Rabbit PPP2CB Antibody | anti-PPP2CB antibody
PPP2CB Antibody
Gene Names
PPP2CB; PP2CB; PP2Abeta
Reactivity
Human, Mouse, Rat
Applications
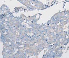
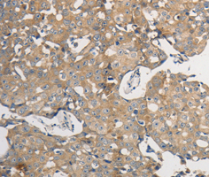
Immunohistochemistry, Western Blot
Purity
Affinity purification
Synonyms
PPP2CB; N/A; PPP2CB Antibody; PP2CB; PP2Abeta; anti-PPP2CB antibody
Host
Rabbit
Reactivity
Human, Mouse, Rat
Isotype
IgG
Purity/Purification
Affinity purification
Sequence Length
309
Applicable Applications for anti-PPP2CB antibody
IHC (Immunohistochemistry), WB (Western Blot)
Immunogen
A synthetic peptide of human PPP2CB
Storage Buffer
PBS with 0.02% sodium azide, 50% glycerol, pH7.3.
Preparation and Storage
Store at-20 degree C or-80 degree C. Avoid freeze/thaw cycles.
Related Product Information for anti-PPP2CB antibody
This gene encodes the phosphatase 2A catalytic subunit. Protein phosphatase 2A is one of the four major Ser/Thr phosphatases, and it is implicated in the negative control of cell growth and division. It consists of a common heteromeric core enzyme, which is composed of a catalytic subunit and a constant regulatory subunit, that associates with a variety of regulatory subunits. This gene encodes a beta isoform of the catalytic subunit.
Product Categories/Family for anti-PPP2CB antibody
NCBI and Uniprot Product Information
NCBI GI #
NCBI GeneID
NCBI Accession #
NCBI GenBank Nucleotide #
Molecular Weight
36kDa
NCBI Official Full Name
serine/threonine-protein phosphatase 2A catalytic subunit beta isoform
NCBI Official Synonym Full Names
protein phosphatase 2 catalytic subunit beta
NCBI Official Symbol
PPP2CB
NCBI Official Synonym Symbols
PP2CB; PP2Abeta
NCBI Protein Information
serine/threonine-protein phosphatase 2A catalytic subunit beta isoform
UniProt Protein Name
Serine/threonine-protein phosphatase 2A catalytic subunit beta isoform
UniProt Gene Name
PPP2CB
UniProt Synonym Gene Names
PP2A-beta
Customer Reviews
Loading reviews...
Share Your Experience
Similar Products
Product Notes
The PPP2CB ppp2cb (Catalog #AAA267056) is an Antibody produced from Rabbit and is intended for research purposes only. The product is available for immediate purchase. The PPP2CB Antibody reacts with Human, Mouse, Rat and may cross-react with other species as described in the data sheet. AAA Biotech's PPP2CB can be used in a range of immunoassay formats including, but not limited to, IHC (Immunohistochemistry), WB (Western Blot). Researchers should empirically determine the suitability of the PPP2CB ppp2cb for an application not listed in the data sheet. Researchers commonly develop new applications and it is an integral, important part of the investigative research process. It is sometimes possible for the material contained within the vial of "PPP2CB, Antibody" to become dispersed throughout the inside of the vial, particularly around the seal of said vial, during shipment and storage. We always suggest centrifuging these vials to consolidate all of the liquid away from the lid and to the bottom of the vial prior to opening. Please be advised that certain products may require dry ice for shipping and that, if this is the case, an additional dry ice fee may also be required.Precautions
All products in the AAA Biotech catalog are strictly for research-use only, and are absolutely not suitable for use in any sort of medical, therapeutic, prophylactic, in-vivo, or diagnostic capacity. By purchasing a product from AAA Biotech, you are explicitly certifying that said products will be properly tested and used in line with industry standard. AAA Biotech and its authorized distribution partners reserve the right to refuse to fulfill any order if we have any indication that a purchaser may be intending to use a product outside of our accepted criteria.Disclaimer
Though we do strive to guarantee the information represented in this datasheet, AAA Biotech cannot be held responsible for any oversights or imprecisions. AAA Biotech reserves the right to adjust any aspect of this datasheet at any time and without notice. It is the responsibility of the customer to inform AAA Biotech of any product performance issues observed or experienced within 30 days of receipt of said product. To see additional details on this or any of our other policies, please see our Terms & Conditions page.Item has been added to Shopping Cart
If you are ready to order, navigate to Shopping Cart and get ready to checkout.
