Rabbit MMP8 Antibody | anti-MMP8 antibody
MMP8 Antibody
Gene Names
MMP8; HNC; CLG1; MMP-8; PMNL-CL
Reactivity
Human, Mouse, Rat
Applications
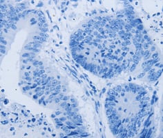
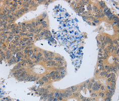
Immunohistochemistry, Western Blot
Purity
Affinity purification
Synonyms
MMP8; N/A; MMP8 Antibody; HNC; CLG1; MMP-8; PMNL-CL; anti-MMP8 antibody
Host
Rabbit
Reactivity
Human, Mouse, Rat
Isotype
IgG
Purity/Purification
Affinity purification
Sequence Length
444
Applicable Applications for anti-MMP8 antibody
IHC (Immunohistochemistry), WB (Western Blot)
Immunogen
A synthetic peptide of human MMP8
Storage Buffer
PBS with 0.02% sodium azide, 50% glycerol, pH7.3.
Preparation and Storage
Store at -20 or -80°C. Avoid freeze/thaw cycles.
Related Product Information for anti-MMP8 antibody
Proteins of the matrix metalloproteinase (MMP) family are involved in the breakdown of extracellular matrix in normal physiological processes, such as embryonic development, reproduction, and tissue remodeling, as well as in disease processes, such as arthritis and metastasis. Most MMP's are secreted as inactive proproteins which are activated when cleaved by extracellular proteinases. However, the enzyme encoded by this gene is stored in secondary granules within neutrophils and is activated by autolytic cleavage. Its function is degradation of type I, II and III collagens. The gene is part of a cluster of MMP genes which localize to chromosome 11q22.3.
Product Categories/Family for anti-MMP8 antibody
NCBI and Uniprot Product Information
NCBI GI #
NCBI GeneID
NCBI Accession #
NCBI GenBank Nucleotide #
Molecular Weight
53kDa
NCBI Official Full Name
neutrophil collagenase isoform 2
NCBI Official Synonym Full Names
matrix metallopeptidase 8
NCBI Official Symbol
MMP8
NCBI Official Synonym Symbols
HNC; CLG1; MMP-8; PMNL-CL
NCBI Protein Information
neutrophil collagenase
UniProt Protein Name
Neutrophil collagenase
UniProt Gene Name
MMP8
UniProt Synonym Gene Names
CLG1; MMP-8; PMNL-CL
Customer Reviews
Loading reviews...
Share Your Experience
Similar Products
Product Notes
The MMP8 mmp8 (Catalog #AAA266675) is an Antibody produced from Rabbit and is intended for research purposes only. The product is available for immediate purchase. The MMP8 Antibody reacts with Human, Mouse, Rat and may cross-react with other species as described in the data sheet. AAA Biotech's MMP8 can be used in a range of immunoassay formats including, but not limited to, IHC (Immunohistochemistry), WB (Western Blot). Researchers should empirically determine the suitability of the MMP8 mmp8 for an application not listed in the data sheet. Researchers commonly develop new applications and it is an integral, important part of the investigative research process. It is sometimes possible for the material contained within the vial of "MMP8, Antibody" to become dispersed throughout the inside of the vial, particularly around the seal of said vial, during shipment and storage. We always suggest centrifuging these vials to consolidate all of the liquid away from the lid and to the bottom of the vial prior to opening. Please be advised that certain products may require dry ice for shipping and that, if this is the case, an additional dry ice fee may also be required.Precautions
All products in the AAA Biotech catalog are strictly for research-use only, and are absolutely not suitable for use in any sort of medical, therapeutic, prophylactic, in-vivo, or diagnostic capacity. By purchasing a product from AAA Biotech, you are explicitly certifying that said products will be properly tested and used in line with industry standard. AAA Biotech and its authorized distribution partners reserve the right to refuse to fulfill any order if we have any indication that a purchaser may be intending to use a product outside of our accepted criteria.Disclaimer
Though we do strive to guarantee the information represented in this datasheet, AAA Biotech cannot be held responsible for any oversights or imprecisions. AAA Biotech reserves the right to adjust any aspect of this datasheet at any time and without notice. It is the responsibility of the customer to inform AAA Biotech of any product performance issues observed or experienced within 30 days of receipt of said product. To see additional details on this or any of our other policies, please see our Terms & Conditions page.Item has been added to Shopping Cart
If you are ready to order, navigate to Shopping Cart and get ready to checkout.
