMT
Storage Buffer
PBS with 0.02% sodium azide, 50% glycerol, pH7.3.
Preparation and Storage
Store at-20 degree C or-80 degree C. Avoid freeze/thaw cycles.
Related Product Information for anti-IMMT antibody
Mitochondrial inner membrane protein is a protein that in humans is encoded by the IMMT gene. IMMT has been shown to interact with BAT2. The mitochondrial inner membrane (IM) serves as the site for ATP production by hosting the oxidative phosphorylation complex machinery most notably on the crista membranes. Disruption of the crista structure has been implicated in a variety of cardiovascular and neurodegenerative diseases.
Product Categories/Family for anti-IMMT antibody
NCBI and Uniprot Product Information
NCBI GI #
NCBI GeneID
NCBI Accession #
NCBI GenBank Nucleotide #
UniProt Accession #
Molecular Weight
84kDa
NCBI Official Full Name
MICOS complex subunit MIC60 isoform 2
NCBI Official Synonym Full Names
inner membrane mitochondrial protein
NCBI Official Symbol
IMMT
NCBI Official Synonym Symbols
HMP; P87; P89; PIG4; Mic60; PIG52; MINOS2; P87/89
NCBI Protein Information
MICOS complex subunit MIC60
UniProt Protein Name
MICOS complex subunit MIC60
UniProt Gene Name
IMMT
UniProt Synonym Gene Names
HMP; MIC60; MINOS2
Customer Reviews
Loading reviews...
Share Your Experience
Similar Products
Product Notes
The IMMT immt (Catalog #AAA267041) is an Antibody produced from Rabbit and is intended for research purposes only. The product is available for immediate purchase. The IMMT Antibody reacts with Human, Mouse, Rat and may cross-react with other species as described in the data sheet. AAA Biotech's IMMT can be used in a range of immunoassay formats including, but not limited to, IHC (Immunohistochemistry), WB (Western Blot). Researchers should empirically determine the suitability of the IMMT immt for an application not listed in the data sheet. Researchers commonly develop new applications and it is an integral, important part of the investigative research process. It is sometimes possible for the material contained within the vial of "IMMT, Antibody" to become dispersed throughout the inside of the vial, particularly around the seal of said vial, during shipment and storage. We always suggest centrifuging these vials to consolidate all of the liquid away from the lid and to the bottom of the vial prior to opening. Please be advised that certain products may require dry ice for shipping and that, if this is the case, an additional dry ice fee may also be required.Precautions
All products in the AAA Biotech catalog are strictly for research-use only, and are absolutely not suitable for use in any sort of medical, therapeutic, prophylactic, in-vivo, or diagnostic capacity. By purchasing a product from AAA Biotech, you are explicitly certifying that said products will be properly tested and used in line with industry standard. AAA Biotech and its authorized distribution partners reserve the right to refuse to fulfill any order if we have any indication that a purchaser may be intending to use a product outside of our accepted criteria.Disclaimer
Though we do strive to guarantee the information represented in this datasheet, AAA Biotech cannot be held responsible for any oversights or imprecisions. AAA Biotech reserves the right to adjust any aspect of this datasheet at any time and without notice. It is the responsibility of the customer to inform AAA Biotech of any product performance issues observed or experienced within 30 days of receipt of said product. To see additional details on this or any of our other policies, please see our Terms & Conditions page.Item has been added to Shopping Cart
If you are ready to order, navigate to Shopping Cart and get ready to checkout.
