Host
Rabbit
Reactivity
Human, Mouse, Rat
Isotype
IgG
Purity/Purification
Affinity purification
Sequence Length
384
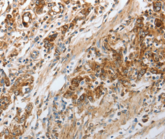
Applicable Applications for anti-NPY1R antibody
IHC (Immunohistochemistry), WB (Western Blot)
Immunogen
A synthetic peptide of human NPY1R
Storage Buffer
PBS with 0.02% sodium azide, 50% glycerol, pH7.3.
Preparation and Storage
Store at-20 degree C or-80 degree C. Avoid freeze/thaw cycles.
Related Product Information for anti-NPY1R antibody
Neuropeptide Y (NPY; MIM 162640) is one of the most abundant neuropeptides in the mammalian nervous system and exhibits a diverse range of important physiologic activities, including effects on psychomotor activity, food intake, regulation of central endocrine secretion, and potent vasoactive effects on the cardiovascular system. Two major subtypes of NPY (Y1 and Y2) have been defined by pharmacologic criteria. NPY receptors, such as NPY1R, have been identified in a variety of tissues, including brain, spleen, small intestine, kidney, testis, placenta, and aortic smooth muscle.
Product Categories/Family for anti-NPY1R antibody
NCBI and Uniprot Product Information
NCBI GI #
NCBI GeneID
NCBI Accession #
NCBI GenBank Nucleotide #
Molecular Weight
44kDa
NCBI Official Full Name
neuropeptide Y receptor type 1
NCBI Official Synonym Full Names
neuropeptide Y receptor Y1
NCBI Official Symbol
NPY1R
NCBI Official Synonym Symbols
NPYR; NPY1-R
NCBI Protein Information
neuropeptide Y receptor type 1
UniProt Protein Name
Neuropeptide Y receptor type 1
UniProt Gene Name
NPY1R
UniProt Synonym Gene Names
NPYR; NPYY1; NPY1-R
Customer Reviews
Loading reviews...
Share Your Experience
Similar Products
Product Notes
The NPY1R npy1r (Catalog #AAA267037) is an Antibody produced from Rabbit and is intended for research purposes only. The product is available for immediate purchase. The NPY1R Antibody reacts with Human, Mouse, Rat and may cross-react with other species as described in the data sheet. AAA Biotech's NPY1R can be used in a range of immunoassay formats including, but not limited to, IHC (Immunohistochemistry), WB (Western Blot). Researchers should empirically determine the suitability of the NPY1R npy1r for an application not listed in the data sheet. Researchers commonly develop new applications and it is an integral, important part of the investigative research process. It is sometimes possible for the material contained within the vial of "NPY1R, Antibody" to become dispersed throughout the inside of the vial, particularly around the seal of said vial, during shipment and storage. We always suggest centrifuging these vials to consolidate all of the liquid away from the lid and to the bottom of the vial prior to opening. Please be advised that certain products may require dry ice for shipping and that, if this is the case, an additional dry ice fee may also be required.Precautions
All products in the AAA Biotech catalog are strictly for research-use only, and are absolutely not suitable for use in any sort of medical, therapeutic, prophylactic, in-vivo, or diagnostic capacity. By purchasing a product from AAA Biotech, you are explicitly certifying that said products will be properly tested and used in line with industry standard. AAA Biotech and its authorized distribution partners reserve the right to refuse to fulfill any order if we have any indication that a purchaser may be intending to use a product outside of our accepted criteria.Disclaimer
Though we do strive to guarantee the information represented in this datasheet, AAA Biotech cannot be held responsible for any oversights or imprecisions. AAA Biotech reserves the right to adjust any aspect of this datasheet at any time and without notice. It is the responsibility of the customer to inform AAA Biotech of any product performance issues observed or experienced within 30 days of receipt of said product. To see additional details on this or any of our other policies, please see our Terms & Conditions page.Item has been added to Shopping Cart
If you are ready to order, navigate to Shopping Cart and get ready to checkout.
