Rabbit SSTR1 Antibody | anti-SSTR1 antibody
SSTR1 Antibody
Gene Names
SSTR1; SS1R; SS1-R; SRIF-2; SS-1-R
Reactivity
Human, Mouse, Rat
Applications
Immunohistochemistry, Western Blot
Purity
Affinity purification
Synonyms
SSTR1; N/A; SSTR1 Antibody; SS1R; SS1-R; SRIF-2; SS-1-R; anti-SSTR1 antibody
Host
Rabbit
Reactivity
Human, Mouse, Rat
Isotype
IgG
Purity/Purification
Affinity purification
Sequence Length
391
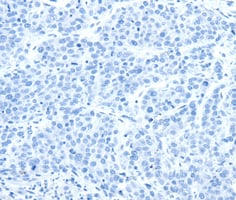
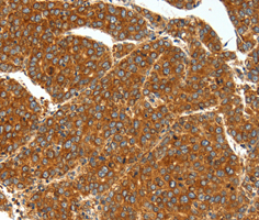
Applicable Applications for anti-SSTR1 antibody
IHC (Immunohistochemistry), WB (Western Blot)
Immunogen
A synthetic peptide of human SSTR1
Storage Buffer
PBS with 0.02% sodium azide, 50% glycerol, pH7.3.
Preparation and Storage
Store at-20 degree C or-80 degree C. Avoid freeze/thaw cycles.
Related Product Information for anti-SSTR1 antibody
Somatostatins are peptide hormones that regulate diverse cellular functions such as neurotransmission, cell proliferation, and endocrine signaling as well as inhibiting the release of many hormones and other secretory proteins. Somatostatin has two active forms of 14 and 28 amino acids. The biological effects of somatostatins are mediated by a family of G-protein coupled somatostatin receptors that are expressed in a tissue-specific manner. The protein encoded by this gene is a member of the superfamily of somatostatin receptors having seven transmembrane segments. Somatostatin receptors form homodimers and heterodimers with other members of the superfamily as well as with other G-protein coupled receptors and receptor tyrosine kinases. This somatostatin receptor has greater affinity for somatostatin-14 than-28.
Product Categories/Family for anti-SSTR1 antibody
NCBI and Uniprot Product Information
NCBI GI #
NCBI GeneID
NCBI Accession #
NCBI GenBank Nucleotide #
UniProt Accession #
Molecular Weight
43kDa
NCBI Official Full Name
somatostatin receptor type 1
NCBI Official Synonym Full Names
somatostatin receptor 1
NCBI Official Symbol
SSTR1
NCBI Official Synonym Symbols
SS1R; SS1-R; SRIF-2; SS-1-R
NCBI Protein Information
somatostatin receptor type 1
UniProt Protein Name
Somatostatin receptor type 1
UniProt Gene Name
SSTR1
UniProt Synonym Gene Names
SS-1-R; SS1-R; SS1R
Customer Reviews
Loading reviews...
Share Your Experience
Similar Products
Product Notes
The SSTR1 sstr1 (Catalog #AAA266913) is an Antibody produced from Rabbit and is intended for research purposes only. The product is available for immediate purchase. The SSTR1 Antibody reacts with Human, Mouse, Rat and may cross-react with other species as described in the data sheet. AAA Biotech's SSTR1 can be used in a range of immunoassay formats including, but not limited to, IHC (Immunohistochemistry), WB (Western Blot). Researchers should empirically determine the suitability of the SSTR1 sstr1 for an application not listed in the data sheet. Researchers commonly develop new applications and it is an integral, important part of the investigative research process. It is sometimes possible for the material contained within the vial of "SSTR1, Antibody" to become dispersed throughout the inside of the vial, particularly around the seal of said vial, during shipment and storage. We always suggest centrifuging these vials to consolidate all of the liquid away from the lid and to the bottom of the vial prior to opening. Please be advised that certain products may require dry ice for shipping and that, if this is the case, an additional dry ice fee may also be required.Precautions
All products in the AAA Biotech catalog are strictly for research-use only, and are absolutely not suitable for use in any sort of medical, therapeutic, prophylactic, in-vivo, or diagnostic capacity. By purchasing a product from AAA Biotech, you are explicitly certifying that said products will be properly tested and used in line with industry standard. AAA Biotech and its authorized distribution partners reserve the right to refuse to fulfill any order if we have any indication that a purchaser may be intending to use a product outside of our accepted criteria.Disclaimer
Though we do strive to guarantee the information represented in this datasheet, AAA Biotech cannot be held responsible for any oversights or imprecisions. AAA Biotech reserves the right to adjust any aspect of this datasheet at any time and without notice. It is the responsibility of the customer to inform AAA Biotech of any product performance issues observed or experienced within 30 days of receipt of said product. To see additional details on this or any of our other policies, please see our Terms & Conditions page.Item has been added to Shopping Cart
If you are ready to order, navigate to Shopping Cart and get ready to checkout.
