Loading...

Skip to main content
Call us at +1-800-604-9114 for more information about our products or contact us online Need help? +1-800-604-9114 or contact us

Filters


Clonality

Type

Reactivity

Gene Name

Isotype

Host

Application

Clone

Viewing 2100-2150 of 265194 product results


product-image-AAA28611_IHC6.jpg IHC (Immunohistchemistry) (Immunohistochemistry analysis of paraffin-embedded Human breast cancer using Phospho-Smad3-S423/S425 Rabbit mAb (AAA28611) at dilution of 1:200 (40x lens). High pressure antigen retrieval performed with 0.01M Citrate Bufferr (pH 6.0) prior to IHC staining.)

Smad3-S423/S425, Monoclonal Antibody (Cat# AAA28611)

No reviews yet
Full Name
Phospho-Smad3-S423/S425 Rabbit mAb
Reactivity
Human
Applications
Western Blot, Immunohistochemistry
Purity
Affinity purification
Pricing
product-image-AAA29066_WB6.jpg WB (Western Blot) (Dilution: Western Blot: 1/500 - 1/2000. Immunofluorescence: 1/200 - 1/1000. ELISA: 1/5000. Not yet tested in other applications.)

Melanopsin, Polyclonal Antibody (Cat# AAA29066)

No reviews yet
Full Name
Melanopsin Polyclonal Antibody
Gene Names
OPN4; MOP
Reactivity
Human
Applications
Western Blot, Immunofluorescence
Pricing
product-image-AAA30215_FCM8.jpg FCM (Flow Cytometry) (Flow cytometric analysis of K562 cells with CDC40 antibody at 1/50 dilution (red) compared with an unlabelled control (cells without incubation with primary antibody; black). Alexa Fluor 488-conjugated goat anti rabbit IgG was used as the secondary antibody.)

CDC40, Monoclonal Antibody (Cat# AAA30215)

No reviews yet
Full Name
CDC40 Antibody
Gene Names
CDC40; EHB3; PRP17; PRPF17
Reactivity
Human, Mouse, Rat
Applications
Western Blot, Immunocytochemistry, Immunofluorescence, Immunohistochemistry, Flow Cytometry
Purity
ProA affinity purified
Pricing
product-image-AAA30762_IF11.png IF (Immunofluorescence) (Immunofluorescence analysis of human-lung tissue. 1,BMP-2 Polyclonal Antibody(red) was diluted at 1:200(4 degree C,overnight). 2, Cy3 labled Secondary antibody was diluted at 1:300(room temperature, 50min).3, Picture B: DAPI(blue) 10min. Picture A:Target. Picture B: DAPI. Picture C: merge of A+B)

BMP-2, Polyclonal Antibody (Cat# AAA30762)

No reviews yet
Full Name
BMP-2 Rabbit Polyclonal Antibody
Gene Names
BMP2; BDA2; BMP2A
Reactivity
Human, Mouse, Rat
Applications
Immunofluorescence, Immunocytochemistry, Western Blot, Immunohistochemistry
Purity
The antibody was affinity-purified from rabbit antiserum by affinity-chromatography using epitope-specific immunogen.
Pricing
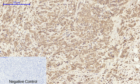
product-image-AAA26967_IHC3.jpg IHC (Immunohistochemistry) (Immunohistochemistry of paraffin-embedded human prostate cancer using AAA26967 at dilution of 1:100)

SPDEF, Polyclonal Antibody (Cat# AAA26967)

No reviews yet
Full Name
SPDEF Antibody
Gene Names
SPDEF; PDEF; bA375E1.3
Reactivity
Human, Mouse
Applications
Western Blot, Immunohistochemistry
Purity
>95%, Protein G purified
Pricing
product-image-AAA10710_IHC9.jpg IHC (Immunohistchemistry) (Immunohistochemistry of paraffin-embedded human rectum using CDX2 antibody at dilution of 1:100 (40x lens).)

CDX2, Polyclonal Antibody (Cat# AAA10710)

No reviews yet
Full Name
CDX2 Polyclonal Antibody
Gene Names
CDX2; CDX3; CDX-3; CDX2/AS
Reactivity
Human, Mouse, Rat
Applications
Western Blot, Immunohistochemistry
Purity
Affinity Purification
Pricing
product-image-AAA10743_IHC9.jpg IHC (Immunohistchemistry) (Immunohistochemistry of paraffin-embedded human rectal cancer using CDK4 Antibody at dilution of 1:100 (40x lens).)

CDK4, Polyclonal Antibody (Cat# AAA10743)

No reviews yet
Full Name
CDK4 Polyclonal Antibody
Gene Names
CDK4; CMM3; PSK-J3
Reactivity
Human, Mouse, Rat
Applications
Western Blot, Immunohistochemistry, Immunofluorescence
Purity
Affinity Purification
Pricing
product-image-AAA12210_APP10.gif Application Data (Staining of human peripheral blood granulocytes with Mouse anti Human CD13: Alexa Fluor 647)

CD13, Monoclonal Antibody (Cat# AAA12210)

No reviews yet
Full Name
MOUSE ANTI HUMAN CD13:Low Endotoxin
Gene Names
ANPEP; APN; CD13; LAP1; P150; PEPN; GP150
Applications
Immunohistochemistry, Flow Cytometry, Functional Assay, Immunoprecipitation
Pricing
product-image-AAA24165_WB6.jpg WB (Western Blot) (CDK2 monoclonal antibody. Western Blot analysis of CDK2 expression in Jurkat.)

CDK2, Monoclonal Antibody (Cat# AAA24165)

No reviews yet
Full Name
CDK2 (Cell Division Protein Kinase 2, p33 Protein Kinase) (AP)
Gene Names
CDK2; CDKN2; p33(CDK2)
Reactivity
Human
Applications
Western Blot
Purity
Purified by Protein A Affinity Chromatography.
Pricing
product-image-AAA24424_APP7.jpg Application Data

AHR, Monoclonal Antibody (Cat# AAA24424)

No reviews yet
Full Name
AHR (Aryl Hydrocarbon Receptor, Ah Receptor, AhR, Class E Basic Helix-loop-helix Protein 76, bHLHe76, BHLHE76) (APC)
Gene Names
AHR; bHLHe76
Reactivity
Human
Applications
Immunofluorescence, Immunoprecipitation, Western Blot
Purity
Purified by Protein A Affinity Chromatography.
Pricing
product-image-AAA25713_WB7.jpg WB (Western Blot) (HHIP monoclonal antibody. Western Blot analysis of HHIP expression in MCF-7.)

HHIP, Monoclonal Antibody (Cat# AAA25713)

No reviews yet
Full Name
HHIP (Hedgehog-interacting Protein, HHIP, HIP, UNQ5825/PRO19644, FLJ20992, FLJ90230) (PE)
Gene Names
HHIP; HIP
Reactivity
Human
Applications
Immunohistochemistry, Immunoprecipitation, Western Blot
Purity
Purified by Protein A Affinity Chromatography.
Pricing
product-image-AAA25366_WB6.jpg WB (Western Blot) (DAAM1 monoclonal antibody Western Blot analysis of DAAM1 expression in A-431.)

DAAM1, Monoclonal Antibody (Cat# AAA25366)

No reviews yet
Full Name
DAAM1 (Disheveled-associated Activator Of Morphogenesis 1, KIAA0666) (HRP)
Reactivity
Human, Rat
Applications
Western Blot
Purity
Purified by Protein A Affinity Chromatography.
Pricing
product-image-AAA27738_IHC7.png IHC (Immunohistochemistry) (Immunochemical staining of human RAB1A in rat small intestine with rabbit polyclonal antibody at 1:200 dilution, formalin-fixed paraffin embedded sections.)

RAB1A, Polyclonal Antibody (Cat# AAA27738)

No reviews yet
Full Name
Anti-RAB1A Antibody, Rabbit Polyclonal
Gene Names
RAB1A; RAB1; YPT1
Reactivity
Human
Predicted to React with: Pig (Species predicted to react based on 100% sequence homology)
Applications
Western Blot, Immunohistochemistry
Purity
Protein A & Antigen Affinity
Pricing
product-image-AAA26521_WB6.jpg WB (Western Blot) (RNF2 monoclonal antibody (M03), clone 3G6. Western Blot analysis of RNF2 expression in Raw 264.7.)

RNF2, Monoclonal Antibody (Cat# AAA26521)

No reviews yet
Full Name
RNF2 (RING Finger Protein 2, BAP-1, BAP1, DING, HIPI3, Ring1B, Ring2) (HRP)
Gene Names
RNF2; BAP1; DING; BAP-1; HIPI3; RING2; RING1B
Applications
Immunofluorescence, Western Blot
Purity
Purified
Pricing
product-image-AAA28731_WB.jpg WB (Western Blot) (Anti-MASP2 Antibody at 1:1000 dilution + HeLa whole cell lysatesLysates/proteins at 20 ug per lane.SecondaryGoat Anti-Rabbit IgG, (H+L),Peroxidase conjugated at 1/10000 dilutionPredicted band size : 76 kDaBlocking/Dilution buffer: 5% NFDM/TBST.)

MASP2, Polyclonal Antibody (Cat# AAA28731)

No reviews yet
Full Name
MASP2 Antibody
Gene Names
MASP2; sMAP; MAP19; MASP-2; MASP1P1
Reactivity
Human, Mouse
Applications
Western Blot
Purity
Purified Rabbit Polyclonal Antibody (Pab)
Pricing
product-image-AAA28849_IHC6.jpg IHC (Immunohistchemistry) (Dilution: Western Blot: 1/500 - 1/2000. IHC-p: 1:100-300 ELISA: 1/20000. Not yet tested in other applications.)

p73, Polyclonal Antibody (Cat# AAA28849)

No reviews yet
Full Name
p73 (Acetyl Lys321) Polyclonal Antibody
Gene Names
TP73; P73
Reactivity
Human
Applications
Western Blot, Immunohistochemistry
Pricing
product-image-AAA30536_ICC8.jpg ICC (Immunocytochemistry) (ICC staining Histone H4 (acetyl K5) in SH-SY-5Y cells (green). Cells were fixed in paraformaldehyde, permeabilised with 0.25% Triton X100/PBS.)

Histone H4, Monoclonal Antibody (Cat# AAA30536)

No reviews yet
Full Name
Histone H4 (Acetyl K5) Antibody
Gene Names
HIST2H4B; H4/o
Reactivity
Human, Mouse, Rat
Applications
Western Blot, Immunocytochemistry, Immunofluorescence, Immunohistochemistry, Immunoprecipitation
Purity
ProA affinity purified
Pricing
product-image-AAA30561_WB8.jpg WB (Western Blot) (Western blot analysis of extracts of various cell lines, using ZNF346 antibody at 1:1000 dilution.)

ZNF346, Polyclonal Antibody (Cat# AAA30561)

No reviews yet
Full Name
ZNF346 Polyclonal Antibody
Gene Names
ZNF346; JAZ; Zfp346
Reactivity
Human, Mouse, Rat
Applications
Western Blot, Immunohistochemistry, Immunofluorescence
Purity
Affinity purification
Pricing
product-image-AAA30566_IF9.jpg IF (Immunofluorescence) (Immunofluorescence analysis of U-2 OS cells using GANAB antibody at dilution of 1:100. Blue: DAPI for nuclear staining.)

GANAB, Polyclonal Antibody (Cat# AAA30566)

No reviews yet
Full Name
GANAB Polyclonal Antibody
Reactivity
Human, Mouse, Rat
Applications
Western Blot, Immunohistochemistry, Immunofluorescence
Purity
Affinity purification
Pricing
product-image-AAA30649_IF8.jpg IF (Immunofluorescence) (Immunofluorescence analysis of C6 cells using USP18 antibody.)

USP18, Polyclonal Antibody (Cat# AAA30649)

No reviews yet
Full Name
USP18 Rabbit Polyclonal Antibody
Gene Names
USP18; ISG43; UBP43
Reactivity
Human, Mouse, Rat
Applications
Western Blot, Immunohistochemistry, Immunofluorescence
Purity
Affinity purification
Pricing
product-image-AAA28233_IF7.jpg IF (Immunofluorescence) (Immunofluorescence analysis of BT-20 cells using MCL1 antibody.)

MCL1, Monoclonal Antibody (Cat# AAA28233)

No reviews yet
Full Name
MCL1 Monoclonal Antibody
Gene Names
MCL1; TM; EAT; MCL1L; MCL1S; Mcl-1; BCL2L3; MCL1-ES; bcl2-L-3; mcl1/EAT
Reactivity
Human, Mouse, Rat
Applications
Western Blot, Immunohistochemistry, Immunofluorescence, Immunoprecipitation
Purity
Affinity Purification
Pricing
product-image-AAA28290_IHC6.jpg IHC (Immunohistchemistry) (Immunohistochemistry of paraffin-embedded mouse kidney using C9orf72 Rabbit pAb (AAA28290) at dilution of 1:100 (40x lens).)

C9orf72, Polyclonal Antibody (Cat# AAA28290)

No reviews yet
Full Name
C9orf72 Polyclonal Antibody
Gene Names
C9orf72; ALSFTD; DENND9; FTDALS; DENNL72; FTDALS1
Applications
Western Blot, Immunohistochemistry, Immunofluorescence
Purity
Affinity Purification
Pricing
product-image-AAA29993_FCM7.jpg FCM (Flow Cytometry) (Flow cytometric analysis of Jurkat cells with Caspase-2 antibody at 1/50 dilution (blue) compared with an unlabelled control (cells without incubation with primary antibody; red). Alexa Fluor 488-conjugated goat anti rabbit IgG was used as the secondary antibody.)

Caspase-2, Monoclonal Antibody (Cat# AAA29993)

No reviews yet
Full Name
Caspase-2 Antibody
Gene Names
CASP2; ICH1; NEDD2; CASP-2; NEDD-2; PPP1R57
Reactivity
Human, Mouse
Applications
Western Blot, Immunocytochemistry, Immunofluorescence, Immunohistochemistry, Flow Cytometry
Purity
ProA affinity purified
Pricing
product-image-AAA29902_FCM7.jpg FCM (Flow Cytometry) (Flow cytometric analysis of Hela cells with CFHR5 antibody at 1/100 dilution (green) compared with an unlabelled control (cells without incubation with primary antibody; red).)

CFHR5, Monoclonal Antibody (Cat# AAA29902)

No reviews yet
Full Name
CFHR5 Antibody
Gene Names
CFHR5; FHR5; CFHL5; FHR-5; CFHR5D
Reactivity
Human, Mouse
Applications
Western Blot, Immunocytochemistry, Immunohistochemistry, Flow Cytometry
Purity
ProA affinity purified
Pricing
product-image-AAA30094_FCM9.jpg FCM (Flow Cytometry) (Flow cytometric analysis of Hela cells with ATP citrate lyase antibody at 1/50 dilution (blue) compared with an unlabelled control (cells without incubation with primary antibody; red). Alexa Fluor 488-conjugated goat anti rabbit IgG was used as the secondary antibody.)

ATP, Monoclonal Antibody (Cat# AAA30094)

No reviews yet
Full Name
ATP Citrate Lyase Antibody
Gene Names
ACLY; ACL; ATPCL; CLATP
Reactivity
Human, Mouse, Rat
Applications
Western Blot, Immunocytochemistry, Immunofluorescence, Immunohistochemistry, Immunoprecipitation, Flow Cytometry
Purity
ProA affinity purified
Pricing
product-image-AAA29837_IF8.jpg IF (Immunofluorescence) (Immunofluorescence analysis of HeLa cells using DNAJB6 antibody.)

DNAJB6, Polyclonal Antibody (Cat# AAA29837)

No reviews yet
Full Name
DNAJB6 Polyclonal Antibody
Gene Names
DNAJB6; DJ4; MRJ; DnaJ; HSJ2; HHDJ1; HSJ-2; MSJ-1; LGMD1D; LGMD1E
Reactivity
Human, Mouse, Rat
Applications
Western Blot, Immunohistochemistry, Immunofluorescence
Purity
Affinity purification
Pricing
product-image-AAA19050_SC.jpg Standard Curve (Sample)

High mobility group protein B1, HMGB1, ELISA Kit (Cat# AAA19050)

No reviews yet
Full Name
Canine High mobility group protein B1, HMGB1 ELISA Kit
Reactivity
Canine
Pricing
product-image-AAA25929_APP6.jpg Application Data (Detection limit for recombinant GST tagged EIF2AK2 is approximately 0.03ng/ml as a capture antibody.)

EIF2AK2, Monoclonal Antibody (Cat# AAA25929)

No reviews yet
Full Name
EIF2AK2 (Eukaryotic Translation Initiation Factor 2-alpha Kinase 2, EIF2AK1, MGC126524, PKR, PRKR) (AP)
Gene Names
EIF2AK2; PKR; PRKR; EIF2AK1; PPP1R83
Applications
Immunohistochemistry, Western Blot
Purity
Purified
Pricing
product-image-AAA25703_WB6.jpg WB (Western Blot) (GNRHR2 monoclonal antibody, Western Blot analysis of GNRHR2 expression in HeLa.)

GNRHR2, Monoclonal Antibody (Cat# AAA25703)

No reviews yet
Full Name
GNRHR2 (Putative Gonadotropin-releasing Hormone II Receptor, GnRH II Receptor, GnRH-II-R, Type II GnRH Receptor) (PE)
Gene Names
FZD2; Fz2; fz-2; fzE2; hFz2; OMOD2
Reactivity
Human, Mouse
Applications
Western Blot
Purity
Purified by Protein A Affinity Chromatography.
Pricing
product-image-AAA26486_APP6.jpg Application Data (Detection limit for recombinant GST tagged CHUK is 0.03 ng/ml as a capture antibody.)

CHUK, Monoclonal Antibody (Cat# AAA26486)

No reviews yet
Full Name
CHUK (conserved Helix-loop-Helix ubiquitous Kinase, IKBKA, IKK-alpha, IKK1, IKKA, NFKBIKA, TCF16) (HRP)
Gene Names
CHUK; IKK1; IKKA; IKBKA; TCF16; NFKBIKA; IKK-alpha
Applications
Immunofluorescence, Immunohistochemistry, Western Blot
Purity
Purified
Pricing
product-image-AAA28275_IF7.jpg IF (Immunofluorescence) (Immunofluorescence analysis of U-2 OS cells using DYNLL1 Rabbit pAb (AAA28275) at dilution of 1:100 (40x lens). Blue: DAPI for nuclear staining.)

DYNLL1, Polyclonal Antibody (Cat# AAA28275)

No reviews yet
Full Name
DYNLL1 Polyclonal Antibody
Gene Names
DYNLL1; LC8; PIN; DLC1; DLC8; LC8a; DNCL1; hdlc1; DNCLC1
Applications
Western Blot, Immunohistochemistry, Immunofluorescence
Purity
Affinity Purification
Pricing
product-image-AAA28992_IHC6.jpg IHC (Immunohistchemistry) (Dilution: Western Blot: 1/500 - 1/2000. Immunohistochemistry: 1/100 - 1/300. ELISA: 1/40000. Not yet tested in other applications.)

CEP135, Polyclonal Antibody (Cat# AAA28992)

No reviews yet
Full Name
CEP135 Polyclonal Antibody
Gene Names
CEP135; CEP4; MCPH8; KIAA0635
Reactivity
Human, Mouse
Applications
Western Blot, Immunohistochemistry
Pricing
product-image-AAA28436_IF6.jpg IF (Immunofluorescence) (Immunofluorescence analysis of U-2 OS cells using NDUFA4 Polyclonal Antibody at dilution of 1:100 (40x lens). Blue: DAPI for nuclear staining.)

NDUFA4, Polyclonal Antibody (Cat# AAA28436)

No reviews yet
Full Name
NDUFA4 Rabbit pAb
Gene Names
SHMT2; GLYA; SHMT; HEL-S-51e
Reactivity
Human
Applications
Western Blot, Immunohistochemistry, Immunofluorescence, Immunocytochemistry
Purity
Affinity purification
Pricing
product-image-AAA29913_FCM8.jpg FCM (Flow Cytometry) (Flow cytometric analysis of Hela cells with BMI1 antibody at 1/100 dilution (blue) compared with an unlabelled control (cells without incubation with primary antibody; red). Goat anti mouse IgG (FITC) was used as the secondary antibody.)

BMI1, Monoclonal Antibody (Cat# AAA29913)

No reviews yet
Full Name
BMI1 Antibody
Gene Names
BMI1; PCGF4; RNF51; FLVI2/BMI1
Reactivity
Human, Mouse, Rat
Applications
Western Blot, Immunocytochemistry, Immunohistochemistry, Flow Cytometry
Purity
ProA affinity purified
Pricing
product-image-AAA21289_WB7.jpg WB (Western Blot) (Western blot analysis of extracts of various cell lines.)

ASNS, Polyclonal Antibody (Cat# AAA21289)

No reviews yet
Full Name
Anti-ASNS Antibody
Gene Names
ASNS; TS11; ASNSD
Reactivity
Human
Predicted: Mouse, Rat
Applications
Immunofluorescence, Immunohistochemistry, Immunohistochemistry, Western Blot
Purity
Affinity Purified
Pricing
product-image-AAA22287_IF6.jpg IF (Immunofluorescence) (Immunofluorescence analysis of A-431 cells using CD141/Thrombomodulin Polyclonal Antibody at dilution of 1:100 (40x lens). Blue: DAPI for nuclear staining.)

CD141/Thrombomodulin, Polyclonal Antibody (Cat# AAA22287)

No reviews yet
Full Name
CD141/Thrombomodulin Polyclonal Antibody
Gene Names
THBD; TM; THRM; AHUS6; BDCA3; CD141; THPH12
Reactivity
Human, Mouse, Rat
Applications
Western Blot, Immunohistochemistry, Immunofluorescence
Purity
Affinity purification
Pricing
product-image-AAA24583_WB7.jpg WB (Western Blot) (NEK10 monoclonal antibody, Western Blot analysis of NEK10 expression in HeLa.)

NEK10, Monoclonal Antibody (Cat# AAA24583)

No reviews yet
Full Name
NEK10 (Never in Mitosis A-related Kinase 10, NimA-related Protein Kinase 10, FLJ32685, Serine/Threonine Protein Kinase Nek10, FLJ32685) APC
Reactivity
Human, Mouse
Applications
Immunofluorescence, Western Blot
Purity
Purified by Protein A Affinity Chromatography.
Pricing
product-image-AAA25209_APP7.jpg Application Data (Detection limit for recombinant GST tagged PLK1 is ~1ng/ml as a capture antibody.)

PLK1, Monoclonal Antibody (Cat# AAA25209)

No reviews yet
Full Name
PLK1 (STPK13, Polo-like Kinase 1, Serine/Threonine-protein Kinase 13, Serine/Threonine-protein Kinase PLK1, PLK, PLK-1) (FITC)
Gene Names
PLK1; PLK; STPK13
Reactivity
Human
Applications
Immunofluorescence, Immunoprecipitation, Western Blot
Purity
Purified by Protein A Affinity Chromatography.
Pricing
product-image-AAA30348_FCM8.jpg FCM (Flow Cytometry) (Flow cytometric analysis of Jurkat cells with NFAT2 antibody at 1/100 dilution (red) compared with an unlabelled control (cells without incubation with primary antibody; black).)

NFAT2, Monoclonal Antibody (Cat# AAA30348)

No reviews yet
Full Name
NFAT2 Antibody
Gene Names
NFATC1; NFAT2; NFATc; NF-ATC
Reactivity
Human
Applications
Western Blot, Immunocytochemistry, Immunohistochemistry, Flow Cytometry
Purity
ProA affinity purified
Pricing
product-image-AAA31313_APP10.jpg Application Data (At 25 degree C. Samples were then incubated with primary Ab(At 37 degree C. An AlexaFluor594 conjugated goat anti-rabbit IgG(H+L) Ab(Red) and an AlexaFluor488 conjugated goat anti-mouse IgG(H+L) Ab(Green) were used as the secondary antibody.The nuclear counter stain is DAPI (blue).)

FOXO3A, Polyclonal Antibody (Cat# AAA31313)

No reviews yet
Full Name
Acetyl-FOXO3A (Lys271) Antibody
Gene Names
FOXO3; FOXO2; AF6q21; FKHRL1; FOXO3A; FKHRL1P2
Reactivity
Human, Mouse, Rat
Applications
Immunohistochemistry, Immunofluorescence, Immunocytochemistry, Peptide ELISA
Purity
The antiserum was purified by peptide affinity chromatography using SulfoLink Coupling Resin
Pricing
product-image-AAA30899_APP9.png Application Data

Her-2, Monoclonal Antibody (Cat# AAA30899)

No reviews yet
Full Name
Her-2 (ABT077) Antibody
Gene Names
ERBB2; NEU; NGL; HER2; TKR1; CD340; HER-2; MLN 19; HER-2/neu
Reactivity
Human
Applications
Immunohistochemistry, Western Blot, Immunofluorescence
Purity
Protein G
Pricing
product-image-AAA25004_WB7.jpg WB (Western Blot) (ACBD3 monoclonal antibody. Western Blot analysis of ACBD3 expression in PC-12.)

ACBD3, Monoclonal Antibody (Cat# AAA25004)

No reviews yet
Full Name
ACBD3 (Golgi Resident Protein GCP60, Acyl-CoA-binding Domain-containing Protein 3, Golgi Complex-associated Protein 1, GOCAP1, Golgi Phosphoprotein 1, GOLPH1, PBR- and PKA-associated Protein 7, Peripheral Benzodiazepine Receptor-associated Protein PAP7, G
Gene Names
ACBD3; PAP7; GCP60; GOCAP1; GOLPH1
Reactivity
Human, Mouse, Rat
Applications
EIA, IF, IHC, WB
Purity
Purified by Protein A Affinity Chromatography.
Pricing
product-image-AAA19064_SC.jpg Standard Curve (Sample)

Collagen alpha-2 (6) chain, COL6A2, ELISA Kit (Cat# AAA19064)

No reviews yet
Full Name
Human Collagen alpha-2 (6) chain, COL6A2 ELISA Kit
Reactivity
Human
Pricing
product-image-AAA11937_APP6.gif Application Data (Staining of human peripheral blood lymphocytes with Mouse anti Human CD20: Pacific Blue (AAA11937PB))

CD20, Monoclonal Antibody (Cat# AAA11937)

No reviews yet
Full Name
MOUSE ANTI HUMAN CD20
Gene Names
MS4A1; B1; S7; Bp35; CD20; CVID5; MS4A2; LEU-16
Reactivity
Rhesus Monkey
Applications
Immunohistochemistry, Flow Cytometry
Pricing
product-image-AAA19785_IF6.jpg IF (Immunofluorescence) (Figure 6. IF analysis of Islet 1/ISL1 using anti-Islet 1/ISL1 antibody (AAA19785).Islet 1/ISL1 was detected in a paraffin-embedded section of rat brain tissue. Heat mediated antigen retrieval was performed in EDTA buffer (pH 8.0, epitope retrieval solution). The tissue section was blocked with 10% goat serum. The tissue section was then incubated with 5ug/mL rabbit anti-Islet 1/ISL1 Antibody (AAA19785) overnight at 4 degree C. FITC Conjugated Goat Anti-Rabbit IgG (BA1105) was used as secondary antibody at 1:500 dilution and incubated for 30 minutes at 37 degree C. Visualize using a fluorescence microscope and filter sets appropriate for the label used.)

Islet 1/ISL1, Polyclonal Antibody (Cat# AAA19785)

No reviews yet
Full Name
Anti-Islet 1/ISL1 Antibody Picoband
Gene Names
ISL1; Isl-1; ISLET1
Reactivity
Human, Mouse, Rat
Applications
Immunofluorescence, Immunohistochemistry, Immunocytochemistry, Western Blot
Purity
Immunogen affinity purified.
Pricing
product-image-AAA19716_FCM6.png FCM (Flow Cytometry) (Figure 6. Flow Cytometry analysis of U2OS cells using anti-Sorbitol Dehydrogenase/SORD antibody (AAA19716).Overlay histogram showing U2OS cells stained with AAA19716 (Blue line). The cells were blocked with 10% normal goat serum. And then incubated with mouse anti-Sorbitol Dehydrogenase/SORD Antibody (AAA19716, 1 ug/1x10^6 cells) for 30 min at 20 degree C. DyLight488 conjugated goat anti-mouse IgG was used as secondary antibody for 30 minutes at 20 degree C. Isotype control antibody (Green line) was mouse IgG (1 ug/1x10^6) used under the same conditions. Unlabelled sample (Red line) was also used as a control.)

Sorbitol Dehydrogenase/SORD, Monoclonal Antibody (Cat# AAA19716)

No reviews yet
Full Name
Anti-Sorbitol Dehydrogenase/SORD Antibody Picoband (monoclonal, 12B10G2)
Gene Names
SORD; SORD1; HEL-S-95n
Reactivity
Human, Mouse, Rat
Applications
Western Blot, Immunohistochemistry, Flow Cytometry
Purity
Immunogen affinity purified.
Pricing
product-image-AAA20266_SDS_PAGE2.jpg SDS-PAGE

Growth Arrest Specific Protein 6 (GAS6), Recombinant Protein (Cat# AAA20266)

No reviews yet
Full Name
Recombinant Growth Arrest Specific Protein 6 (GAS6)
Reactivity
Rattus norvegicus (Rat)
Applications
Western Blot
Purity
> 97%
Pricing
product-image-AAA19665_IF7.jpg IF (Immunofluorescence) (Figure 7. IF analysis of Cytokeratin 5 using anti-Cytokeratin 5 antibody (AAA19665).Cytokeratin 5 was detected in a paraffin-embedded section of human lung cancer tissue. Heat mediated antigen retrieval was performed in EDTA buffer (pH 8.0, epitope retrieval solution). The tissue section was blocked with 10% goat serum. The tissue section was then incubated with 5 ug/mL mouse anti-Cytokeratin 5 Antibody (AAA19665) overnight at 4 degree C. Biotin conjugated goat anti-mouse IgG (BA1001) was used as secondary antibody and incubated for 30 minutes at 37 degree C. The tissue section was developed using DyLight488 Conjugated Avidin (BA1128). The section was counterstained with DAPI. Visualize using a fluorescence microscope and filter sets appropriate for the label used.)

Cytokeratin 5, Monoclonal Antibody (Cat# AAA19665)

No reviews yet
Full Name
Anti-Cytokeratin 5 Antibody Picoband (monoclonal, 5D3F7)
Gene Names
KRT5; K5; CK5; DDD; EBS2; KRT5A
Reactivity
Human
Applications
WB, IHC, ICC, IF, FC/FACS
Purity
Immunogen affinity purified.
Pricing
product-image-AAA12168_APP10.gif Application Data (Staining of J774 cells with Rat anti Mouse F4/80 antigen Biotin)

F4/80, Monoclonal Antibody (Cat# AAA12168)

No reviews yet
Full Name
RAT ANTI MOUSE F4/80:FITC
Gene Names
Emr1; Ly71; F4/80; Gpf480; TM7LN3; DD7A5-7; EGF-TM7
Applications
Flow Cytometry, Immunofluorescence
Pricing
product-image-AAA13486_SC.jpg Standard Curve (Sample)

BAFF, ELISA Kit (Cat# AAA13486)

No reviews yet
Full Name
BAFF Human ELISA Kit
Reactivity
Human
Applications
ELISA
Pricing

Submit a Question

Please complete the form below and a representative will contact you as soon as possible.

Request more Information

Please complete the form below and a representative will contact you as soon as possible.

Request a Manual

Please complete the form below and a representative will contact you as soon as possible.

Request a Quote

Please complete the form below and a representative will contact you as soon as possible.