Loading...

Skip to main content
Call us at +1-800-604-9114 for more information about our products or contact us online Need help? +1-800-604-9114 or contact us

Filters


Clonality

Type

Reactivity

Gene Name

Isotype

Host

Application

Clone

Viewing 2150-2200 of 265194 product results


product-image-AAA19785_IF6.jpg IF (Immunofluorescence) (Figure 6. IF analysis of Islet 1/ISL1 using anti-Islet 1/ISL1 antibody (AAA19785).Islet 1/ISL1 was detected in a paraffin-embedded section of rat brain tissue. Heat mediated antigen retrieval was performed in EDTA buffer (pH 8.0, epitope retrieval solution). The tissue section was blocked with 10% goat serum. The tissue section was then incubated with 5ug/mL rabbit anti-Islet 1/ISL1 Antibody (AAA19785) overnight at 4 degree C. FITC Conjugated Goat Anti-Rabbit IgG (BA1105) was used as secondary antibody at 1:500 dilution and incubated for 30 minutes at 37 degree C. Visualize using a fluorescence microscope and filter sets appropriate for the label used.)

Islet 1/ISL1, Polyclonal Antibody (Cat# AAA19785)

No reviews yet
Full Name
Anti-Islet 1/ISL1 Antibody Picoband
Gene Names
ISL1; Isl-1; ISLET1
Reactivity
Human, Mouse, Rat
Applications
Immunofluorescence, Immunohistochemistry, Immunocytochemistry, Western Blot
Purity
Immunogen affinity purified.
Pricing
product-image-AAA20266_SDS_PAGE2.jpg SDS-PAGE

Growth Arrest Specific Protein 6 (GAS6), Recombinant Protein (Cat# AAA20266)

No reviews yet
Full Name
Recombinant Growth Arrest Specific Protein 6 (GAS6)
Reactivity
Rattus norvegicus (Rat)
Applications
Western Blot
Purity
> 97%
Pricing
product-image-AAA19665_IF7.jpg IF (Immunofluorescence) (Figure 7. IF analysis of Cytokeratin 5 using anti-Cytokeratin 5 antibody (AAA19665).Cytokeratin 5 was detected in a paraffin-embedded section of human lung cancer tissue. Heat mediated antigen retrieval was performed in EDTA buffer (pH 8.0, epitope retrieval solution). The tissue section was blocked with 10% goat serum. The tissue section was then incubated with 5 ug/mL mouse anti-Cytokeratin 5 Antibody (AAA19665) overnight at 4 degree C. Biotin conjugated goat anti-mouse IgG (BA1001) was used as secondary antibody and incubated for 30 minutes at 37 degree C. The tissue section was developed using DyLight488 Conjugated Avidin (BA1128). The section was counterstained with DAPI. Visualize using a fluorescence microscope and filter sets appropriate for the label used.)

Cytokeratin 5, Monoclonal Antibody (Cat# AAA19665)

No reviews yet
Full Name
Anti-Cytokeratin 5 Antibody Picoband (monoclonal, 5D3F7)
Gene Names
KRT5; K5; CK5; DDD; EBS2; KRT5A
Reactivity
Human
Applications
WB, IHC, ICC, IF, FC/FACS
Purity
Immunogen affinity purified.
Pricing
product-image-AAA12168_APP10.gif Application Data (Staining of J774 cells with Rat anti Mouse F4/80 antigen Biotin)

F4/80, Monoclonal Antibody (Cat# AAA12168)

No reviews yet
Full Name
RAT ANTI MOUSE F4/80:FITC
Gene Names
Emr1; Ly71; F4/80; Gpf480; TM7LN3; DD7A5-7; EGF-TM7
Applications
Flow Cytometry, Immunofluorescence
Pricing
product-image-AAA13486_SC.jpg Standard Curve (Sample)

BAFF, ELISA Kit (Cat# AAA13486)

No reviews yet
Full Name
BAFF Human ELISA Kit
Reactivity
Human
Applications
ELISA
Pricing
product-image-AAA24896_APP6.jpg Application Data (Detection limit for recombinant GST tagged PCNA is ~0.1ng/ml as a capture antibody.)

PCNA, Monoclonal Antibody (Cat# AAA24896)

No reviews yet
Full Name
PCNA (Proliferating Cell Nuclear Antigen, Cyclin, MGC8367) (Biotin)
Gene Names
PCNA; ATLD2
Reactivity
Human
Applications
Immunofluorescence, Immunoprecipitation, Western Blot
Purity
Purified by Protein A Affinity Chromatography.
Pricing
product-image-AAA26158_WB6.jpg WB (Western Blot) (FGR monoclonal antibody (M01), clone 3G10. Western Blot analysis of FGR expression in Raw 264.7.)

FGR, Monoclonal Antibody (Cat# AAA26158)

No reviews yet
Full Name
FGR (Gardner-Rasheed feline Sarcoma Viral (v-fgr) Oncogene homolog, FLJ43153, MGC75096, SRC2, c-fgr, c-src2, p55c-fgr, p58c-fgr) (Biotin)
Gene Names
FGR; SRC2; c-fgr; c-src2; p55-Fgr; p58-Fgr; p55c-fgr; p58c-fgr
Applications
Immunohistochemistry, Western Blot
Purity
Purified
Pricing
product-image-AAA26453_APP6.jpg Application Data (Detection limit for recombinant GST tagged HDAC1 is approximately 1ng/ml as a capture antibody.)

HDAC1, Monoclonal Antibody (Cat# AAA26453)

No reviews yet
Full Name
HDAC1 (Histone Deacetylase 1, DKFZp686H12203, GON-10, HD1, RPD3, RPD3L1) (HRP)
Gene Names
HDAC1; HD1; RPD3; KDAC1; GON-10; RPD3L1
Applications
Immunofluorescence, Immunohistochemistry, Western Blot
Purity
Purified
Pricing
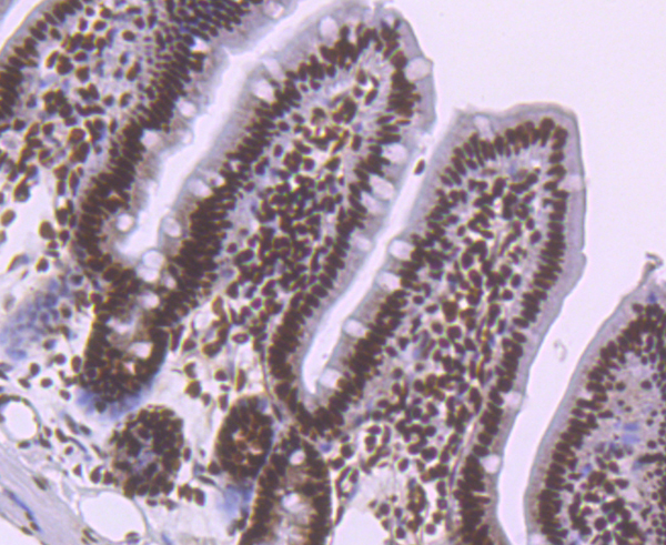
product-image-AAA28105_IHC9.jpg IHC (Immunohistchemistry) (Immunohistochemistry of paraffin-embedded rat stomach using PPP1R8 Antibody at dilution of 1:100 (40x lens).)

PPP1R8, Polyclonal Antibody (Cat# AAA28105)

No reviews yet
Full Name
PPP1R8 Polyclonal Antibody
Gene Names
PPP1R8; ARD1; ARD-1; NIPP1; NIPP-1; PRO2047
Reactivity
Human, Mouse, Rat
Applications
Western Blot, Immunohistochemistry
Purity
Affinity Purification
Pricing
product-image-AAA22079_SC.jpg Standard Curve (Sample)

serum iron, Assay Kit (Cat# AAA22079)

No reviews yet
Full Name
serum iron assay kit (Colorimetric method)
Pricing
product-image-AAA13034_SC.jpg Standard Curve (Sample)

Gastrin Releasing Peptide (GRP), ELISA Kit (Cat# AAA13034)

No reviews yet
Full Name
Mouse Gastrin Releasing Peptide (GRP) ELISA Kit
Gene Names
GRP; BN; GRP-10; proGRP; preproGRP
Reactivity
Mouse
Pricing
product-image-AAA10782_IHC6.jpg IHC (Immunohistchemistry) (Immunohistochemistry of paraffin-embedded mouse brain using PDYN antibody at dilution of 1:100 (40x lens).)

PDYN, Polyclonal Antibody (Cat# AAA10782)

No reviews yet
Full Name
PDYN
Gene Names
PDYN; ADCA; PENKB; SCA23
Reactivity
Human, Mouse, Rat
Applications
Western Blot, Immunohistochemistry
Pricing
product-image-AAA18550_SDS_PAGE.jpg SDS-PAGE

Nucleoside diphosphate kinase (YNK1), Recombinant Protein (Cat# AAA18550)

No reviews yet
Full Name
Recombinant Saccharomyces cerevisiae Nucleoside diphosphate kinase (YNK1)
Gene Names
YNK1; NDK1
Purity
Greater or equal to 85% purity as determined by SDS-PAGE.
Pricing
product-image-AAA11678_FCM6.png FCM (Flow Cytometry) (Figure 6. Flow Cytometry analysis of Hela cells using anti-CD147/Emmprin antibody (AAA11678).Overlay histogram showing Hela cells stained with AAA11678 (Blue line).The cells were blocked with 10% normal goat serum. And then incubated with rabbit anti-CD147/Emmprin Antibody (AAA11678,1ug/1x10^6 cells) for 30 min at 20 degree C. DyLight 488 conjugated goat anti-rabbit IgG (5-10ug/1x10^6 cells) was used as secondary antibody for 30 minutes at 20 degree C. Isotype control antibody (Green line) was rabbit IgG (1ug/1x106) used under the same conditions. Unlabelled sample (Red line) was also used as a control.)

CD147/Emmprin, Polyclonal Antibody (Cat# AAA11678)

No reviews yet
Full Name
Anti-CD147/Emmprin Antibody
Gene Names
BSG; OK; 5F7; TCSF; CD147; EMMPRIN
Reactivity
Human, Mouse, Rat
Applications
Western Blot, Immunohistochemistry
Purity
Immunogen affinity purified.
Pricing
product-image-AAA10956_IF3.jpg IF (Immunofluorescence) (Immunofluorescence of MDA5 in Human Lymph Node cells with MDA5 antibody at 20 μg/mL.)

MDA5, Polyclonal Antibody (Cat# AAA10956)

No reviews yet
Full Name
MDA5 Antibody
Gene Names
IFIH1; AGS7; Hlcd; MDA5; MDA-5; RLR-2; IDDM19
Reactivity
Human, Mouse
Applications
Western Blot, Immunohistochemistry, Immunofluorescence
Purity
MDA5 Antibody is affinity chromatography purified via peptide column.
Pricing
product-image-AAA20012_FCM7.png FCM (Flow Cytometry) (Figure 7. Flow Cytometry analysis of JK cells using anti-SQRDL/SQOR antibody (AAA20012).Overlay histogram showing JK cells stained with AAA20012 (Blue line). To facilitate intracellular staining, cells were fixed with 4% paraformaldehyde and permeabilized with permeabilization buffer. The cells were blocked with 10% normal goat serum. And then incubated with rabbit anti-SQRDL/SQOR Antibody (AAA20012, 1ug/1x106 cells) for 30 min at 20 degree C. DyLight488 conjugated goat anti-rabbit IgG was used as secondary antibody for 30 minutes at 20 degree C. Isotype control antibody (Green line) was rabbit IgG (1ug/1x106) used under the same conditions. Unlabelled sample (Red line) was also used as a control.)

SQRDL/SQOR, Polyclonal Antibody (Cat# AAA20012)

No reviews yet
Full Name
Anti-SQRDL/SQOR Antibody Picoband
Gene Names
SQOR; SQR; SQRDL; CGI-44; PRO1975
Reactivity
Human
Applications
Western Blot, Immunohistochemistry, Immunocytochemistry, Immunofluorescence, Flow Cytometry
Purity
Immunogen affinity purified.
Pricing
product-image-AAA22318_IF7.jpg IF (Immunofluorescence) (Immunofluorescence analysis of Rat testis cells using GPX4 Polyclonal Antibody at dilution of 1:200 (40x lens). Blue: DAPI for nuclear staining.)

GPX4, Polyclonal Antibody (Cat# AAA22318)

No reviews yet
Full Name
(KD Validated) GPX4 Polyclonal Antibody
Gene Names
GPX4; MCSP; GPx-4; PHGPx; snGPx; GSHPx-4; snPHGPx
Reactivity
Human, Mouse, Rat
Applications
Western Blot, Immunofluorescence
Purity
Affinity purification
Pricing
product-image-AAA24430_WB6.jpg WB (Western Blot) (Western Blot analysis of ALB expression in transfected 293T cell line by ALB monoclonal antibody. Lane 1: ALB transfected lysate (69.4kD). Lane 2: Non-transfected lysate.)

ALB, Monoclonal Antibody (Cat# AAA24430)

No reviews yet
Full Name
ALB (Albumin, Serum Albumin, GIG20, GIG42, PRO0903, PRO1708, PRO2044, PRO2619, PRO2675, UNQ696/PRO1341) APC
Gene Names
ALB; HSA; PRO0883; PRO0903; PRO1341
Reactivity
Human
Applications
Immunohistochemistry, Immunoprecipitation, Western Blot
Purity
Purified by Protein A Affinity Chromatography.
Pricing
product-image-AAA26207_WB6.jpg WB (Western Blot) (SP1 monoclonal antibody (M01), clone 4H6. Western Blot analysis of SP1 expression in Hela S3 NE.)

SP1, Monoclonal Antibody (Cat# AAA26207)

No reviews yet
Full Name
SP1 (Sp1 Transcription Factor) (Biotin)
Applications
Immunofluorescence, Immunohistochemistry, Western Blot
Purity
Purified
Pricing
product-image-AAA29982_ICC8.jpg ICC (Immunocytochemistry) (ICC staining CD9 in CRC cells (green). The nuclear counter stain is DAPI (blue). Cells were fixed in paraformaldehyde, permeabilised with 0.25% Triton X100/PBS.)

CD9, Monoclonal Antibody (Cat# AAA29982)

No reviews yet
Full Name
CD9 Antibody
Gene Names
CD9; MIC3; MRP-1; BTCC-1; DRAP-27; TSPAN29; TSPAN-29
Reactivity
Human, Mouse, Rat
Applications
Western Blot, Immunocytochemistry, Immunofluorescence, Immunohistochemistry, Immunoprecipitation, Flow Cytometry
Purity
ProA affinity purified
Pricing
product-image-AAA30008_FCM7.jpg FCM (Flow Cytometry) (Flow cytometric analysis of Hela cells with Bcl-XL antibody at 1/50 dilution (red) compared with an unlabelled control (cells without incubation with primary antibody; black). Alexa Fluor 488-conjugated goat anti rabbit IgG was used as the secondary antibody.)

BCL-XL, Monoclonal Antibody (Cat# AAA30008)

No reviews yet
Full Name
BCL-XL Antibody
Gene Names
BCL2L1; BCLX; BCL2L; BCLXL; BCLXS; Bcl-X; bcl-xL; bcl-xS; PPP1R52; BCL-XL/S
Reactivity
Human, Mouse, Rat
Applications
Western Blot, Immunocytochemistry, Immunofluorescence, Immunohistochemistry, Immunoprecipitation, Flow Cytometry
Purity
ProA affinity purified
Pricing
product-image-AAA30043_FCM7.jpg FCM (Flow Cytometry) (Flow cytometric analysis of Hela cells with Met antibody at 1/50 dilution (red) compared with an unlabelled control (cells without incubation with primary antibody; black). Alexa Fluor 488-conjugated goat anti rabbit IgG was used as the secondary antibody.)

MET, Monoclonal Antibody (Cat# AAA30043)

No reviews yet
Full Name
MET (C-Met) Antibody
Gene Names
MET; HGFR; AUTS9; RCCP2; c-Met
Reactivity
Human
Applications
Western Blot, Immunocytochemistry, Immunofluorescence, Immunohistochemistry, Flow Cytometry
Purity
ProA affinity purified
Pricing
product-image-AAA30057_FCM9.jpg FCM (Flow Cytometry) (Flow cytometric analysis of Hela cells with Smad3 antibody at 1/50 dilution (red) compared with an unlabelled control (cells without incubation with primary antibody; black). Alexa Fluor 488-conjugated goat anti rabbit IgG was used as the secondary antibody.)

SMAD3, Monoclonal Antibody (Cat# AAA30057)

No reviews yet
Full Name
SMAD3 Antibody
Gene Names
SMAD3; LDS3; LDS1C; MADH3; JV15-2; HSPC193; HsT17436
Reactivity
Human, Mouse, Rat
Applications
Western Blot, Immunocytochemistry, Immunofluorescence, Immunohistochemistry, Flow Cytometry
Purity
ProA affinity purified
Pricing
product-image-AAA28808_ELISA.jpg Sandwich ELISA (Plate was coated with Glargine Insulin at 1.25 ug/ml in PBS, and then incubated with Anti-Glargine Insulin polyclonal antibody from 0.001 ug/ml to 0.5 ug/ml. The secondary antibody, HRP conjugated goat anti-Guinea pig IgG, were used at 1:6000 dilution.)

Glargine Insulin, Polyclonal Antibody (Cat# AAA28808)

No reviews yet
Full Name
Anti-Glargine Insulin Polyclonal Antibody
Applications
ELISA
Purity
This antibody is purified through a antigen affinity purification column, followed by dialysis against PBS.
Pricing
product-image-AAA28861_IHC7.jpg IHC (Immunohistochemistry) (Dilution: IHC 1:200 IF 1:50-200)

CD68, Monoclonal Antibody (Cat# AAA28861)

No reviews yet
Full Name
CD68 Monoclonal Antibody (6F3)
Gene Names
CD68; GP110; LAMP4; SCARD1
Reactivity
Human, Mouse, Rat
Applications
Immunohistochemistry, Immunofluorescence
Pricing
product-image-AAA29207_IHC7.jpg IHC (Immunohistochemistry) (Dilution: Western Blot: 1/500 - 1/2000. IHC-p: 1/100-1/300. ELISA: 1/20000. Not yet tested in other applications.)

VGF, Polyclonal Antibody (Cat# AAA29207)

No reviews yet
Full Name
VGF Polyclonal Antibody
Reactivity
Human, Mouse, Rat
Applications
Western Blot, Immunohistochemistry
Pricing
product-image-AAA30711_IF6.jpg IF (Immunofluorescence) (Immunofluorescence analysis of U-2 OS cells using DDX50 at dilution of 1:100. Blue: DAPI for nuclear staining.)

DDX50, Polyclonal Antibody (Cat# AAA30711)

No reviews yet
Full Name
DDX50 Rabbit Polyclonal Antibody
Gene Names
DDX50; GU2; GUB; mcdrh; RH-II/GuB
Reactivity
Human, Mouse, Rat
Applications
Western Blot, Immunohistochemistry, Immunofluorescence
Purity
Affinity purification
Pricing
product-image-AAA30606_IF6.jpg IF (Immunofluorescence) (Immunofluorescence analysis of NIH-3T3 cells using SIRT2 Polyclonal at dilution of 1:100 (40x lens). Blue: DAPI for nuclear staining.)

SIRT2, Polyclonal Antibody (Cat# AAA30606)

No reviews yet
Full Name
SIRT2 Rabbit Polyclonal Antibody
Gene Names
SIRT2; SIR2; SIR2L; SIR2L2
Reactivity
Human, Mouse, Rat
Applications
Western Blot, Immunohistochemistry, Immunofluorescence
Purity
Affinity purification
Pricing
product-image-AAA30318_ICC9.jpg ICC (Immunocytochemistry) (ICC staining Syndecan 1 in HepG2 cells (red). The nuclear counter stain is DAPI (blue). Cells were fixed in paraformaldehyde, permeabilised with 0.25% Triton X100/PBS.)

Syndecan 1, Monoclonal Antibody (Cat# AAA30318)

No reviews yet
Full Name
Syndecan 1 Antibody
Gene Names
SDC1; SDC; CD138; SYND1; syndecan
Reactivity
Human, Mouse, Rat
Applications
Western Blot, Immunocytochemistry, Immunofluorescence, Immunohistochemistry
Purity
ProA affinity purified
Pricing
product-image-AAA31422_IHC6.jpg IHC (Immunohistchemistry) (At 1/200 staining Human lung cancer tissue sections by IHC-P. The tissue was formaldehyde fixed and a heat mediated antigen retrieval step in citrate buffer was performed. The tissue was then blocked and incubated with the antibody for 1.5 hours at 22 degree C. An HRP conjugated goat anti-rabbit antibody was used as the secondary antibody.)

BCLAF1, Polyclonal Antibody (Cat# AAA31422)

No reviews yet
Full Name
Phospho-BCLAF1 (Ser531) Antibody
Gene Names
BCLAF1; BTF; bK211L9.1
Reactivity
Human, Mouse, Rat
Predicted Reactivity: Pig (100%), Bovine (100%), Horse (100%), Sheep (100%), Rabbit (100%), Dog (100%), Chicken (100%)
Applications
Western Blot, Immunohistochemistry, Peptide ELISA
Purity
The antibody is from purified rabbit serum by affinity purification via sequential chromatography on phospho-peptide and non-phospho-peptide affinity columns.
Pricing
product-image-AAA28477_IHC9.jpg IHC (Immunohistchemistry) (Immunohistochemistry analysis of paraffin-embedded Rat testis using GST3/GSTP1 Rabbit mAb (AAA28477) at dilution of 1:200 (40x lens). High pressure antigen retrieval performed with 0.01M Citrate Bufferr (pH 6.0) prior to IHC staining.)

GST3/GSTP1, Monoclonal Antibody (Cat# AAA28477)

No reviews yet
Full Name
GST3/GSTP1 Rabbit mAb
Reactivity
Human
Applications
Western Blot, Immunohistochemistry
Purity
Affinity purification
Pricing
product-image-AAA30347_FCM7.jpg FCM (Flow Cytometry) (Flow cytometric analysis of K562 cells with Leptin Receptor antibody at 1/100 dilution (red) compared with an unlabelled control (cells without incubation with primary antibody; black).)

Leptin, Monoclonal Antibody (Cat# AAA30347)

No reviews yet
Full Name
Leptin Receptor Antibody
Gene Names
LEPR; OBR; OB-R; CD295; LEP-R; LEPRD
Reactivity
Human, Mouse, Rat
Applications
Western Blot, Immunocytochemistry, Immunohistochemistry, Flow Cytometry
Purity
ProA affinity purified
Pricing
product-image-AAA30272_FCM7.jpg FCM (Flow Cytometry) (Flow cytometric analysis of Jurkat cells with gamma Tubulin antibody at 1/50 dilution (red) compared with an unlabelled control (cells without incubation with primary antibody; black). Alexa Fluor 488-conjugated goat anti rabbit IgG was used as the secondary antibody.)

gamma Tubulin, Monoclonal Antibody (Cat# AAA30272)

No reviews yet
Full Name
gamma Tubulin Antibody
Gene Names
TUBG1; TUBG; GCP-1; TUBGCP1
Reactivity
Human, Mouse, Rat, Monkey, Chicken, Hamster, Cow, Dog, Fish, Xenopus tropicalis
Applications
Western Blot, Immunocytochemistry, Immunofluorescence, Immunohistochemistry, Immunoprecipitation, Flow Cytometry
Purity
ProA affinity purified
Pricing
product-image-AAA30456_FCM7.jpg FCM (Flow Cytometry) (Flow cytometric analysis of 293T cells with Creatine kinase B type antibody at 1/100 dilution (red) compared with an unlabelled control (cells without incubation with primary antibody; black). Alexa Fluor 488-conjugated goat anti rabbit IgG was used as the secondary antibody.)

Creatine Kinase B Type, Monoclonal Antibody (Cat# AAA30456)

No reviews yet
Full Name
Creatine Kinase B Type Antibody
Gene Names
CKB; BCK; B-CK; CKBB; HEL-211; HEL-S-29
Reactivity
Human, Mouse, Rat
Applications
Western Blot, Immunocytochemistry, Immunofluorescence, Immunohistochemistry, Flow Cytometry
Purity
ProA affinity purified
Pricing
product-image-AAA30700_WB6.jpg WB (Western Blot) (Western blot analysis of extracts of various cell lines, using PHD3 antibody.)

EGLN3, Polyclonal Antibody (Cat# AAA30700)

No reviews yet
Full Name
EGLN3 Rabbit Polyclonal Antibody
Gene Names
EGLN3; PHD3; HIFPH3; HIFP4H3
Reactivity
Human, Mouse, Rat
Applications
Western Blot, Immunohistochemistry, Immunofluorescence
Purity
Affinity purification
Pricing
product-image-AAA29988_FCM8.jpg FCM (Flow Cytometry) (Flow cytometric analysis of HepG2 cells with Rho A+B+C antibody at 1/50 dilution (blue) compared with an unlabelled control (cells without incubation with primary antibody; red). Alexa Fluor 488-conjugated goat anti rabbit IgG was used as the secondary antibody.)

Rho A+B+C, Monoclonal Antibody (Cat# AAA29988)

No reviews yet
Full Name
Rho A+B+C Antibody
Gene Names
RHOC; H9; ARH9; ARHC; RHOH9
Reactivity
Human, Mouse, Rat
Applications
Western Blot, Immunocytochemistry, Immunofluorescence, Immunohistochemistry, Flow Cytometry
Purity
ProA affinity purified
Pricing
product-image-AAA11821_SDS_PAGE.jpg SDS-PAGE (3ug by SDS-PAGE under reducing condition and visualized by coomassie blue stain)

NPM1, Recombinant Protein (Cat# AAA11821)

No reviews yet
Full Name
NPM1, 1-294aa, Human, His tag, E Coli
Gene Names
NPM1; B23; NPM
Applications
SDS-PAGE
Purity
> 85% by SDS-PAGE
Pricing
product-image-AAA11041_IF7.jpg IF (Immunofluorescence) (Figure 7 Immunofluorescence Validation of PGAM5 in Rat TestisImmunofluorescent analysis of 4% paraformaldehyde-fixed rat testis labeling PGAM5 with AAA11041 at 20ug/mL, followed by goat anti-rabbit IgG secondary antibody at 1/500 dilution (green) and DAPI staining (blue).)

PGAM5, Polyclonal Antibody (Cat# AAA11041)

No reviews yet
Full Name
PGAM5 (CT) Antibody
Gene Names
PGAM5; BXLBV68
Reactivity
Human, Mouse, Rat
Applications
Western Blot, Immunofluorescence
Purity
PGAM5 Antibody is affinity chromatography purified via peptide column.
Pricing
product-image-AAA10987_FCM7.gif FCM (Flow Cytometry) (Flow cytometry analysis of PD-L2 overexpressing HEK293 cells using PD-L2 antibody and control mouse IgG antibody at 10 μg/ml. Blue: Untransfected HEK293 cells. Yellow: PD-L2 overexpressing HEK293 cells.)

PDL2, Monoclonal Antibody (Cat# AAA10987)

No reviews yet
Full Name
PDL2 Antibody [7C7]
Gene Names
PDCD1LG2; B7DC; Btdc; PDL2; CD273; PD-L2; PDCD1L2; bA574F11.2
Reactivity
Human
Applications
Western Blot, Immunohistochemistry, Immunocytochemistry, Immunofluorescence, Flow Cytometry
Purity
PD-L2 Antibody is supplied as protein A purified IgG1.
Pricing
product-image-AAA12042_APP6.gif Application Data (Staining of CD209 transfected K562 cells with Mouse anti Human CD209: Biotin)

CD209, Monoclonal Antibody (Cat# AAA12042)

No reviews yet
Full Name
MOUSE ANTI HUMAN CD209:RPE
Gene Names
CD209; CDSIGN; CLEC4L; DC-SIGN; DC-SIGN1
Applications
Flow Cytometry
Pricing
product-image-AAA12259_APP8.jpg Application Data

BrdU, Monoclonal Antibody (Cat# AAA12259)

No reviews yet
Full Name
Mouse Anti BrdU
Applications
Flow Cytometry, Immunocytochemistry, Immunofluorescence, Immunohistochemistry
Purity
Purified IgG prepared by affinity chromatography on Protein A from tissue culture supernatant
Pricing
product-image-AAA14231_APP.jpg Application Data

Interferon-a Receptor, Type I, Subunit I (Ser535,539), Polyclonal Antibody (Cat# AAA14231)

No reviews yet
Full Name
Anti-Phospho-Ser535,539 Interferon-alpha Receptor, Type I, Subunit I
Gene Names
IFNAR1; AVP; IFRC; IFNAR; IFNBR; IFN-alpha-REC
Reactivity
Rat
Applications
Western Blot, Immunohistochemistry
Purity
Affinity Purified (Prepared from rabbit serum by affinity purification via sequential chromatography on phospho- and dephosphopeptide affinity columns.)
Pricing
product-image-AAA14236_APP.jpg Application Data

Collagen 1, alpha 1 telopeptide, Polyclonal Antibody (Cat# AAA14236)

No reviews yet
Full Name
Anti-Collagen I alpha1 Telopeptide Sequence
Gene Names
COL1A1; OI4
Reactivity
Human, mouse, sheep
Applications
Western Blot, Immunohistochemistry
Purity
Affinity Purified
Pricing
product-image-AAA14644_SDS_PAGE.jpg SDS-PAGE

Dengue 1 full length envelope, Recombinant Protein (Cat# AAA14644)

No reviews yet
Full Name
Dengue 4 full length envelope 45kDa
Applications
Western Blot, Immunoassay
Purity
>95% pure 12% PAGE (Coomassie stainning)
Pricing
product-image-AAA19485_FCM7.jpg FCM (Flow Cytometry) (Figure 7. Flow Cytometry analysis of SiHa cells using anti-Calnexin/CANX antibody (AAA19485).Overlay histogram showing SiHa cells stained with AAA19485 (Blue line). The cells were blocked with 10% normal goat serum. And then incubated with rabbit anti-Calnexin/CANX Antibody (AAA19485, 1 ug/1x10^6 cells) for 30 min at 20 degree C. DyLight488 conjugated goat anti-rabbit IgG was used as secondary antibody for 30 minutes at 20 degree C. Isotype control antibody (Green line) was rabbit IgG (1 ug/1x10^6) used under the same conditions. Unlabelled sample (Red line) was also used as a control.)

Calnexin/CANX, Polyclonal Antibody (Cat# AAA19485)

No reviews yet
Full Name
Anti-Calnexin/CANX Antibody Picoband
Gene Names
CANX; CNX; P90; IP90
Reactivity
Human, Mouse
Applications
Flow Cytometry, Immunofluorescence, Immunohistochemistry, Immunocytochemistry, Western Blot
Purity
Immunogen affinity purified.
Pricing
product-image-AAA22279_IP7.jpg IP (Immunoprecipitation) (Immunoprecipitation analysis of extracts of HepG2 cells using PEPCK/PEPCK/PCK2 Polyclonal Antibody. Western blot was performed from the immunoprecipitate using PEPCK/PEPCK/PCK2 Polyclonal Antibody at a dilution of 1:1000.)

PEPCK/PCK2, Polyclonal Antibody (Cat# AAA22279)

No reviews yet
Full Name
(KO Validated) PEPCK/PCK2 Polyclonal Antibody
Gene Names
PCK2; PEPCK; PEPCK2; PEPCK-M
Reactivity
Human, Mouse, Rat
Applications
Western Blot, Immunohistochemistry, Immunofluorescence, Immunoprecipitation
Purity
Affinity purification
Pricing
product-image-AAA26949_IHC3.jpg IHC (Immunohistochemistry) (Immunohistochemistry of paraffin-embedded human gastric cancer using AAA26949 at dilution 1:100)

SOCS4, Polyclonal Antibody (Cat# AAA26949)

No reviews yet
Full Name
SOCS4 Antibody
Gene Names
SOCS4; SOCS7
Reactivity
Human, Mouse
Applications
Western Blot, Immunohistochemistry
Purity
Antigen Affinity Purified
Pricing
product-image-AAA27042_IP11.jpg IP (Immunoprecipitation) (Immunoprecipitating GAPDH in Hela whole cell lysateLane 1: Mouse control IgG instead of in Hela whole cell lysate. Lane 2: (5ul) + Hela whole cell lysate (500ug)Lane 3: Hela whole cell lysate (10ug)For western blotting, the blot was detected at 1:5000, and a HRP-conjugated Protein G antibody was used as the secondary antibody at 1:2000)

GAPDH, Monoclonal Antibody (Cat# AAA27042)

No reviews yet
Full Name
GAPDH Monoclonal Antibody
Reactivity
Human, Mouse, Rabbit
Applications
Western Blot, Immunohistochemistry, Immunoprecipitation, Immunofluorescence
Purity
>95%, Protein G purified
Pricing
product-image-AAA30376_FCM9.jpg FCM (Flow Cytometry) (Flow cytometric analysis of Hela cells with SMYD3 antibody at 1/100 dilution (red) compared with an unlabelled control (cells without incubation with primary antibody; black).)

SMYD3, Monoclonal Antibody (Cat# AAA30376)

No reviews yet
Full Name
SMYD3 Antibody
Gene Names
SMYD3; KMT3E; ZMYND1; ZNFN3A1; bA74P14.1
Reactivity
Human, Mouse, Rat
Applications
Western Blot, Immunocytochemistry, Immunofluorescence, Immunohistochemistry, Immunoprecipitation, Flow Cytometry
Purity
ProA affinity purified
Pricing
product-image-AAA30405_FCM10.jpg FCM (Flow Cytometry) (Flow cytometric analysis of Hela cells with LOX antibody at 1/100 dilution (red) compared with an unlabelled control (cells without incubation with primary antibody; black). Alexa Fluor 488-conjugated goat anti rabbit IgG was used as the secondary antibody.)

LOX, Monoclonal Antibody (Cat# AAA30405)

No reviews yet
Full Name
LOX Antibody
Reactivity
Human, Mouse, Rat, Zebrafish
Applications
Western Blot, Immunocytochemistry, Immunohistochemistry, Flow Cytometry
Purity
ProA affinity purified
Pricing

Submit a Question

Please complete the form below and a representative will contact you as soon as possible.

Request more Information

Please complete the form below and a representative will contact you as soon as possible.

Request a Manual

Please complete the form below and a representative will contact you as soon as possible.

Request a Quote

Please complete the form below and a representative will contact you as soon as possible.