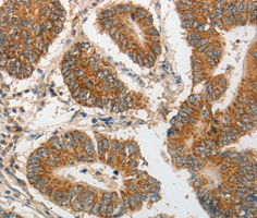
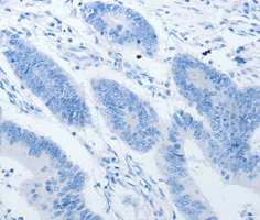
Rabbit PIBF1 Antibody | anti-PIBF1 antibody
PIBF1 Antibody
Gene Names
PIBF1; PIBF; CEP90; JBTS33; C13orf24
Reactivity
Human, Mouse, Rat
Applications
Immunohistochemistry, Western Blot
Purity
Affinity purification
Synonyms
PIBF1; N/A; PIBF1 Antibody; PIBF; CEP90; C13orf24; RP11-505F3.1; anti-PIBF1 antibody
Host
Rabbit
Reactivity
Human, Mouse, Rat
Isotype
IgG
Purity/Purification
Affinity purification
Sequence Length
757
Applicable Applications for anti-PIBF1 antibody
IHC (Immunohistochemistry), WB (Western Blot)
Immunogen
A synthetic peptide of human PIBF1
Storage Buffer
PBS with 0.02% sodium azide, 50% glycerol, pH7.3.
Preparation and Storage
Store at-20 degree C or-80 degree C. Avoid freeze/thaw cycles.
Related Product Information for anti-PIBF1 antibody
Progesterone-induced-blocking factor 1 is a protein that in humans is encoded by the PIBF1 gene. It has been shown to localize to the centrosome and has also been named CEP90. Mediator of progesterone that by acting on the phospholipase A2 enzyme interferes with arachidonic acid metabolism, induces a Th2 biased immune response, and by controlling NK activity exerts an anti-abortive effect.
Product Categories/Family for anti-PIBF1 antibody
NCBI and Uniprot Product Information
NCBI GI #
NCBI GeneID
NCBI Accession #
NCBI GenBank Nucleotide #
Molecular Weight
90kDa
NCBI Official Full Name
progesterone-induced-blocking factor 1 isoform 2
NCBI Official Synonym Full Names
progesterone immunomodulatory binding factor 1
NCBI Official Symbol
PIBF1
NCBI Official Synonym Symbols
PIBF; CEP90; JBTS33; C13orf24
NCBI Protein Information
progesterone-induced-blocking factor 1
UniProt Protein Name
Progesterone-induced-blocking factor 1
UniProt Gene Name
PIBF1
UniProt Synonym Gene Names
C13orf24; PIBF; PIBF; CEP90
Customer Reviews
Loading reviews...
Share Your Experience
Similar Products
Product Notes
The PIBF1 pibf1 (Catalog #AAA267183) is an Antibody produced from Rabbit and is intended for research purposes only. The product is available for immediate purchase. The PIBF1 Antibody reacts with Human, Mouse, Rat and may cross-react with other species as described in the data sheet. AAA Biotech's PIBF1 can be used in a range of immunoassay formats including, but not limited to, IHC (Immunohistochemistry), WB (Western Blot). Researchers should empirically determine the suitability of the PIBF1 pibf1 for an application not listed in the data sheet. Researchers commonly develop new applications and it is an integral, important part of the investigative research process. It is sometimes possible for the material contained within the vial of "PIBF1, Antibody" to become dispersed throughout the inside of the vial, particularly around the seal of said vial, during shipment and storage. We always suggest centrifuging these vials to consolidate all of the liquid away from the lid and to the bottom of the vial prior to opening. Please be advised that certain products may require dry ice for shipping and that, if this is the case, an additional dry ice fee may also be required.Precautions
All products in the AAA Biotech catalog are strictly for research-use only, and are absolutely not suitable for use in any sort of medical, therapeutic, prophylactic, in-vivo, or diagnostic capacity. By purchasing a product from AAA Biotech, you are explicitly certifying that said products will be properly tested and used in line with industry standard. AAA Biotech and its authorized distribution partners reserve the right to refuse to fulfill any order if we have any indication that a purchaser may be intending to use a product outside of our accepted criteria.Disclaimer
Though we do strive to guarantee the information represented in this datasheet, AAA Biotech cannot be held responsible for any oversights or imprecisions. AAA Biotech reserves the right to adjust any aspect of this datasheet at any time and without notice. It is the responsibility of the customer to inform AAA Biotech of any product performance issues observed or experienced within 30 days of receipt of said product. To see additional details on this or any of our other policies, please see our Terms & Conditions page.Item has been added to Shopping Cart
If you are ready to order, navigate to Shopping Cart and get ready to checkout.
