Loading...

Skip to main content
Call us at +1-800-604-9114 for more information about our products or contact us online Need help? +1-800-604-9114 or contact us

Filters


Clonality

Type

Reactivity

Gene Name

Isotype

Host

Application

Clone

Viewing 2800-2850 of 265194 product results


product-image-AAA25867_WB7.jpg WB (Western Blot) (Western Blot analysis of TOMM22 expression in transfected 293T cell line by TOMM22 monoclonal antibody. Lane 1: TOMM22 transfected lysate (15.5kD). Lane 2: Non-transfected lysate.)

TOMM22, Monoclonal Antibody (Cat# AAA25867)

No reviews yet
Full Name
TOMM22 (Translocase of Outer Membrane 22kD Subunit Homolog, Mitochondrial Import Receptor Subunit TOM22 Homolog, TOM22, hTom22, 1C9-2, MST065, MSTP065) (PE)
Gene Names
TOMM22; 1C9-2; TOM22; MST065; MSTP065
Reactivity
Human, Mouse, Rat
Applications
Immunofluorescence, Immunohistochemistry, Western Blot
Purity
Purified by Protein A Affinity Chromatography.
Pricing
product-image-AAA26626_IHC6.jpg IHC (Immunohistchemistry) (Immunoperoxidase of monoclonal antibody to USF2 on formalin-fixed paraffin-embedded human esophagus. [antibody concentration 1 ug/ml])

USF2, Monoclonal Antibody (Cat# AAA26626)

No reviews yet
Full Name
USF2 (Upstream Transcription Factor 2, c-fos Interacting, FIP, bHLHb12) (PE)
Gene Names
USF2; FIP; bHLHb12
Applications
Immunofluorescence, Immunohistochemistry, Western Blot
Purity
Purified
Pricing
product-image-AAA26667_IF6.jpg IF (Immunofluorescence) (Immunofluorescence of monoclonal antibody to MAPK3 on HeLa cell. [antibody concentration 10 ug/ml])

MAPK3, Monoclonal Antibody (Cat# AAA26667)

No reviews yet
Full Name
MAPK3 (Mitogen-Activated Protein Kinase 3, ERK1, HS44KDAP, HUMKER1A, MGC20180, P44ERK1, P44MAPK, PRKM3) (PE)
Gene Names
MAPK3; ERK1; ERT2; ERK-1; PRKM3; P44ERK1; P44MAPK; HS44KDAP; HUMKER1A; p44-ERK1; p44-MAPK
Applications
Immunofluorescence, Western Blot
Purity
Purified
Pricing
product-image-AAA15660_SC.png Standard Curve (Sample)

myeloperoxidase, MPO, ELISA Kit (Cat# AAA15660)

No reviews yet
Full Name
Rat Myeloperoxidase, MPO ELISA Kit
Reactivity
Rat
Pricing
product-image-AAA22590_SC.jpg Standard Curve (Sample)

Cross Linked C-Telopeptide Of Type II Collagen, ELISA Kit (Cat# AAA22590)

No reviews yet
Full Name
Canine Cross Linked C-Telopeptide Of Type II Collagen (CTX-II) ELISA Kit
Reactivity
Canine
Pricing
product-image-AAA15533_SC.png Standard Curve (Sample)

v-myc myelocytomatosis viral oncogene homolog (avian), ELISA Kit (Cat# AAA15533)

No reviews yet
Full Name
Human c-myc Oncogene product, c-myc ELISA Kit
Gene Names
MYC; MRTL; MYCC; c-Myc; bHLHe39
Reactivity
Human
Pricing
product-image-AAA17101_SC.jpg Standard Curve (Sample)

alpha-Glucosidase, ELISA Kit (Cat# AAA17101)

No reviews yet
Full Name
Monkey alpha-Glucosidase ELISA Kit
Gene Names
GAA; LYAG
Reactivity
Monkey
Pricing
product-image-AAA11951_APP10.jpg Application Data (Published customer imageSLAMF3 blockade in human hepatocytes is associated with lower susceptibility to HCV. (A) SLAMF3 was stained in primary human hepatocytes (PHHs) and cells from the Huh-7 human hepatoma cell line with a specific antibody (HLy9.1.25 clone; grey) and an isotype-matched control (empty). One of four independent experiments is shown. Huh-7 cells were transfected with scrambled control (sc) siRNA or three specific siRNAs (#1, #2 and #3) targeting SLAMF3, prior to infection with HCVcc; siRNA efficiency was checked by quantifying SLAMF3 mRNA (B) and the CD81 expression level (C) by flow cytometry analysis at 48 h post-transfection. Results are presented as the mean +/-SD (n = 3). Intracellular viral RNA was quantified at 72 h p.i. (D) and the infection was measured at 72 h p.i. by focus-forming units FFUs counting (E) (as inhibition percent; mean of three independent experiments; error bars: SD. **p)

CD229, Monoclonal Antibody (Cat# AAA11951)

No reviews yet
Full Name
MOUSE ANTI HUMAN CD229
Gene Names
LY9; hly9; mLY9; CD229; SLAMF3
Applications
Flow Cytometry, Immunoprecipitation
Pricing
product-image-AAA10921_IF8.gif IF (Immunofluorescence) (Immunofluorescence of IRE1p in rat small intestine tissue with IRE1p antibody at 20 μg/ml.Green: IRE1p Antibody (3655)Blue: DAPI staining)

IRE1p, Polyclonal Antibody (Cat# AAA10921)

No reviews yet
Full Name
IRE1p Antibody
Gene Names
ERN1; IRE1; IRE1P; IRE1a; hIRE1p
Reactivity
Human, Mouse, Rat
Applications
Western Blot, Immunocytochemistry, Immunofluorescence
Purity
IRE1p Antibody is affinity chromatography purified via peptide column.
Pricing
product-image-AAA10993_IHC7.gif IHC (Immunohistochemistry) (Immunohistochemistry of PD-L1 in human tonsil tissue with PD-L1 antibody at 5 μg/mL.)

PDL1, Monoclonal Antibody (Cat# AAA10993)

No reviews yet
Full Name
PDL1 Antibody [2D6]
Gene Names
CD274; B7-H; B7H1; PDL1; PD-L1; PDCD1L1; PDCD1LG1
Reactivity
Human
Applications
Western Blot, Immunohistochemistry, Immunocytochemistry, Immunofluorescence
Purity
Protein A purified
Pricing
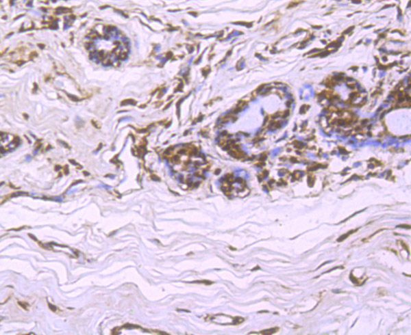
product-image-AAA14136_IHC6.jpg IHC (Immunohistchemistry) (Immunohistochemical analysis of paraffin-embedded lung cancer tissues using IL3RA mouse mAb with DAB staining.)

IL3RA, Monoclonal Antibody (Cat# AAA14136)

No reviews yet
Full Name
Anti-IL3RA Mouse mAb
Gene Names
IL3RA; IL3R; CD123; IL3RX; IL3RY; IL3RAY; hIL-3Ra
Reactivity
Human
Applications
Western Blot, Immunohistochemistry, Immunocytochemistry, Flow Cytometry
Pricing
product-image-AAA22293_IF6.jpg IF (Immunofluorescence) (Immunofluorescence analysis of HepG2 using CTGF Polyclonal Antibody at dilution of 1 : 150 (40x lens). Blue: DAPI for nuclear staining.)

CTGF, Polyclonal Antibody (Cat# AAA22293)

No reviews yet
Full Name
CTGF Polyclonal Antibody
Gene Names
CTGF; CCN2; NOV2; HCS24; IGFBP8
Reactivity
Human, Mouse, Rat
Applications
Western Blot, Immunohistochemistry, Immunofluorescence
Purity
Affinity purification
Pricing
product-image-AAA21351_IHC6.jpg IHC (Immunohistchemistry) (CDH1/E Cadherin Antibody-Human Colon: Formalin-Fixed, Paraffin-Embedded (FFPE))

CDH1/E Cadherin, Polyclonal Antibody (Cat# AAA21351)

No reviews yet
Full Name
CDH1/E Cadherin Rabbit anti-Human Polyclonal (C-Terminus) Antibody
Gene Names
CDH1; UVO; CDHE; ECAD; LCAM; Arc-1; CD324
Reactivity
Zebrafish, Pig, Rat, Rabbit, Dog, Bovine, Human, Monkey
Applications
Flow Cytometry, Immunocytochemistry, Immunofluorescence, Immunohistochemistry, Immunoprecipitation, Western Blot
Purity
Immunoaffinity purified
Pricing
product-image-AAA24066_WB7.jpg WB (Western Blot) (FLJ23356 monoclonal antibody. Western Blot analysis of FLJ23356 expression in HeLa.)

FLJ23356, Monoclonal Antibody (Cat# AAA24066)

No reviews yet
Full Name
FLJ23356 (SGK196, Probable Inactive Protein Kinase-like Protein SgK196, Sugen Kinase 196, MGC126597)
Reactivity
Human
Applications
Western Blot, Immunofluorescence
Purity
Affinity Purified
Purified by Protein A affinity chromatography.
Pricing
product-image-AAA24605_APP6.jpg Application Data (Detection limit for recombinant GST tagged PGGT1B is ~1ng/ml as a capture antibody.)

PGGT1B, Monoclonal Antibody (Cat# AAA24605)

No reviews yet
Full Name
PGGT1B (Geranylgeranyl Transferase Type-1 Subunit beta, Geranylgeranyl Transferase Type I Subunit beta, GGTase-I-beta, Type I Protein Geranyl-Geranyltransferase Subunit beta) APC
Reactivity
Human, Rat
Applications
Immunofluorescence, Immunohistochemistry, Western Blot
Purity
Purified by Protein A Affinity Chromatography.
Pricing
product-image-AAA25216_WB6.jpg WB (Western Blot) (PRPF19 monoclonal antibody. Western Blot analysis of PRPF19 expression in NIH/3T3.)

PRPF19, Monoclonal Antibody (Cat# AAA25216)

No reviews yet
Full Name
PRPF19 (Pre-mRNA-processing Factor 19, PRP19, Nuclear Matrix Protein 200, NMP200, PRP19/PSO4 Homolog, PSO4, hPso4, Senescence Evasion Factor, SNEV, UBOX4) (FITC)
Gene Names
PRPF19; PSO4; SNEV; PRP19; UBOX4; hPSO4; NMP200
Reactivity
Human, Mouse, Rat
Applications
Western Blot
Purity
Purified by Protein A Affinity Chromatography.
Pricing
product-image-AAA25894_WB6.jpg WB (Western Blot) (Western Blot analysis of GLUL expression in transfected 293T cell line by GLUL monoclonal antibody (M02), clone 3B6.Lane 1: GLUL transfected lysate(42.1 KDa).Lane 2: Non-transfected lysate.)

GLUL, Monoclonal Antibody (Cat# AAA25894)

No reviews yet
Full Name
GLUL (Glutamate-Ammonia Ligase (Glutamine Synthetase), GLNS, GS, PIG43, PIG59) (AP)
Gene Names
GLUL; GS; GLNS; PIG43; PIG59
Applications
Western Blot
Purity
Purified
Pricing
product-image-AAA26697_WB6.jpg WB (Western Blot) (Western Blot analysis of IRF2 expression in transfected 293T cell line by IRF2 monoclonal antibody. Lane 1: IRF2 transfected lysate (39.4kD). Lane 2: Non-transfected lysate.)

IRF2, Monoclonal Antibody (Cat# AAA26697)

No reviews yet
Full Name
IRF2 (IRF-2, Interferon Regulatory Factor 2) (MaxLight 650)
Gene Names
IRF2; IRF-2
Reactivity
Human
Applications
Immunofluorescence, Immunohistochemistry, Western Blot
Purity
Purified by Protein A Affinity Chromatography.
Pricing
product-image-AAA26492_APP6.jpg Application Data (Detection limit for recombinant GST tagged HMGB2 is approximately 0.03ng/ml as a capture antibody.)

HMGB2, Monoclonal Antibody (Cat# AAA26492)

No reviews yet
Full Name
HMGB2 (High-Mobility Group Box 2, HMG2) (HRP)
Applications
Immunofluorescence, Immunohistochemistry, Western Blot
Purity
Purified
Pricing
product-image-AAA26719_APP7.jpg Application Data (Staining of human peripheral blood lymphocytes with MOUSE ANTI HUMAN CD4:ALEXA 405)

CD4, Monoclonal Antibody (Cat# AAA26719)

No reviews yet
Full Name
CD4 (CD4 Antigen, CD4 Molecule, CD4 Receptor, CD4mut, T Cell Surface Antigen T4/Leu3, T Cell Antigen T4, T Cell Surface Glycoprotein CD4) (AP)
Gene Names
CD4; CD4mut
Reactivity
Human
Applications
Immunohistochemistry
Purity
Purified by protein A affinity chromatography from tissue culture supernatant.
Pricing
product-image-AAA30021_FCM9.jpg FCM (Flow Cytometry) (Flow cytometric analysis of A431 cells with EGFR antibody at 1/50 dilution (red) compared with an unlabelled control (cells without incubation with primary antibody; black). Alexa Fluor 488-conjugated goat anti rabbit IgG was used as the secondary antibody.)

EGFR, Monoclonal Antibody (Cat# AAA30021)

No reviews yet
Full Name
EGFR Antibody
Gene Names
EGFR; ERBB; HER1; mENA; ERBB1; PIG61
Reactivity
Human, Mouse, Rat
Applications
Western Blot, Immunocytochemistry, Immunofluorescence, Immunohistochemistry, Immunoprecipitation, Flow Cytometry
Purity
ProA affinity purified
Pricing
product-image-AAA30050_FCM9.jpg FCM (Flow Cytometry) (Flow cytometric analysis of Hela cells with Notch 1 antibody at 1/50 dilution (blue) compared with an unlabelled control (cells without incubation with primary antibody; red). Alexa Fluor 488-conjugated goat anti rabbit IgG was used as the secondary antibody.)

Notch 1, Monoclonal Antibody (Cat# AAA30050)

No reviews yet
Full Name
Notch 1 Antibody
Gene Names
NOTCH1; hN1; TAN1
Reactivity
Human, Mouse
Applications
Western Blot, Immunocytochemistry, Immunofluorescence, Immunohistochemistry, Immunoprecipitation, Flow Cytometry
Purity
ProA affinity purified
Pricing
product-image-AAA30069_ICC8.jpg ICC (Immunocytochemistry) (ICC staining FOXO1A in NIH/3T3 cells (green). The nuclear counter stain is DAPI (blue). Cells were fixed in paraformaldehyde, permeabilised with 0.25% Triton X100/PBS.)

FOXO1A, Monoclonal Antibody (Cat# AAA30069)

No reviews yet
Full Name
FOXO1A Antibody
Gene Names
FOXO1; FKH1; FKHR; FOXO1A
Reactivity
Human, Mouse, Rat, Zebrafish
Applications
Western Blot, Immunocytochemistry, Immunohistochemistry
Purity
ProA affinity purified
Pricing
product-image-AAA30115_FCM8.jpg FCM (Flow Cytometry) (Flow cytometric analysis of HepG2 cells with Cytokeratin 16 antibody at 1/50 dilution (red) compared with an unlabelled control (cells without incubation with primary antibody; black). Alexa Fluor 488-conjugated goat anti rabbit IgG was used as the secondary antibody.)

Cytokeratin 16, Monoclonal Antibody (Cat# AAA30115)

No reviews yet
Full Name
Cytokeratin 16 Antibody
Gene Names
KRT16; K16; CK16; K1CP; NEPPK; FNEPPK; KRT16A
Reactivity
Human
Applications
Western Blot, Immunocytochemistry, Immunofluorescence, Immunohistochemistry, Flow Cytometry
Purity
ProA affinity purified
Pricing
product-image-AAA29306_IHC7.jpg IHC (Immunohistochemistry) (Dilution: Western Blot: 1/500 - 1/2000. IHC-p: 1:100-1:300. ELISA: 1/10000. Not yet tested in other applications.)

P-Selectin, Polyclonal Antibody (Cat# AAA29306)

No reviews yet
Full Name
P-Selectin Polyclonal Antibody
Gene Names
SELP; CD62; GRMP; PSEL; CD62P; GMP140; LECAM3; PADGEM
Reactivity
Human, Mouse, Rat
Applications
Western Blot, Immunohistochemistry
Pricing
product-image-AAA28473_IP8.jpg IP (Immunoprecipitation) (Immunoprecipitation analysis of 300 ug extracts of HeLa cells using 3 ug Fatty Acid Synthase (FASN) antibody (AAA28473). Western blot was performed from the immunoprecipitate using Fatty Acid Synthase (FASN) antibody (AAA28473) at a dilution of 1:500.)

Fatty Acid Synthase (FASN), Monoclonal Antibody (Cat# AAA28473)

No reviews yet
Full Name
Fatty Acid Synthase (FASN) Rabbit mAb
Reactivity
Human
Applications
Western Blot, Immunohistochemistry, Immunofluorescence, Immunocytochemistry, Immunoprecipitation
Purity
Affinity purification
Pricing
product-image-AAA28086_IHC7.jpg IHC (Immunohistochemistry) (Immunohistochemistry of paraffin-embedded mouse lung using NPC2 Antibody at dilution of 1:100 (40x lens).)

NPC2, Polyclonal Antibody (Cat# AAA28086)

No reviews yet
Full Name
NPC2 Polyclonal Antibody
Gene Names
NPC2; HE1; EDDM1
Reactivity
Human, Mouse
Applications
Western Blot, Immunohistochemistry, Immunofluorescence
Purity
Affinity Purification
Pricing
product-image-AAA29190_IHC7.jpg IHC (Immunohistochemistry) (Dilution: Western Blot: 1/500 - 1/2000. IHC-p: 1:100-300 ELISA: 1/20000. Not yet tested in other applications.)

CD2, Polyclonal Antibody (Cat# AAA29190)

No reviews yet
Full Name
CD2 Polyclonal Antibody
Gene Names
CD2; T11; SRBC; LFA-2
Reactivity
Human
Applications
Western Blot, Immunohistochemistry
Pricing
product-image-AAA28977_WB7.jpg WB (Western Blot) (Dilution: IF: 1:50-200 Western Blot: 1/500 - 1/2000. Immunohistochemistry: 1/100 - 1/300. ELISA: 1/5000. Not yet tested in other applications.)

Caspase-8, Polyclonal Antibody (Cat# AAA28977)

No reviews yet
Full Name
Caspase-8 Polyclonal Antibody
Gene Names
CASP8; CAP4; MACH; MCH5; FLICE; ALPS2B; Casp-8
Reactivity
Human, Mouse, Rat
Applications
Western Blot, Immunohistochemistry, Immunofluorescence
Pricing
product-image-AAA30776_IF11.png IF (Immunofluorescence) (Immunofluorescence analysis of human-uterus tissue. 1,HMG-1 Polyclonal Antibody(red) was diluted at 1:200(4 degree C,overnight). 2, Cy3 labled Secondary antibody was diluted at 1:300(room temperature, 50min).3, Picture B: DAPI(blue) 10min. Picture A:Target. Picture B: DAPI. Picture C: merge of A+B)

HMG-1, Polyclonal Antibody (Cat# AAA30776)

No reviews yet
Full Name
HMG-1 Rabbit Polyclonal Antibody
Gene Names
HMGB1; HMG1; HMG3; SBP-1
Reactivity
Human, Mouse, Rat
Applications
Immunofluorescence, Immunocytochemistry, Western Blot, Immunohistochemistry
Purity
The antibody was affinity-purified from rabbit antiserum by affinity-chromatography using epitope-specific immunogen.
Pricing
product-image-AAA30798_APP11.png Application Data

Tubulin alpha, Monoclonal Antibody (Cat# AAA30798)

No reviews yet
Full Name
Tubulin alpha (PT2182) Monoclonal Antibody
Gene Names
TUBA1A; LIS3; TUBA3; B-ALPHA-1
Reactivity
Human, Mouse, Rat
Applications
Western Blot, Immunohistochemistry, Immunofluorescence, Immunocytochemistry, Immunoprecipitation
Purity
Protein G
Pricing
product-image-AAA30631_WB8.jpg WB (Western Blot) (Western blot analysis of extracts of various cell lines, using HNRNPD at 1:1000 dilution.)

HNRNPD, Polyclonal Antibody (Cat# AAA30631)

No reviews yet
Full Name
HNRNPD Rabbit Polyclonal Antibody
Gene Names
HNRNPD; P37; AUF1; AUF1A; HNRPD; hnRNPD0
Reactivity
Human, Mouse, Rat
Applications
Western Blot, Immunohistochemistry, Immunofluorescence
Purity
Affinity purification
Pricing
product-image-AAA28950_IHC7.jpg IHC (Immunohistochemistry) (Dilution: IF: 1:50-200 Western Blot: 1/500 - 1/2000. Immunohistochemistry: 1/100 - 1/300. ELISA: 1/20000. Not yet tested in other applications.)

Akt, Polyclonal Antibody (Cat# AAA28950)

No reviews yet
Full Name
Akt (phospho Thr308) Polyclonal Antibody
Gene Names
AKT1; AKT; PKB; RAC; CWS6; PRKBA; PKB-ALPHA; RAC-ALPHA
Reactivity
Human, Mouse, Rat
Applications
Western Blot, Immunohistochemistry, Immunofluorescence
Pricing
product-image-AAA30339_ICC8.jpg ICC (Immunocytochemistry) (ICC staining BNIP3 in NIH-3T3 cells (green). The nuclear counter stain is DAPI (blue). Cells were fixed in paraformaldehyde, permeabilised with 0.25% Triton X100/PBS.)

BNIP3, Monoclonal Antibody (Cat# AAA30339)

No reviews yet
Full Name
BNIP3 Antibody
Gene Names
BNIP3; NIP3
Reactivity
Human, Mouse, Rat
Applications
Western Blot, Immunocytochemistry, Immunofluorescence, Immunohistochemistry
Purity
ProA affinity purified
Pricing
product-image-AAA30483_ICC6.jpg ICC (Immunocytochemistry) (ICC staining TREX1 in SiHa cells (green). The nuclear counter stain is DAPI (blue). Cells were fixed in paraformaldehyde, permeabilised with 0.25% Triton X100/PBS.)

TREX1, Monoclonal Antibody (Cat# AAA30483)

No reviews yet
Full Name
TREX1 Antibody
Gene Names
TREX1; CRV; AGS1; DRN3; HERNS
Reactivity
Human
Applications
Western Blot, Immunocytochemistry, Immunofluorescence, Immunohistochemistry
Purity
ProA affinity purified
Pricing
product-image-AAA30693_IHC6.jpg IHC (Immunohistchemistry) (Immunohistochemistry of paraffin-embedded human colon carcinoma using SOCS1 Rabbit pAb.)

SOCS1, Polyclonal Antibody (Cat# AAA30693)

No reviews yet
Full Name
SOCS1 Rabbit Polyclonal Antibody
Gene Names
SOCS1; JAB; CIS1; SSI1; TIP3; CISH1; SSI-1; SOCS-1
Reactivity
Human, Mouse, Rat
Applications
Western Blot, Immunohistochemistry, Immunofluorescence
Purity
Affinity purification
Pricing
product-image-AAA27757_WB.png WB (Western Blot) (Anti-NP rabbit monoclonal antibody at 1:2000 dilution. Sample: Reocombinant Protein 10 ng Lane 1: H1N1 (A/Brevig Mission/1/1918) NP Lane 2: H1N1 (A/Brisbane/02/2018) NP Lane 3: H1N1 (A/California/07/2009) NP Lane 4: H1N1 (A/Guangdong-Maonan/SWL1536/2019) NP Lane 5: H1N1 (A/Hawaii/70/2019) NP Lane 6: H1N1 (A/Michigan/45/2015) NP Lane 7: H1N1 (A/Puerto Rico/8/34/Mount Sinai) NP (I116M) Lane 8:H1N1 (A/Victoria/2570/2019)/(A/Wisconsin/588/2019) NP Lane 9: H2N2 (A/Ann Arbor/6/1960) NP Lane 10: H3N2 (A/Aichi/2/1968) NP Lane 11: H3N2 (A/Cambodia/e0826360/2020 (H3N2)-like NP Lane 12: H3N2 (A/Hong Kong/1/1968) NP Lane 13: H3N2 (A/Hong Kong/2671/2019) NP Lane 14: H3N2 (A/Hong Kong/45/2019) NP Lane 15: H3N2 (A/Hong Kong/4801/2014) NP Lane 16: H3N2 (A/Kansas/14/2017) NP Lane 17: H3N2 (A/Switzerland/9715293/2013) NP Lane 18: H7N9 (A/Anhui/1-BALF_RG6/2013) NP Lane 19: H7N9 (A/Shanghai/2/2013) NP Lane 20: Influenza B (B/Brisbane/60/2008) NP Lane 21: Influenza B (B/Colorado/06/2017) NP Lane 22: Influenza B (B/Florida/4/2006) NP Lane 23: Influenza B (B/Phuket/3073/2013) NP Lane 24: Influenza B (B/Washington/02/2019) NP Secondary Goat Anti-Rabbit IgG (H+L)/HRP at 1/10000 dilution Developed using the ECL technique. Performed under reducing conditions.)

Pan Influenza A Nucleoprotein, Monoclonal Antibody (Cat# AAA27757)

No reviews yet
Full Name
Pan Influenza A Nucleoprotein Antibody, Rabbit MAb
Reactivity
H3N2
Applications
Western Blot
Purity
Protein A
Pricing
product-image-AAA29807_IF6.jpg IF (Immunofluorescence) (Immunofluorescence analysis of NIH/3T3 cells using Acetyl-Histone H4-K12 antibody.)

Histone H4-K12, Polyclonal Antibody (Cat# AAA29807)

No reviews yet
Full Name
Acetyl-Histone H4-K12 pAb
Gene Names
HIST2H4B; H4/o
Reactivity
Human, Mouse, Rat, Other (Wide Range)
Applications
Western Blot, Immunohistochemistry, Immunofluorescence
Purity
Affinity purification
Pricing
product-image-AAA29291_WB7.jpg WB (Western Blot) (Dilution: IF: 1:50-200 WB 1:500-2000, ELISA 1:10000-20000 IHC 1:50-300)

AR, Polyclonal Antibody (Cat# AAA29291)

No reviews yet
Full Name
AR Polyclonal Antibody
Gene Names
AR; KD; AIS; TFM; DHTR; SBMA; HYSP1; NR3C4; SMAX1; HUMARA
Reactivity
Human, Mouse, Rat
Applications
Western Blot, Immunohistochemistry, Immunofluorescence
Pricing
product-image-AAA10094_SC.jpg Standard Curve (Sample)

A Disintegrin Like and Metalloproteinase With Thrombospondin Type 1 Motif 4, ELISA Kit (Cat# AAA10094)

No reviews yet
Full Name
Rabbit A Disintegrin Like and Metalloproteinase With Thrombospondin Type 1 Motif 4 ELISA Kit
Gene Names
ADAMTS4; ADMP-1; ADAMTS-2; ADAMTS-4
Reactivity
Rabbit
Pricing
product-image-AAA22767_SC.jpg Standard Curve (Sample)

Syndecan 1 (SDC1), ELISA Kit (Cat# AAA22767)

No reviews yet
Full Name
Canine Syndecan 1 (SDC1) ELISA Kit
Gene Names
SDC1; SDC; CD138; SYND1; syndecan
Reactivity
Canine
Pricing
product-image-AAA11635_IHC6.jpg IHC (Immunohistchemistry) (Anti- gamma Catenin Picoband antibody, AAA11635, IHC(F)IHC(F): Rat Intestine Tissue)

Junction plakoglobin, Polyclonal Antibody (Cat# AAA11635)

No reviews yet
Full Name
Anti-gamma Catenin Antibody
Gene Names
JUP; DP3; PDGB; PKGB; CTNNG; DPIII; ARVD12
Reactivity
Human, Mouse, Rat. No cross reactivity with other proteins.
Applications
Western Blot, Immunohistochemistry, Immunohistochemistry
Purity
Immunogen affinity purified.
Pricing
product-image-AAA11824_SDS_PAGE.jpg SDS-PAGE

MCL1, Recombinant Protein (Cat# AAA11824)

No reviews yet
Full Name
MCL1, 1-327aa, Human, His tag, E Coli
Gene Names
MCL1; TM; EAT; MCL1L; MCL1S; Mcl-1; BCL2L3; MCL1-ES; bcl2-L-3; mcl1/EAT
Applications
SDS-PAGE
Purity
> 90% by SDS-PAGE
Pricing
product-image-AAA11871_APP6.gif Application Data (Staining of human peripheral blood monocytes with Mouse anti Human CD284: Low Endotoxin)

CD284, Monoclonal Antibody (Cat# AAA11871)

No reviews yet
Full Name
MOUSE ANTI HUMAN CD284:FITC
Gene Names
TLR4; TOLL; CD284; TLR-4; ARMD10
Applications
Flow Cytometry
Pricing
product-image-AAA11915_APP6.gif Application Data (Staining of mouse spleen cells with Rat anti Mouse CD45 (Ly-5))

CD45, Monoclonal Antibody (Cat# AAA11915)

No reviews yet
Full Name
RAT ANTI MOUSE CD45
Gene Names
Ptprc; loc; B220; Cd45; L-CA; Ly-5; T200; CD45R; Lyt-4
Applications
Immunohistochemistry, Flow Cytometry, Immunofluorescence, Immunoprecipitation
Pricing
product-image-AAA12103_APP10.jpg Application Data (Published customer image: Leukocyte infiltration in COX-2-M/-M and COX-2+/+ mice. MPO enzymatic activity (panel A) was statistically similar in COX-2-M/-M and COX-2+/+ livers at 6 h and 24 h post-IRI. Ly-6G+ neutrophil (panel B) and granulocyte (panel C) infiltration were also comparable in COX-2-M/-M and COX-2+/+ livers after IRI. Mac-1+ (panel D) and CD68 (panel E) infiltrating macrophages were significantly reduced in COX-2-M/-M livers at 24 h post-reperfusion, but were statistically indistinguishable in COX-2-M/-M and COX-2+/+ livers at 6 h after IRI. No statistical differences in MMP-9 expression (panel F) could be demonstrated in livers of COX-2-M/-M and COX-2+/+ mice post-IRI. Representative immunostaining (panel G) of infiltrating Ly-6G+ (a,b,e,f) and Mac-1+ (c,d,g,h) leukocytes in livers of COX-2+/+ (a,c,e,g) and COX-2-M/-M (b,d,f,h) mice at 6 h (a to d) and 24 h (e to h) post IRI; (n = 5 -6/group; * indicates p)

CD68, Monoclonal Antibody (Cat# AAA12103)

No reviews yet
Full Name
RAT ANTI MOUSE CD68:Biotin
Gene Names
Cd68; Lamp4; gp110; Scard1
Applications
Flow Cytometry
Pricing
product-image-AAA14858_APP.jpg Application Data

CD62L, Monoclonal Antibody (Cat# AAA14858)

No reviews yet
Full Name
anti-human CD62L-APC
Reactivity
Human, Horse, Mouse, Guinea Pig, Rat, Dog, Cow
Applications
Flow Cytometry
Pricing
product-image-AAA19220_FCM13.png FCM (Flow Cytometry) (Figure 13. Flow Cytometry analysis of SiHa cells using anti-DRP1/DNM1L antibody (AAA19220).Overlay histogram showing SiHa cells stained with AAA19220 (Blue line). The cells were blocked with 10% normal goat serum. And then incubated with rabbit anti-DRP1/DNM1L Antibody (AAA19220, 1μg/1x106 cells) for 30 min at 20 degree C. DyLight®488 conjugated goat anti-rabbit IgG (5-10μg/1x106 cells) was used as secondary antibody for 30 minutes at 20 degree C. Isotype control antibody (Green line) was rabbit IgG (1μg/1x106) used under the same conditions. Unlabelled sample (Red line) was also used as a control.)

DRP1/DNM1L, Polyclonal Antibody (Cat# AAA19220)

No reviews yet
Full Name
Anti-DRP1/DNM1L Antibody
Gene Names
DNM1L; DLP1; DRP1; DVLP; EMPF; DYMPLE; HDYNIV
Reactivity
Human, Mouse, Rat
Applications
Western Blot, Immunohistochemistry, Immunocytochemistry, Immunofluorescence, Flow Cytometry, Direct ELISA
Purity
Immunogen affinity purified.
Pricing
product-image-AAA19483_IF8.jpg IF (Immunofluorescence) (Figure 8. IF analysis of SUN2 using anti-SUN2 antibody (AAA19483).SUN2 was detected in an immunocytochemical section of A431 cells. Enzyme antigen retrieval was performed using IHC enzyme antigen retrieval reagent (AR0022) for 15 mins. The cells were blocked with 10% goat serum. And then incubated with 5 ug/mL rabbit anti-SUN2 Antibody (AAA19483) overnight at 4 degree C. DyLight594 Conjugated Goat Anti-Rabbit IgG (BA1142) was used as secondary antibody at 1:100 dilution and incubated for 30 minutes at 37 degree C. The section was counterstained with DAPI. Visualize using a fluorescence microscope and filter sets appropriate for the label used.)

SUN2, Polyclonal Antibody (Cat# AAA19483)

No reviews yet
Full Name
Anti-SUN2 Antibody Picoband
Gene Names
SUN2; UNC84B
Reactivity
Human
Applications
Immunohistochemistry, Immunocytochemistry, Immunofluorescence
Purity
Immunogen affinity purified.
Pricing
product-image-AAA20275_SDS_PAGE2.jpg SDS-PAGE

Telomerase Reverse Transcriptase (TERT), Recombinant Protein (Cat# AAA20275)

No reviews yet
Full Name
Recombinant Telomerase Reverse Transcriptase (TERT)
Gene Names
Tert; TR; TP2; TRT; EST2; TCS1
Reactivity
Mus musculus (Mouse)
Applications
Western Blot
Purity
> 80%
Pricing

Submit a Question

Please complete the form below and a representative will contact you as soon as possible.

Request more Information

Please complete the form below and a representative will contact you as soon as possible.

Request a Manual

Please complete the form below and a representative will contact you as soon as possible.

Request a Quote

Please complete the form below and a representative will contact you as soon as possible.