Reactivity
Chicken
Samples
Serum, plasma, Cell Culture Supernatants, body fluid and tissue homogenate
Assay Type
Sandwich
Sensitivity
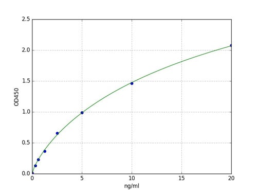
0.1 ng/mL.
Intended Uses
This SDF4 ELISA kit is a 1.5 hour solid-phase ELISA designed for the quantitative determination of Chicken SDF4. This ELISA kit for research use only, not for therapeutic applications!
Preparation and Storage
Store all reagents at 2-8 degree C
Related Product Information for SDF4 elisa kit
Principle of the Assay: SDF4 ELISA kit applies the quantitative sandwich enzyme immunoassay technique. The microtiter plate has been pre-coated with a monoclonal antibody specific for SDF4. Standards or samples are then added to the microtiter plate wells and SDF4 if present, will bind to the antibody pre-coated wells. In order to quantitatively determine the amount of SDF4 present in the sample, a standardized preparation of horseradish peroxidase (HRP) -conjugated polyclonal antibody, specific for SDF4 are added to each well to "sandwich" the SDF4 immobilized on the plate. The microtiter plate undergoes incubation, and then the wells are thoroughly washed to remove all unbound components. Next, substrate solutions are added to each well. The enzyme (HRP) and substrate are allowed to react over a short incubation period. Only those wells that contain SDF4 and enzyme-conjugated antibody will exhibit a change in color. The enzyme-substrate reaction is terminated by addition of a sulphuric acid solution and the color change is measured spectrophotometrically at a wavelength of 450 nm. A standard curve is plotted relating the intensity of the color (O.D.) to the concentration of standards. The SDF4 concentration in each sample is interpolated from this standard curve.
Product Categories/Family for SDF4 elisa kit
NCBI and Uniprot Product Information
NCBI GI #
Molecular Weight
41,807 Da
NCBI Official Full Name
stromal cell derived factor 4
UniProt Protein Name
45 kDa calcium-binding protein
UniProt Gene Name
SDF4
UniProt Synonym Gene Names
CAB45; Cab45; SDF-4
UniProt Entry Name
CAB45_HUMAN
Customer Reviews
Loading reviews...
Share Your Experience
Similar Products
Product Notes
The Chicken SDF4 sdf4 (Catalog #AAA91206) is an ELISA Kit and is intended for research purposes only. The product is available for immediate purchase. The AAA91206 ELISA Kit recognizes Chicken SDF4. It is sometimes possible for the material contained within the vial of "Stromal Cell Derived Factor 4, ELISA Kit" to become dispersed throughout the inside of the vial, particularly around the seal of said vial, during shipment and storage. We always suggest centrifuging these vials to consolidate all of the liquid away from the lid and to the bottom of the vial prior to opening. Please be advised that certain products may require dry ice for shipping and that, if this is the case, an additional dry ice fee may also be required.Precautions
All products in the AAA Biotech catalog are strictly for research-use only, and are absolutely not suitable for use in any sort of medical, therapeutic, prophylactic, in-vivo, or diagnostic capacity. By purchasing a product from AAA Biotech, you are explicitly certifying that said products will be properly tested and used in line with industry standard. AAA Biotech and its authorized distribution partners reserve the right to refuse to fulfill any order if we have any indication that a purchaser may be intending to use a product outside of our accepted criteria.Disclaimer
Though we do strive to guarantee the information represented in this datasheet, AAA Biotech cannot be held responsible for any oversights or imprecisions. AAA Biotech reserves the right to adjust any aspect of this datasheet at any time and without notice. It is the responsibility of the customer to inform AAA Biotech of any product performance issues observed or experienced within 30 days of receipt of said product. To see additional details on this or any of our other policies, please see our Terms & Conditions page.Item has been added to Shopping Cart
If you are ready to order, navigate to Shopping Cart and get ready to checkout.
