Rabbit anti-Mouse CADM1 Antibody | anti-CADM1 antibody
CADM1, Antiserum, Rabbit
Gene Names
CADM1; BL2; ST17; IGSF4; NECL2; RA175; TSLC1; IGSF4A; Necl-2; SYNCAM; sgIGSF; sTSLC-1; synCAM1
Reactivity
Mouse
Applications
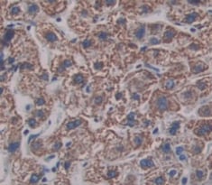
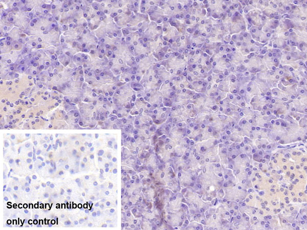
Western Blot, Immunocytochemistry, Immunofluorescence
Synonyms
CADM1; N/A; CADM1, Antiserum, Rabbit; anti-CADM1 antibody
Host
Rabbit
Reactivity
Mouse
Form/Format
Whole serum with 0.02% Sodium Azide
Sequence
A synthetic peptide corresponding to the C-terminal region of rat SynCAM/CADM1.
Sequence Length
453
Applicable Applications for anti-CADM1 antibody
WB (Western Blot), ICC (Immunocytochemistry), IF (Immunofluorescence)
Immunogen
A synthetic peptide made to the C-terminal region of the mouse SCP1 protein.
Preparation and Storage
Store at 4°C short term. Aliquot and store at -20°C long term. Avoid freeze-thaw cycles.
Related Product Information for anti-CADM1 antibody
CADM1/SynCAM is a brain-specific, immunoglobulin domain. It functions as a homophilic cell adhesion molecule at the synapse. Full-length synCAM has been shown to induce synaptic assembly. It has also been shown that synCAM, in conjunction with glutamate receptors, can sufficiently create a functional postsynaptic response.
The proptein is also involved in neuronal migration, axon growth, pathfinding, and fasciculation on the axons of differentiating neurons. In addition, SynCAM plays diverse roles in spermatogenesis including in the adhesion of spermatocytes and spermatids to Sertoli cells and for their normal differentiation into mature spermatozoa.
The proptein is also involved in neuronal migration, axon growth, pathfinding, and fasciculation on the axons of differentiating neurons. In addition, SynCAM plays diverse roles in spermatogenesis including in the adhesion of spermatocytes and spermatids to Sertoli cells and for their normal differentiation into mature spermatozoa.
Product Categories/Family for anti-CADM1 antibody
NCBI and Uniprot Product Information
NCBI GI #
NCBI GeneID
NCBI Accession #
NCBI GenBank Nucleotide #
NCBI Official Full Name
cell adhesion molecule 1 isoform B
NCBI Official Synonym Full Names
cell adhesion molecule 1
NCBI Official Symbol
CADM1
NCBI Official Synonym Symbols
BL2; ST17; IGSF4; NECL2; RA175; TSLC1; IGSF4A; Necl-2; SYNCAM; sgIGSF; sTSLC-1; synCAM1
NCBI Protein Information
cell adhesion molecule 1
UniProt Protein Name
Cell adhesion molecule 1
UniProt Gene Name
CADM1
UniProt Synonym Gene Names
IgSF4; NECL-2; SgIgSF; SynCAM; TSLC-1
UniProt Entry Name
CADM1_HUMAN
Customer Reviews
Loading reviews...
Share Your Experience
Similar Products
Product Notes
The CADM1 cadm1 (Catalog #AAA76449) is an Antibody produced from Rabbit and is intended for research purposes only. The product is available for immediate purchase. The CADM1, Antiserum, Rabbit reacts with Mouse and may cross-react with other species as described in the data sheet. AAA Biotech's CADM1 can be used in a range of immunoassay formats including, but not limited to, WB (Western Blot), ICC (Immunocytochemistry), IF (Immunofluorescence). Researchers should empirically determine the suitability of the CADM1 cadm1 for an application not listed in the data sheet. Researchers commonly develop new applications and it is an integral, important part of the investigative research process. The amino acid sequence is listed below: A synthetic peptide correspond ing to the C-terminal region of rat SynCAM/CAD M1. It is sometimes possible for the material contained within the vial of "CADM1, Antibody" to become dispersed throughout the inside of the vial, particularly around the seal of said vial, during shipment and storage. We always suggest centrifuging these vials to consolidate all of the liquid away from the lid and to the bottom of the vial prior to opening. Please be advised that certain products may require dry ice for shipping and that, if this is the case, an additional dry ice fee may also be required.Precautions
All products in the AAA Biotech catalog are strictly for research-use only, and are absolutely not suitable for use in any sort of medical, therapeutic, prophylactic, in-vivo, or diagnostic capacity. By purchasing a product from AAA Biotech, you are explicitly certifying that said products will be properly tested and used in line with industry standard. AAA Biotech and its authorized distribution partners reserve the right to refuse to fulfill any order if we have any indication that a purchaser may be intending to use a product outside of our accepted criteria.Disclaimer
Though we do strive to guarantee the information represented in this datasheet, AAA Biotech cannot be held responsible for any oversights or imprecisions. AAA Biotech reserves the right to adjust any aspect of this datasheet at any time and without notice. It is the responsibility of the customer to inform AAA Biotech of any product performance issues observed or experienced within 30 days of receipt of said product. To see additional details on this or any of our other policies, please see our Terms & Conditions page.Item has been added to Shopping Cart
If you are ready to order, navigate to Shopping Cart and get ready to checkout.
