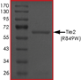
Rat p-TIE2 (Phosphotyrosine Angiopoietin-1 receptor) ELISA Kit | p-TIE2 elisa kit
Rat p-TIE2 (Phosphotyrosine Angiopoietin-1 receptor) ELISA Kit
Reactivity
Rat
Synonyms
p-TIE2 (Phosphotyrosine Angiopoietin-1 receptor); N/A; Rat p-TIE2 (Phosphotyrosine Angiopoietin-1 receptor) ELISA Kit; Angiopoietin-1 receptor; Endothelial tyrosine kinase; Tunica interna endothelial cell kinase; Tyrosine kinase with Ig and EGF homology domains-2; Tyrosine-protein kinase receptor TEK; Tyrosine-protein kinase receptor TIE-2; hTIE2; p140 TEK; TEK; TIE2; VMCM; VMCM1; p-TIE2 elisa kit
Reactivity
Rat
Assay Type
Sandwich ELISA, Double Antibody
Samples
Serum, Plasma, Cell Culture Supernatant, cell or tissue lysate, Other liquid samples
Detection Range
31.25-2000pg/ml
Sensitivity
18.75pg/ml
Time
4 hours
Preparation and Storage
Store at 2-8 degree C for 12 months
NCBI and Uniprot Product Information
UniProt Accession #
Customer Reviews
Loading reviews...
Share Your Experience
Similar Products
Product Notes
The Rat p-TIE2 (Catalog #AAA253811) is an ELISA Kit and is intended for research purposes only. The product is available for immediate purchase. The AAA253811 ELISA Kit recognizes Rat p-TIE2. It is sometimes possible for the material contained within the vial of "p-TIE2 (Phosphotyrosine Angiopoietin-1 receptor), ELISA Kit" to become dispersed throughout the inside of the vial, particularly around the seal of said vial, during shipment and storage. We always suggest centrifuging these vials to consolidate all of the liquid away from the lid and to the bottom of the vial prior to opening. Please be advised that certain products may require dry ice for shipping and that, if this is the case, an additional dry ice fee may also be required.Precautions
All products in the AAA Biotech catalog are strictly for research-use only, and are absolutely not suitable for use in any sort of medical, therapeutic, prophylactic, in-vivo, or diagnostic capacity. By purchasing a product from AAA Biotech, you are explicitly certifying that said products will be properly tested and used in line with industry standard. AAA Biotech and its authorized distribution partners reserve the right to refuse to fulfill any order if we have any indication that a purchaser may be intending to use a product outside of our accepted criteria.Disclaimer
Though we do strive to guarantee the information represented in this datasheet, AAA Biotech cannot be held responsible for any oversights or imprecisions. AAA Biotech reserves the right to adjust any aspect of this datasheet at any time and without notice. It is the responsibility of the customer to inform AAA Biotech of any product performance issues observed or experienced within 30 days of receipt of said product. To see additional details on this or any of our other policies, please see our Terms & Conditions page.Item has been added to Shopping Cart
If you are ready to order, navigate to Shopping Cart and get ready to checkout.
